中枢神经系统(Central Nervous System)是人体神经系统最主要的组成部分,由位于颅腔内的脑和位于椎管内的脊髓组成,也被称为中枢部。其中脑位于颅腔内,成人的平均重量约为1400克。脑可分为六个主要部分:端脑(大脑皮层)、间脑、小脑、中脑、脑桥和延髓。其中延髓、脑桥和中脑3部分组成脑干。脊髓是脑干向下延伸的部分,全长约42~45cm。由含有神经细胞的灰质和上、下行传导束组成的白质构成。
本页面主要目录有关于中枢神经系统的:结构组成、生理功能、相关疾病、历史等介绍
中枢神经系统(Central Nervous System)是人体神经系统最主要的组成部分,由位于颅腔内的脑和位于椎管内的脊髓组成,也被称为中枢部。其中脑位于颅腔内,成人的平均重量约为1400克。脑可分为六个主要部分:端脑(大脑皮层)、间脑、小脑、中脑、脑桥和延髓。其中延髓、脑桥和中脑3部分组成脑干。脊髓是脑干向下延伸的部分,全长约42~45cm。由含有神经细胞的灰质和上、下行传导束组成的白质构成。
本页面主要目录有关于中枢神经系统的:结构组成、生理功能、相关疾病、历史等介绍
中枢神经系统
Central Nervous System
脑、脊髓
调节心跳、呼吸及血压,调节人体多种生理活动,维持身体平衡等
本尼迪克特综合征、星形细胞肿瘤、脑膜瘤等
中枢神经系统中,端脑、间脑具有感觉、运动等多种神经中枢,调节人体多种生理活动;中脑、脑桥和延髓是专门调节心跳、呼吸及血压等人体基本生命活动的部位;小脑使运动协调、准确,维持身体平衡。脊髓位于椎管内,当受到外界或体内的刺激时,会产生有规律的反应,还能将对这些反应传导到大脑,是脑与躯干和内脏之间的联络通路。
中枢神经系统可发生多种疾病,如本尼迪克特综合征、星形细胞肿瘤等。本尼迪克特综合征可造成动眼神经根损伤,星形细胞肿瘤是最常见的胶质瘤,男性多于女性。中枢神经系统最常见的并发症为颅内压升高、脑水肿和脑积水,其中脑水肿和脑积水可引起或加重颅内压升高,三者可合并发生,互为因果,后果严重可导致死亡。
脊髓属于中枢神经系统,是脑干向下延伸的部分,全长约42~45cm。由含有神经细胞的灰质和上、下行传导束组成的白质构成。在脊髓的横断面上,中央区为灰质,呈“H”形,其中心有中央管,外周区为白质。

脊髓呈前后稍扁的圆柱体,位于椎管内,占据椎管的上2/3。脊髓上端在枕骨大孔水平与延髓相连,下端形成脊髓圆锥,终止于第一腰椎下缘或第二腰椎上缘水平。
31对脊神经
脊髓自上而下共发出31对脊神经分布到四肢和躯干,包括颈神经8对、胸神经12对、腰神经5对、骶神经5对、尾神经1对。每一条脊神经借前根和后根分别与脊髓相连。形态学上每一对脊神经相应的脊髓为1个节段,因此,脊髓也相应分成了31个节段,即8个颈节(C₁~C₈)、12个胸节(T₁~T₁₂)、5个腰节(L₁~L₅)、5个骶节(S₁~S₅)和1个尾节(Co),但表面并无节段界限。

两个膨大
脊髓的粗细随其所含神经元和神经纤维数量的不同而异,全长粗细不等,有两个膨大部分,称为颈膨大和腰膨大。颈膨大由C₅~T₂脊髓组成,发出支配上肢的神经根;腰膨大由L₁~S₂脊髓组成,发出支配下肢的神经根。
脊髓圆锥
脊髓自腰膨大向下逐渐细削,形成脊髓圆锥,由第3、4、5 骶节和尾节组成。末端位置相当于第一腰椎下缘水平。圆锥下端伸出一根终丝,终止于第一尾椎骨膜的背侧。

马尾
由于脊髓和脊柱长度不等,神经根由相应椎间孔穿出椎管时,愈下位脊髓节段的神经根愈向下倾斜,腰段的神经根几乎垂直下降,形成马尾,由第2腰节至尾节10对腰骶神经根组成。
脊髓的被膜
脊髓由三层结缔组织的被膜包围,从外向内依次为硬脊膜、脊髓蛛网膜和软脊膜。软脊膜在脊髓两侧的脊神经前、后根之间向外突出,形成尖端向外的三角形齿状韧带,有固定脊髓,防止震荡和突然移位的作用。硬脊膜外面与脊椎骨膜之间的间隙为硬膜外腔,其中填充着疏松结缔组织、椎内静脉丛和淋巴管,略呈负压;硬脊膜与蛛网膜之间为硬膜下腔,其间无特殊结构;脊髓蛛网膜与软脊膜之间为蛛网膜下腔,与脑的蛛网膜下腔相通,下端在腰部扩大,称终池,其间充满脑脊液浸泡着马尾,为腰穿的理想部位。
脊髓的内部结构
灰质呈暗灰色,主要由神经细胞核团和部分胶质细胞组成,横切面上呈蝴蝶形或“H”形,居于脊髓中央,其中心有中央管。灰质分为前角、后角及侧角(C₈~L₂和 S₂~S₄),此外还包括中央管前后的灰质前连合和灰质后连合。灰质内含有各种不同大小、形态和功能的神经细胞,是脊髓接受和发出冲动的关键结构。前角内含运动神经细胞,属下运动神经元,主要司躯干和四肢的运动支配;后角内含传递痛、温觉和部分触觉的第Ⅱ级感觉神经细胞,为感觉信息的中转站;C₈~L₂的侧角为脊髓的交感神经中枢,支配和调节血管、内脏及腺体的功能;S₂~S₄的侧角为脊髓副交感神经中枢,发出纤维支配膀胱、直肠和性腺的活动。

