旋毛虫病是指感染旋毛虫幼虫而导致的疾病。人群普遍易感。旋毛虫病是由于生食猪肉或其他肉类都导致感染。临床表现主要为恶心、呕吐、腹痛、腹泻、肌肉疼痛。旋毛虫病主要的治疗方法是药物治疗。旋毛虫病严重可引起心肌炎、脑膜炎等。旋毛虫病轻者可治愈,重症者预后差。

本页面主要目录有关于旋毛虫病的:就诊科室、病因、症状、检查、诊断、鉴别诊断、治疗、危害、预后、预防、参考文献等介绍

就诊科室

传染科

显状部位

全身

就诊科室

  • 感染科

病因

  • 因食用未煮熟的含旋毛虫幼虫猪肉或其他肉类而感染。

症状

  • 潜伏期2~45天,多为10~15天,潜伏期长短与病情轻重呈负相关。临床症状轻重则与感染虫量呈正相关。主要表现为恶心、呕吐、腹痛、腹泻、肌肉疼痛。

早期

  • 恶心、呕吐、腹痛、腹泻。

急性期

  • 幼虫移行时期。病多急起。

  • 发热:多伴畏寒、以弛张热或不规则热为常见,多在38~40℃,持续2周,重者最长可达8周。

  • 水肿:约80%患者出现水肿,主要发生在眼睑、颜面、眼结合膜,重者可有下肢或全身水肿。进展迅速为其特点。多持续1周左右。

  • 皮疹:多与发热同时出现,好发于背、胸、四肢等部位,斑丘疹、猩红热样疹或出血疹等。

  • 全身肌肉疼痛甚剧。多与发热同时或继发热、水肿之后出现,伴压痛与显著乏力。皮肤呈肿胀硬结感。重症患者常感咀嚼、吞咽、呼吸、眼球活动时疼痛。

  • 累及咽喉可有吞咽困难和声音暗哑;累及心肌可出现心音低钝、心律失常、奔马律和心功能不全等;累及中枢神经系统常表现为头痛、脑膜刺激征,甚而抽搐、昏迷、瘫痪等;肺部病变可导致咳嗽和肺部啰音;眼部症状常失明、视物模糊和复视等。

恢复期

  • 消瘦、乏力、肌肉痛。

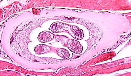
检查

  • 确诊旋毛虫病需要进行血常规、病原学检查、免疫学检查等。

  • 血常规:可发现中等贫血、白细胞数增高、嗜酸性粒细胞显著增高。

  • 病原学检查:常取三角肌或腓肠肌活检,可查见旋毛虫。

  • 免疫学检查:可查见旋毛虫的抗原和抗体。

诊断

  • 医生根据病史、临床表现、病原学检查等结果来诊断旋毛虫病。

  • 有生食猪肉或其他肉类的历史。

  • 有肌肉痛、恶心、呕吐等症状。

  • 病原学和免疫学检查查见旋毛虫及其抗原抗体。

鉴别诊断

  • 本病需要与食物中毒、肠炎等疾病进行鉴别诊断。

  • 如果出现恶心、呕吐等症状时应及时到医院就诊。

  • 医生可以通过临床表现及病原学、免疫学检查进行诊断和鉴别诊断。

治疗

  • 旋毛虫病治疗以药物治疗为主。

  • 用苯咪唑类药物来针对旋毛虫进行治疗,不良反应轻,疗效好。

  • 症状严重者可用糖皮质激素来控制症状。

  • 症状明显者应卧床休息,给予充分营养和水分,肌痛显著可予镇痛药。有显著异性蛋白反应或心肌中枢神经系统受累的严重患者,可给予肾上腺皮质激素,最好与杀虫药同用。

危害

  • 治疗不及时可能导致心肌受累,情况严重。

预后

  • 旋毛虫病经过治疗后可治愈。

预防

  • 尽量不生食猪肉。

参考文献

  • [1] 李兰娟,王宇明。感染病学。第3版。北京:人民卫生出版社,2015.

  • [2] 李兰娟,任红。传染病学。第8版。北京:人民卫生出版社,2013.