白质主要由上行(感觉)、下行(运动)传导束组成。上行传导束将不同的感觉信息上传到脑;下行传导束从脑的不同部位将神经冲动下传到脊髓。

脑位于颅腔内,成人的平均重量约为1400克。一般来说,脑可分为六个主要部分:端脑(大脑皮层)、间脑、小脑、中脑、脑桥和延髓。其中延髓、脑桥和中脑3部分组成脑干。

端脑
端脑位于神经轴的前端,由左右大脑半球通过胼胝体连接而成。它是从胚胎时期的前脑泡演化而来。在演化过程中,前脑泡两侧高度发育,形成了左右大脑半球,它们遮盖着间脑和中脑,并将小脑推向后方。大脑纵裂分隔左右大脑半球,纵裂的底部是胼胝体。大脑横裂分隔大脑与小脑。大脑半球的结构包括大脑皮质、髓质、基底核和侧脑室。大脑半球表面有一层灰质组织,称为大脑皮质,深部是白质,也称为髓质。在白质内有一些灰质团块,称为基底核。大脑半球内还有腔隙,被称为侧脑室。

大脑半球由大脑纵裂分隔,左右各一对称分布,两侧大脑半球由胼胝体相连接。大脑半球包括大脑皮质、白质、基底节及侧脑室。每侧大脑半球表面是大脑皮质形成的脑沟和脑回,依据主要的表面标志中央沟、大脑外侧裂和其延长线、顶枕裂和枕前切迹的连线分为额叶、顶叶、颞叶、枕叶。此外,还有位于大脑外侧裂深部的岛叶和位于内侧面的边缘叶(扣带回、海马回、钩回)。

内囊是指位于尾状核、豆状核及丘脑之间的白质结构,是大脑皮质和皮质下各中枢上下行纤维的主要通路。其外侧为豆状核,内侧为丘脑,前内侧为尾状核,由纵行的纤维束组成,其纤维呈扇形放射至大脑皮质。在大脑水平切面上,内囊形成尖端向内的钝角型,分为前肢、后肢和膝部。内囊前肢:位于尾状核与豆状核之间,下行纤维是额叶脑桥束(额桥束),上行纤维是丘脑内侧核至额叶皮质的纤维(丘脑前辐射);内囊膝部:位于“V”字型的尖端部位,前、后肢相交处,皮质脑干束在此通过;内囊后肢:位于丘脑与豆状核之间,前2/3为皮质脊髓束通过(支配上肢者靠前,支配下肢者靠后),后1/3为丘脑至中央后回的丘脑皮质束,在其后依次为传导听觉和视觉的听辐射和视辐射等。

基底神经节亦称基底核,是埋藏在大脑白质深部的灰质核团,包括纹状体(含尾状核和豆状核)、屏状核及杏仁核。豆状核又分为壳核和苍白球两部分。在种系发生上,尾状核及壳核出现较晚,称为新纹状体;苍白球出现较早,称为旧纹状体;杏仁核是基底神经节中发生最古老的部分,称为古纹状体。广义的基底神经节,是将红核、黑质及丘脑底核也作为基底神经节的一部分。基底神经节是锥体外系统的中继站,除了各核之间有相互密切的联络纤维外,与大脑皮质、丘脑、小脑、脊髓都有广泛的纤维联系。

间脑
间脑位于中脑和两侧大脑半球之间,第三脑室两侧。间脑前方以室间孔与视交叉上缘的连线为界,下方与中脑相连,两侧为内囊。左右间脑之间的矢状窄隙为第3脑室,其侧壁为左右间脑的内侧面。间脑的体积不足中枢神经系统的2%,但结构及功能非常复杂。间脑包括丘脑、下丘脑、上丘脑及底丘脑四部分。

丘脑是间脑中最大的卵圆形灰质团块,前后矢径约3cm,横径和纵径各约1.5cm,对称地分布于第三脑室两侧。丘脑前端凸隆,称丘脑前结节;后端膨大,称为丘脑枕,其后下方为内侧膝状体和外侧膝状体。在两侧的丘脑之间,有一个互相连接的灰质结构,称为中央质块。在中央质块的前下方有一从室间孔斜向后下达中脑导水管上口的浅沟,称丘脑下沟,是丘脑与下丘脑的分界线。丘脑内部被薄层“Y”形白质纤维(内髓板)分隔为若干核群,主要有:前核群、内侧核群、外侧核群。

下丘脑又称丘脑下部。位于丘脑下沟的下方,包括第三脑室壁及室底上的一些结构,长约1cm,体积很小,重量仅4g,约为全脑重量的3‰,但含有15对以上的神经核团,数以万计的神经内分泌细胞。其纤维联系广泛而复杂,与脑干、基底节、丘脑、边缘系统及大脑皮质之间均有密切联系。
下丘脑腹侧面由前向后依次有视交叉、灰结节、乳头体,灰结节向下延伸出漏斗与垂体后叶相连。下丘脑的核团分为视前区、视上区、结节区、乳头体区四个主要区域。

上丘脑位于第三脑室顶部周围,两侧丘脑的内侧。主要结构有:松果体:呈锥体形,长约 1cm,位于两上丘之间,其基底附着于缰连合;缰连合:为横行的纤维束,在松果体的前方,位于两个上丘中间;后连合:为横行排列的纤维束,在松果体的下方。

底丘脑是位于中脑被盖和背侧丘脑的过渡区域,外邻内囊,前内侧是丘脑下部,红核和黑质的上端也伸入此区。底丘脑主要的结构是丘脑底核,此核团较小,呈椭圆形,位于丘脑外侧核群的腹侧,黑质上端的背外侧,属于锥体外系的一部分,接受苍白球和额叶运动前区的纤维,发出的纤维到苍白球、黑质、红核和中脑被盖。
小脑
小脑位于颅后窝,在小脑幕下方,脑桥及延髓的背侧。借助三对小脑脚即小脑下脚(绳状体)、中脚(桥臂)、上脚(结合臂)分别与延髓、脑桥及中脑相连。小脑的中央为小脑蚓部,两侧为小脑半球。小脑表面为灰质(小脑皮质),由分子层、浦肯野(Purkinje)细胞层和颗粒层三层组成。皮质下为白质(小脑髓质)。在两侧小脑半球白质内各有四个小脑核,由内向外依次为顶核、球状核、栓状核和齿状核。顶核在发生学上是最古老的,齿状核是四个核团中最大的一个。根据小脑表面的沟和裂,小脑被分为三个叶,即绒球小结叶、前叶和后叶。

脑干
脑干从下往上由延髓、脑桥和中脑3部分组成。中脑比较脑桥而言为较缩窄的部分,向上延续为间脑。脑桥与延髓卧在枕骨基底部斜坡上,延髓向下经过枕骨大孔与脊髓相续。脑干从上向下依次与第Ⅲ~ XⅡ对脑神经相连,大脑皮质、小脑、脊髓之间要通过脑干进行联系。此外,脑干中还有许多重要的神经中枢,如心血管运动中枢、呼吸中枢、吞咽中枢以及视觉、听觉和平衡觉等反射中枢。
脑干的腹侧面:形似倒置的圆锥体,下端平枕骨大孔处与脊髓相续,上端借横行的延髓脑桥沟与脑桥为界。延髓的下部与脊髓外形相似,脊髓表面的各条纵行沟、裂向上延续到延髓。腹侧面的正中有前正中裂,其上部两侧的纵行隆起为锥体,由大脑皮质发出的下行锥体束(主要为皮质脊髓束)纤维构成。在锥体的下端,大部分皮质脊髓束纤维左右交叉,形成发辫状的锥体交叉,部分填塞了前正中裂。在延髓的上部,锥体背外侧的卵圆形隆起为橄榄,内含下橄榄核。锥体与橄榄之间为前外侧沟,舌下神经根丝由此出脑。在橄榄背外侧的后外侧沟内,自上而下依次有舌咽神经、迷走神经和副神经的根丝附着。

脑干的背侧面:背侧面的上部构成菱形窝的下半部;下部形似脊髓,在后正中沟的两侧各有两个膨大,内侧者为薄束结节,外上者为楔束结节,二者与脊髓的薄束、楔束相延续,其深面分别含有薄束核和楔束核,它们是薄束、楔束的终止核。在楔束结节的外上方有隆起的小脑下脚,又称绳状体,其纤维向后连于小脑。楔束结节与橄榄之间有一不明显的纵行隆起,为三叉结节,又称灰小结节,其深面为三叉神经脊束和三叉神经脊束核。

脑干的腹侧面:腹侧面宽阔膨隆,称脑桥基底部,主要由大量的横行纤维和部分纵行纤维构成,其正中线上的纵行浅沟称基底沟,容纳基底动脉。基底部向后外逐渐变窄,移行为小脑中脚,称脑桥臂,两者的分界处为三叉神经根(包括粗大的感觉根和位于其前内侧细小的运动根)。脑桥基底部的上缘与中脑的大脑脚相接,下缘的延髓脑桥沟内有3 对脑神经根与脑干相连,自中线向外侧依次为展神经、面神经和前庭蜗神经。
脑干的背侧面:背侧面形成菱形窝的上半部,此处窝的外侧界为左、右小脑上脚,又称结合臂。脑桥与中脑的移行部缩窄,称菱脑峡,此区有小脑上脚、上髓帆及丘系三角。丘系三角是小脑上脚上段腹外侧的三角区,其上界为下丘臂,下界为小脑上脚外侧缘,腹侧界为中脑外侧沟,内有外侧丘系纤维通过。
脑干的腹侧面:上界为间脑的视束,下界为脑桥上缘。两侧各有一粗大的纵行隆起,称大脑脚,其浅部主要由大脑皮质发出的下行纤维构成。大脑脚的背外侧有一纵沟,称中脑外侧沟。两侧大脑脚之间的凹陷为脚间窝,窝底称后穿质,有许多血管出入的小孔。在脚间窝的下部,大脑脚的内侧有动眼神经根出脑。胚胎时期的神经管腔在中脑成为中脑水管,又称大脑水管。
脑干的背侧面:背侧面有上、下两对圆形的隆起,分别称上丘和下丘,合称四叠体,其深面分别含有上丘核和下丘核,是视觉和听觉反射中枢。在上、下丘的外侧,各自向外上方伸出一条长的隆起,称上丘臂和下丘臂,分别连于间脑的外侧膝状体和内侧膝状体。在下丘的下方与上髓帆之间有滑车神经根出脑,它是唯一自脑干背侧面出脑的脑神经。
感觉系统是神经系统中负责处理感觉信息的功能系统。各种感觉具有共同的活动特点,又有各自的活动形式。感觉系统包括感受器、神经通路以及大脑中和感觉知觉有关的部分。通常,感觉刺激作用于特异的感受器,经过神经通路传入中枢,到达大脑皮层,最终引起感觉。感觉系统包括那些和视觉、听觉、触觉、味觉以及嗅觉相关的系统。
感受器
触压、光线、声音和气味等刺激通过一群特殊的细胞进行转换,将刺激能量转换为神经元能理解的信号,执行这一转换功能的细胞称之为感受器。它们分布在体表和各种组织内部,是专门感受机体内、外环境变化的特殊结构或装置。感受器细胞连同其附属结构构成感觉器官。感受器的选择性不仅与刺激特性有关,而且与其发生联系的突触后靶神经元有关。
感觉信号在感觉通路中的编码
传入冲动循特定的通路到达特定的皮层结构,引起特定的感觉。神经中枢根据经过编码的信号获得对刺激的性质和强度的主观感觉。不同性质的感觉取决于刺激的性质、被刺激感受器的种类、传入冲动所到达大脑皮层的最终部位。对于每一种感觉模式而言,信息传向中枢的感觉通路是由一系列以突触相连接的神经元组成。冲动的编码过程不仅在感受器进行一次,而且每经过一次神经元间的传递,都要进行一次重新编码,使信息得到不断的处理和整合。
人体最基本的功能活动之一是躯体运动。神经、肌肉和关节共同构成躯体运动系统,其中神经系统是躯体运动的控制者,肌肉和关节系统是躯体运动的执行者。通常将控制运动的各个中枢神经结构统称为脑的运动系统,其特点是以从高级到低级的等级形式由各级中枢组织而成。脑的运动系统从高级到低级由大脑皮层的运动区、皮层下中枢、脑干下行系统和脊髓等神经结构组成。
脊髓对运动的调控
脊髓通过感觉传入纤维、中间神经元和运动神经元的神经元网络,能够产生多种四肢协调运动所需的神经冲动模式。简单的反射是由初级传入纤维直接兴奋运动神经元而产生,但大多数反射需要经过中间神经元的整合再影响运动神经元。初级传入纤维是指从躯体感受器或皮肤感受器传入脊髓的纤维。这些纤维进入脊髓背根后分为上升支和下降支,在其行进途中发出许多侧支进入脊髓灰质。初级传入纤维既向高级中枢投射传导感觉信息,又与脊髓灰质的神经元形成突触联系,构成了脊髓反射的结构基础。
本体感受器的传入纤维通过肌神经、脊髓背根进入中枢,而皮肤感受器的传入纤维则通过皮神经、脊髓背根进入中枢。这些传入纤维与脊髓内的中间神经元和运动神经元相互连接,形成复杂的神经回路。当刺激作用于本体感受器或皮肤感受器时,传入纤维会产生冲动,并通过这些神经回路进行处理和整合,最终引发适当的反射行为或触发协调的肌肉活动。
脑对运动的调控
中枢运动控制系统是以等级性的方式组构的。中枢运动控制系统的最高水平以新皮层的联合皮层和前脑基底神经节为代表,负责运动的战略,即确定运动的目标和达到目标的策略;中间水平以运动皮层和小脑为代表,负责运动的战术,即肌肉收缩的顺序、运功的空间和时间安排,以及如何使运动准确地达到预定的目标;最低水平是脑干和脊髓,它负责运动的执行,包括激活那些发起目标定向性运动的运动神经元和中间神经元池,并对姿势进行必要的调整。运动控制等级结构中每一个层次的正常功能很大程度上依赖于感觉信息,因此脑的运动系统称为感觉运动系统
基底神经节
皮层下的基底神经节参与运动的调节。基底神经节的传入和传出均不直接与脊髓联系,而是与大脑皮层运动区联系。基底神经节发出的是抑制性信号,发出的冲动经丘脑整合后传递到大脑皮层,大脑皮层发出的纤维到达丘脑的不同核团。基底神经节功能具有类似于制动器的作用。正常情况下基底神经节发出高频的张力性抑制信号对产生机体姿势和运动模式的大脑运动皮层区起抑制作用。当大脑皮层某一运动区发出运动指令,苍白球内侧降低向该运动区域发出的抑制性冲动,解除对该区域的张力性抑制作用,同时增加对另一些运动区域发出的抑制性信号。这将达到易化特定活动而同时抑制其他不必要活动的目的。通过这一机制,基底神经节从而调节运动的执行。
小脑
小脑通过与大脑、脑干和脊髓之间丰富的传入和传出联系,参与躯体平衡、肌肉张力的调节以及随意运动的协调。它的绒球小结叶与身体平衡功能有关。小脑前叶与调节肌紧张有关,前叶蚓部具有抑制肌紧张的作用,而前叶两侧部具有易化肌紧张的作用。小脑半球与随意运动的协调有密切的关系。小脑还参与情绪的调节。小脑中部受刺激后,动物会出现强烈的情绪改变;但这些部位毁损后动物缺少恐惧反应并变得淡漠,提示小脑可能参与恐惧情绪的加工过程。
学习与记忆
学习和记忆是脑的高级功能,也是神经系统所具有的基本功能。记忆在中枢神经系统的定位可能是十分弥散的,但有些脑区的损伤所致记忆障碍要比其他脑区的损伤严重。研究表明,海马和颞叶联合皮层对人类记忆具有特殊的重要性。学习记忆过程中,所涉及的脑区不尽相同,不同类型的记忆需不同的神经结构和回路参与。陈述性记忆与认知有关,常有边缘系统特别是海马参与;非陈述性记忆需有基底神经节参与。
中枢神经系统具有高度可塑性。突触连接是神经元之间信息传递的重要环节,是实现神经可塑性的关键部位。突触连接的改变是学习和记忆的神经基础。
语言的脑功能定位
人类大脑皮层的特定区域受到损伤时,可引发特定的语言功能障碍。在19世纪,法国神经病学家Broca和德国神经病学家Wernicke对患者的语言功能进行了研究,开创了神经语言学研究的先河。根据经典的大脑语言学模型,大脑被分为前语言区和后语言区两个语言功能区。前语言区包括语言运动区和语言书写区,它们是与语言的口头表达和书写表达相关的皮层区域,负责语言的产生和表达。后语言区包括语言听觉区和语言视觉区,它们是与语言的理解和感知相关的皮层区域。语言听觉区负责听到的语言的理解,而语言视觉区负责看到的文字的理解。
精神情感活动的调制
边缘联合皮层位于额叶腹内侧、顶叶内侧和颞叶前端(额极),包括眶额皮层、扣带回和旁海马,边缘联合皮层接受来自感觉皮层的投射、并转而投射到其他脑区,包括前额皮层。其中情绪活动与“杏仁核-下丘脑-隔-额前叶的腹内侧部”脑回路关系最密切。
习得性情绪状态特别是恐惧和焦虑的感觉传入,主要进入杏仁基底外侧核,该结构还介导先天的和习得性的情绪反应。杏仁核群还参与由恐惧所增强的震惊,破坏双侧杏仁核可消除这种习得性恐惧。
情绪活动是一种心理活动,伴有一系列生理尤其是自主神经的变化。下丘脑将各种传入进行整合,通过调节位于脑干的躯体-内脏反射回路,作用于躯体和自主神经系统,调节情绪性生理表现,并能把内脏活动和其他生理活动联系起来,又可通过垂体调节内分泌和内脏活功以及情绪性反应的体温、营养摄取、水平衡等重要生理过程。
脑节律
脑节律可以协调神经系统不同区域之间的活动。在觉醒状态下,脑的感觉系统和运动系统经常产生阵发性的同步活动,皮层不同区域所产生的快速震荡经过短暂的同步化,使脑把各种不同的神经成分组合成单个的感知系统。通过分散的细胞群组震荡的高度同步化,在某种程度上把它们连成一个有意义的大组,以区别于附近的神经元,从而把杂乱无章的信号协调起来。
睡眠
延髓和脑桥背外侧网状结构与快速眼动睡眠(REM)的产生和调节密切相关。损毁脑桥尾端和中缝核尾端能完全抑制REM睡眠。在下丘脑和垂体后叶、中间叶内存在一种为REM 睡眠所必需的因子,这种因子可通过血液到达低位脑干以维持REM睡眠。脑桥乙酰胆碱与受体结合后,激活紧邻的γ-氨基丁酸(GABA)通路,进而激活前下部边缘系统和前脑基底部的功能。前脑基底部也与REM睡眠有关,成为调节睡眠和觉醒的重要部位。
脊髓
当外伤致脊髓突然完全横断后,横断平面以下全部感觉和运动丧失,反射消失,处于无反射状态,称为脊髓休克。数周至数月后,各种反射可逐渐恢复。由于传导束很难再生,脊髓又失去了脑的易化和抑制作用,因此恢复后的深反射和肌张力比正常时高,离断平面以下的感觉和随意运动不能恢复。
出现布朗-色夸综合征(Brown-Séquard syndrome)。该综合征的特点是损伤平面以下,同侧肢体痉挛性瘫痪,位置觉、震动觉和精细触觉丧失,损伤节段下1~2个节段平面以下的对侧痛、温觉丧失。
主要伤及前角运动神经元,表现为这些细胞所支配的骨骼肌呈弛缓性瘫痪,无感觉异常。
如脊髓空洞症或髓内肿瘤。若病变侵犯了白质前连合,则阻断了脊髓丘脑束在此的交叉纤维,引起双侧对称分布的痛、温觉消失,而本体感觉和精细触觉无障碍(因后索完好)。这种现象称为感觉分离。
小脑
小脑的损伤虽然不会引起机体随意运动的丧失(瘫痪),但依据小脑损伤部位的不同,或多或少都会对机体的运动质量产生影响。小脑损伤的典型体征表现为:平衡失调,走路时两腿间距过宽,东摇西摆,状如醉汉;共济失调,运动时有控制速度、力量和距离上的障碍,如不能闭眼指鼻、不能做快速的轮替动作等;意向性震颤,肢体运动时,产生不随意的有节奏的摆动,越接近目标时越加剧;眼球震颤,表现为眼球非自主地有节奏的摆动;肌张力低下,主要为旧小脑损伤所致。
脑干
如为单侧损伤,又称舌下神经交叉性偏瘫。通常由椎动脉的延髓支阻塞所致。主要受损结构及临床表现:锥体束损伤:对侧上、下肢瘫痪;内侧丘系损伤:对侧上、下肢及躯干意识性本体感觉和精细触觉障碍;舌下神经根损伤:同侧半舌肌瘫痪,伸舌时舌尖偏向患侧。

又称Wallenberg综合征,由椎动脉的延髓支或小脑下后动脉阻塞所致。主要受损结构及临床表现:三叉神经脊束受损:同侧头面部痛、温觉障碍;脊髓丘脑束受损:对侧上、下肢及躯干痛、温觉障碍;疑核受损:同侧软腭及咽喉肌麻痹,吞咽困难,声音嘶哑;下丘脑至脊髓中间外侧核的交感下行通路受损:同侧 Horner综合征,表现为瞳孔缩小、上睑轻度下垂、面部皮肤干燥、潮红及汗腺分泌障碍;小脑下脚受损:同侧上、下肢共济失调;前庭神经核受损:眩晕,眼球震颤。

如为单侧损伤,又称展神经交叉性偏瘫。由基底动脉的脑桥支阻塞所致。主要受损结构及临床表现:锥体束受损:对侧上、下肢瘫痪;展神经根受损:同侧眼球外直肌麻痹,眼球不能外展。

通常因小脑下前动脉或小脑上动脉的背外侧支阻塞,引起一侧脑桥尾侧或颅侧部的被盖梗死所致。
如为单侧损伤,又称动眼神经交叉性偏瘫(Weber综合征)。由大脑后动脉的分支阻塞所致。主要受损结构及临床表现:动眼神经根损伤:同侧除外直肌和上斜肌以外的眼球外肌麻痹,瞳孔散大;皮质脊髓束受损:对侧上、下肢瘫痪;皮质核束损伤:对侧面神经和舌下神经的核上瘫。
累及一侧中脑被盖的腹内侧部。主要受损结构及临床表现:动眼神经根损伤:同侧除外直肌和上斜肌外的眼球外肌麻痹,瞳孔散大;小脑丘脑纤维(为已交叉的小脑上脚纤维)和红核受损伤:对侧上、下肢意向性震颤,共济失调;内侧丘系损伤:对侧上、下肢及躯干意识性本体觉和精细触觉障碍。

根据肿瘤生物学行为,WHO采用四级法对中枢神经系统肿瘤进行分级(Ⅰ、Ⅱ、Ⅲ和Ⅳ级),Ⅰ、Ⅱ级为低级别肿瘤,预后较好,Ⅲ、Ⅳ级为高级别肿瘤,预后差。
神经上皮组织肿瘤
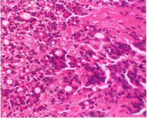
约占颅内原发性肿瘤的30%,占胶质瘤的78%,是最常见的胶质瘤。高峰发病年龄为30~40岁;男性多于女性。肿瘤部位以大脑额叶和颞叶最多见,有时多叶受累。星形细胞肿瘤又分为:毛细胞型星形细胞瘤(WHO Ⅰ级)、室管膜下巨细胞星形细胞瘤、多形性黄色星形细胞瘤、弥漫型星形细胞瘤(WHO Ⅱ级)、间变型星形细胞瘤(WHO Ⅲ级)和胶质母细胞瘤(WHO Ⅳ级)等类型。

此种肿瘤按分化程度分为少突胶质细胞瘤(WHO II级)和间变型少突胶质细胞瘤(WHO Ⅲ级)。
少突胶质细胞肿瘤是一种原发性脑肿瘤,约占所有原发性脑肿瘤的2.5%,胶质瘤总体中占5%~6%。它通常在40~45岁的年龄段发病高峰期出现。这种肿瘤主要好发于大脑半球的皮质和白质,其中额叶最常见,而在幕下和脊髓则较为少见。
间变性少突胶质细胞瘤约占原发性脑肿瘤的1.2%,高峰发病年龄为45~50岁。好发部位和大体形态与少突胶质细胞瘤相似,但有明显的微血管增生和活跃的核分裂象。镜下见组织形态除少突胶质细胞瘤基本特征外,瘤细胞密度高,有明显细胞异型性,易见双核和核分裂象。可伴假栅栏样坏死。间质可见枝状血管网,分化差的区域可见增生显著的厚壁血管。此瘤生长迅速,难以彻底切除,术后易复发,预后不佳,术后生存期为1~5年。

室管膜肿瘤包括室管膜下瘤、黏液乳头型室管膜瘤、室管膜瘤和间变型室管膜瘤,其中室管膜瘤最常见。室管膜瘤占神经上皮组织肿瘤的2%~9%,占儿童颅内肿瘤的6%~12%,占3岁以下儿童颅内肿瘤的30%;占成人脊髓胶质瘤的50%~60%。可发生于脑室系统任何部位,尤以第四脑室和脊髓最为常见,其次为侧脑室和第三脑室,偶见于幕上脑室系统以外的脑实质内。

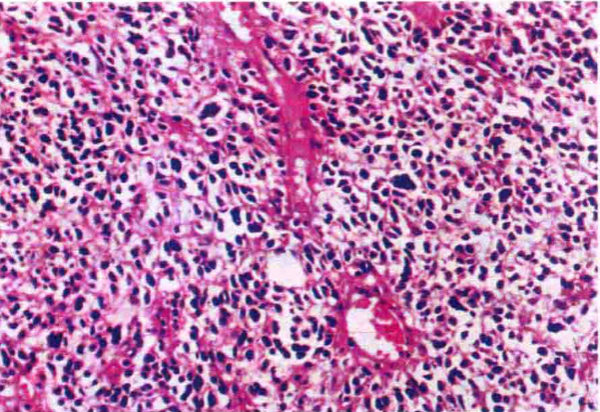
髓母细胞瘤
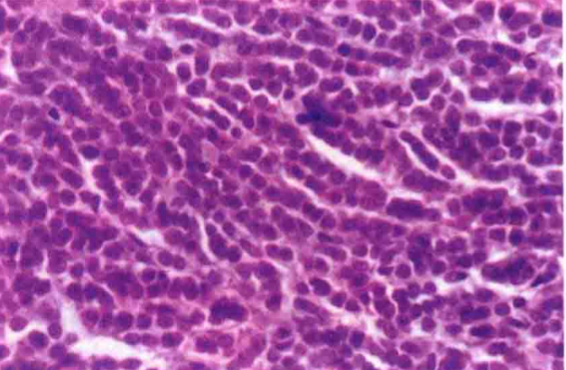
是中枢神经系统中最常见的胚胎性肿瘤,占原发性颅内肿瘤的2%~4%,占神经上皮组织肿瘤的7%~8%。高峰发病年龄为7岁,其次为10~16岁,50岁以上罕见。髓母细胞瘤均发生于小脑,75%的儿童髓母细胞瘤发生于小脑蚓部,并突入第四脑室;部分病例可发生于小脑半球。此瘤为高度恶性肿瘤,WHO Ⅳ级。

肉眼观,肿瘤组织使小脑蚓部或半球肿大,切面呈鱼肉状,色灰红或暗红,边界不清,可见出血、坏死。镜下,肿瘤由圆形、椭圆形或胡萝卜形细胞构成,胞核着色深,胞质少而边界不清楚,有多少不等的核分裂象。
脑膜瘤
脑膜瘤是一组起源于脑膜皮细胞的脑膜肿瘤,也是最常见的脑膜原发性肿瘤。发病率仅次于星形细胞肿瘤,是颅内和椎管内最常见的肿瘤之一。好发于中老年人,高峰发病年龄为50~70岁,女性多于男性。根据组织学特点和生物学行为,分为脑膜皮细胞型脑膜瘤、纤维型脑膜瘤、过渡型脑膜瘤和砂粒体型脑膜瘤、非典型脑膜瘤和间变型(恶性)脑膜瘤等15个亚型。其中WHO Ⅰ级9型,Ⅱ级3型,Ⅲ级3型。

脑膜瘤常见于上矢状窦两侧、蝶骨嵴、嗅沟、小脑脑桥角以及脊髓胸段脊神经在椎间孔的出口处。肉眼观,肿瘤常与硬膜紧密相连,呈球形或分叶状,包膜完整。一般仅压迫脑组织,呈膨胀性生长。少数病例肿瘤累及颅骨,导致颅骨肥厚或穿透颅骨。肿块质实,切面灰白色,呈颗粒状、条索状,可见灰白色钙化,切之有砂粒感。偶见出血。非典型和间变型脑膜瘤体积大,并常见坏死。
病毒感染
病毒进入中枢神经系统及相关组织引起的炎症性疾病即为中枢神经系统病毒感染。中枢神经系统病毒感染的临床分类较多,依据发病缓急及病情进展速度可分为急性病毒感染和慢性病毒感染。根据病原学中病毒核酸的特点分为DNA 病毒感染和RNA病毒感染两大类。能够引起人类中枢神经系统感染的病毒很多,具有代表性的有:DNA病毒中的单纯疱疹病毒、水痘-带状疱疹病毒、巨细胞病毒等;RNA病毒中的脊髓灰质炎病毒、柯萨奇病毒等。
细菌感染
由各种细菌侵犯神经系统所致的炎症性疾病称为神经系统细菌感染。在各种神经系统感染性疾病中,细菌感染较常见。细菌可侵犯中枢神经系统软脑膜、脑实质、脊髓,或感染其他邻近组织如静脉窦、周围神经等。
真菌感染
中枢神经系统真菌感染是由真菌侵犯脑膜及脑实质引起的神经系统炎症,属深部真菌感染,具有病情危重、诊断困难、治疗棘手、病死率高等特点。随着广谱抗生素、肾上腺皮质激素、免疫抑制剂和抗肿瘤药物的广泛应用,器官移植的广泛开展,以及艾滋病患者的逐年增加,中枢神经系统真菌感染的患病率呈上升趋势。引起中枢神经系统感染的致病性真菌包括新型隐球菌、环孢子菌、芽生菌、念珠菌、曲霉菌及毛霉菌等。
阮蛋白病
阮蛋白引起的中枢神经系统变性疾病,亦称阮病毒病、蛋白粒子病、感染性海绵状脑病、亚急性海绵状脑病等。阮蛋白病是一种人畜共患、中枢神经系统慢性非炎性致死性疾病。
脑寄生虫感染
中枢神经系统寄生虫感染是指寄生虫病原体引起脑和脊髓的感染。常见的感染神经系统的寄生虫有蠕虫中的囊虫、血吸虫、肺吸虫、包虫等,原虫中的疟原虫、弓形体、阿米巴原虫等。
神经系统螺旋体感染
螺旋体在自然界和动物体内广泛存在,是介于细菌和原虫之间的单细胞微生物。对人类有致病性并可累及中枢神经系统的螺旋体有密螺旋体、疏螺旋体、钩端螺旋体。这三种螺旋体所致的具有代表性的疾病依次为:梅毒、莱姆病和钩端螺旋体病。
艾滋病的神经系统损害
由于HIV是一种嗜神经病毒,可高度选择性地侵袭神经系统,即使给予有效抗病毒治疗,仍有30% ~50% AIDS患者会出现神经系统症状,10% ~27%以神经系统损害表现为首发症状。尸检发现80% ~90%AIDS患者有神经系统病理改变。
中枢神经系统疾病最常见而重要的并发症为颅内压升高、脑水肿和脑积水,其中脑水肿和脑积水可引起或加重颅内压升高,三者可合并发生,互为因果,后果严重可导致死亡。
颅内压升高及脑疝形成
侧卧位的脑脊液压超过2kPa(正常为0.6~1.8kPa)即为颅内压增高,这是由于颅内容物的容积增加,超过了颅腔所能代偿的极限所致。颅内压增高的主要原因是颅内占位性病变和脑脊液循环阻塞所致的脑积水。常见的占位性病变为脑出血和血肿形成(如创伤、高血压、脑出血等)、脑梗死、肿瘤、炎症(如脑膜脑炎、脑脓肿等)、脑膜出血等,其后果与病变的大小及其增大的速度有关。脑水肿可加重病变的占位性。
升高的颅内压可引起脑移位、脑室变形、使部分脑组织嵌入颅脑内的分隔(大脑镰、小脑天幕)和颅骨孔道(如枕骨大孔等)导致脑疝形成。常见的脑疝有:扣带回疝、小脑天幕疝、小脑扁桃体疝。
脑水肿
脑组织中由于液体过多贮积而形成脑水肿,这是颅内压升高的一个重要原因。许多病理过程,如缺氧、创伤、梗死、炎症、肿瘤、中毒等均可伴发脑水肿。脑水肿的肉眼形态为脑体积和重量增加,脑回宽而扁平,脑沟狭窄,白质水肿明显,脑室缩小,严重的脑水肿常同时有脑疝形成。镜下,脑组织疏松,细胞和血管周围空隙变大,白质中的变化较灰质更加明显。
脑积水
脑脊液量增多伴脑室扩张称为脑积水。脑积水发生的主要原因是脑脊液循环的通路被阻断。引起脑脊液循环受阻的原因很多,诸如先天畸形、炎症、外伤、肿瘤、蛛网膜下腔出血等。脑室内通路阻塞引起的脑积水称阻塞性或非交通性脑积水,表现为部分脑室的扩张;如脑室内通畅而因蛛网膜颗粒或绒毛吸收脑脊液障碍所致的脑积水称交通性脑积水。此外脉络丛乳头状瘤分泌过多脑脊液也可导致脑积水,常表现为全脑室的扩张。

西班牙的神经组织学家Cajal在19世纪80年代建立起了神经元理论。他指出,神经系统包括中枢和外周神经都由特殊结构的神经细胞——神经元组成,并且各个神经元之间存在连接点。这个理论的建立取代了过去不基于细胞的网络理论,为研究神经传导奠定了科学基础。
19世纪和20世纪交替之际,英国生理学家Sherrington在Cajal的基础上继续进行相关研究。1897年,Sherrington将神经细胞之间的连接点命名为"突触",这个概念后来成为研究神经传递的重要基础。1910年,Sherrington进一步提出,由于存在突触,神经脉冲不是随机地在神经细胞之间传入和传出,而是通过突触的单向传导。20世纪20至50年代,通过高倍电子显微镜的观察,发现突触前后有两个分开的膜,分属于突触前后的两个神经元,中间存在一个200Å(1Å=10⁻¹⁰m)的间隙,被称为突触间隙。这种结构普遍存在于神经系统中。
早在1791年,意大利解剖学家Galvani就发现了生物电现象。19世纪期间,许多生理学家致力于电生理的研究,并取得了一系列重要成果,包括测定神经传导速度、发现“全或无”定律等。20世纪的到来带来了示波器和电子放大器等新技术工具的应用,为电生理研究提供了更强大的手段。尤其是在30年代,英国生理学家Young选择乌贼的巨型神经纤维作为研究对象,对神经电传导的电阻、电位以及刺激前后的变化等进行了精确的定量测量。
1905年,英国生理学家Elyot发现通过电刺激交感神经会引起与肾上腺素类似的反应,并认为这可能是电脉冲到达肌肉连接点时释放了肾上腺素。1921年,奥地利的Loewi通过在蛙心进行实验直接证明了在心肌上的交感神经末梢和副交感神经末梢释放出两种不同的化学物质,一种使心跳减速,另一种使心跳加速。
1926年,在Dale的建议下,Loewi使用毒扁豆碱抑制乙酰胆碱酶的活性,从而保持了乙酰胆碱的一定量,同时观察到副交感神经作用增强和延长的效果。随后,在1932年前后,Dale进行了一系列实验,直接证明了乙酰胆碱存在于内脏器官神经末梢。此后,乙酰胆碱作为神经递质的研究范围扩展到横纹肌神经末梢、交感副交感神经节以及中枢神经系统中某些神经细胞的末梢等领域。
19世纪有学者提出关于脑功能区的定位,即大脑主司感觉与思考,延髓为生命中枢,小脑主协调躯体运动。19世纪80年代,部分切除狗脑皮层手术成功,并通过用电刺激脑的不同部分引起不同反应来研究大脑皮层的功能定位问题。20世纪30年代,德国神经外科医生Foerster和加拿大神经生理学家Penfield进行外科手术时,在清醒的患者身上,用电刺激大脑的不同部位引起不同反应。根据这种结果绘制出人的大脑皮层功能区域图。
英国的Dawson于20世纪50年代初建立起世界上第一个记录瞬态诱发电位的装置。随后,由美国两位科学家将该机械装置全部加以电子化并同专用计算机相连。60年代,又引入傅里叶分析仪,使研究工作取得新进展。到了70年代,对人的视觉、听觉、甚至婴儿的感觉都有了灵敏的检查指标,不仅在临床上得到广泛应用,也为进一步探索脑功能提供了条件。
20世纪在感觉生理学领域取得了一些重要的进展,尤其是在中枢神经系统对外界感觉的加工方面。
神经网络上侧抑制的发现
美国生理学家Bekesy发现,在视觉系统中存在互相抑制的作用,有助于增强视觉中的反差效应。他还发现,听觉系统中也存在侧抑制。这种侧抑制的原理已被应用于通信系统和工程技术系统的信号检测。
神经纤维的感受域
英国生理学家Adrian在1930年左右提出了感受域的概念。他的实验发现,许多感受器引起同一根神经纤维的反应,因此他将这一纤维所连接的多个感受器区域称为感受域。随后,许多英国和美国的生理学家发现,整个视觉系统的各个层级的神经元都存在感受域,并具有不同程度的信息加工功能;听觉系统中也存在类似情况。因此,感受域的概念具有普遍意义。
大脑皮层的微观结构
大脑皮层中存在着“粒”状细胞群的“功能结构”,这一发现主要由意大利神经科学家Golgi和美国神经解剖学家Cajal共同贡献。他们通过观察大脑皮层的细胞结构,发现了由许多小而密集的细胞组成的“粒”状细胞群,并认为它们在信息处理中起着重要作用。这一观察结果揭示了大脑皮层的微观结构,对于理解感觉加工及其在大脑中的表达具有重要意义。
新亚洲娱乐(英文名:ASIA ENTERTAINMENT GROUP LIMITED,全称:新亚洲娱乐联盟集团有限公司)是一家以从事戏剧制作人及杂项戏剧服务为主的企业,成立于1999年,位于香港特别行政区。旗下分公司包括虎威艺能创作有限公司(TGS HK)、稻草人娱乐创作社(Scarecrow Entertainment)、虎威王朝音乐创作股份有限公司(TGS Music)、虎威活力娱乐传播有限公司(TGS Taiwan)、AK Entertainment(Korea)以及AEG Korea等。
印度孟买SENSEX30指数(又称孟买敏感指数)为印度最被广泛使用的指数,为投资印度的重要参考指标,是由孟买证券交易所发行。由于各类媒体提到的“印度股市”,实际上都是孟买股票交易所,因此,该交易所的SENSEX-30指数几乎成了印度股市的代名词。







