疾病分型
肺泡性肺气肿
病变发生在肺腺泡内,因其常合并有小气道的阻塞性通气障碍,故也称阻塞性肺气肿。根据发生部位和范围又将其分为:
(1)腺泡中央型肺气肿:此型最为常见,多见于中老年吸烟者或有慢性支气管炎病史者。病变特点是位于肺腺泡中央的呼吸性细支气管呈囊状扩张,而肺泡管和肺泡囊扩张不明显。
(2)腺泡周围型肺气肿:也称隔旁肺气肿,此型多不合并慢性阻塞性肺疾病。腺泡的呼吸性细支气管基本正常,而远侧端位于其周围的肺泡管和肺泡管和肺泡囊扩张。
(3)全腺泡型肺气肿:常见于青壮年、先天性α1-抗胰蛋白酶缺乏症患者。病变特点是呼吸性细支气管、肺泡管、肺泡囊和肺泡都扩张,含气小囊腔布满肺腺泡内。肺泡间隔破坏严重时,气肿囊腔融合形成直径超过1cm的较大囊泡,则称囊泡性肺气肿。
间质性肺气肿
肋骨骨折、胸壁穿透伤或剧烈咳嗽引起肺内压急剧增高等均可导致细支气管或肺泡间隔破裂,使空气进入肺间质形成间质性肺气肿。气体出现在肺膜下、肺小叶间隔,也可沿细支气管壁和血管周的组织间隙扩散至肺门、纵隔形成串珠状气泡,甚至可在上胸部和颈部皮下形成皮下气肿。
其他类型的肺气肿
(1)瘢痕旁肺气肿:指出现在肺组织瘢痕灶周围,由肺泡破裂融合形成的局限性肺气肿,因其出现的具体位置不恒定且大小形态不一,故也称为不规则型肺气肿。若气肿囊腔直径超过2cm,破坏了肺小叶间隔时称肺大疱,位于肺膜下的肺大疱破裂可引起气胸。
(2)代偿性肺气肿:是指肺萎缩及肺叶切除后,残余肺组织或肺炎性实变病灶周围肺组织的肺泡代偿性过度充气,通常不伴气道和肺泡壁的破坏或仅有少量肺泡壁破裂。
(3)老年性肺气肿:是因老年人的肺组织弹性回缩力减弱使肺残气量增多而引起的肺膨胀。
病因
病因
阻塞性肺气肿的病因不清,一般认为是多种因素协同作用形成的。引起慢支的各种环境因素如吸烟、呼吸道感染、大气污染、职业性粉尘和有害气体的长期吸入等,均可参与阻塞性肺气肿的发病,其中吸烟是已知的最重要的环境因素。多种机体内因也可参与其发病。
发病机制
阻塞性通气障碍
慢性支气管炎时,因慢性炎症使小支气管和细支气管管壁结构遭受破坏及以纤维化为主的增生性改变导致管壁增厚、管腔狭窄;同时黏液性渗出物的增多和黏液栓的形成进一步加剧小气道的通气障碍,使肺排气不畅,残气量过多。
呼吸性细支气管和肺泡壁弹性降低
正常时细支气管和肺泡壁上的弹力纤维具有支撑作用,并通过回缩力排出末梢肺组织内的残余气体。长期的慢性炎症破坏了大量的弹力纤维,使细支气管和肺泡的回缩力减弱;而阻塞性肺通气障碍使细支气管和肺泡长期处于高张力状态,弹性降低,使残气量进一步增多。
α1-抗胰蛋白酶水平降低
α1-抗胰蛋白酶广泛存在于组织和体液中,对包括弹性蛋白酶在内的多种蛋白水解酶有抑制作用。炎症时,白细胞的氧代谢产物氧自由基等能氧化α1-AT,使之失活,导致中性粒细胞和巨噬细胞分泌的弹性蛋白酶数量增多、活性增强,加剧了细支气管和肺泡壁弹力蛋白、I型胶原和糖蛋白的降解,破坏了肺组织的结构,使肺泡回缩力减弱。临床资料也表明,遗传性α-AT缺乏者因血清中α-AT水平极低,故肺气肿的发病率较一般人高15倍。
由于上述诸因素的综合作用,使细支气管和肺泡腔残气量不断增多,压力升高,导致细支气管扩张,肺泡最终破裂融合成含气的大囊泡,形成肺气肿。
流行病学
肺气肿常与慢支并存,一般病程较长,发展缓慢,当发生可逆性不大的气道阻塞和气流受限时即诊断为慢阻肺。

慢阻肺是一种严重危害人类健康的常见病,严重影响患者的生命质量,是导致死亡的重要病因,并给患者及其家庭以及社会带来沉重的经济负担。慢性阻塞性肺病是全球第三大死因,2019年造成323万人死亡。70岁以下人群中近90%的慢性阻塞性肺病死亡发生在低收入和中等收入国家。在中国,>20岁成人慢阻肺患病率为8.6%,>40岁则高达13.7%,并且农村地区慢阻肺的患病率为9.6%,显著高于城市的7.4%。在高收入国家,吸烟造成的慢性阻塞性肺病占病例数的70%以上。在低收入和中等收入国家,吸烟造成的慢性阻塞性肺病占病例数的30-40%,而且家庭空气污染是一个主要的风险因素。
病理生理
病理
大体检查可见肺体积显著膨大,边缘钝圆,表面可见多个大小不等的大疱,剖胸后肺脏回缩较差。镜下可见终末细支气管以远肺组织扩张,肺泡壁变薄,肺泡间隔变窄或断裂,肺泡孔扩大,扩张破裂的肺泡相互融合形成较大的囊腔,肺毛细血管明显减少。阻塞性肺气肿按其累及二级肺小叶的部位可分为3类:
病生
阻塞性肺气肿患者肺组织弹性回缩力明显降低,肺泡持续扩大,回缩障碍,功能残气量、残气量和肺总量都增加,残气量占肺总量的百分比增加。肺组织弹性回缩力降低是导致最大呼气流速下降的一个重要原因,与慢支气道病变一起引起气道阻塞和气流受限,形成慢阻肺。
临床表现
症状

起病缓慢,病程较长,早期可以没有自觉症状。主要症状包括:
(1)慢性咳嗽:随病程发展可终身不愈。常晨间咳嗽明显,夜间阵咳或排痰。
(2)咳痰:一般为白色黏液或浆液泡沫性痰,偶可带血丝,清晨排痰较多。急性发作期痰量增多, 可有脓性痰。
(3)气短或呼吸困难:劳力性气促是肺气肿的典型症状,多在原有咳嗽,咳痰等慢支症状的基础上出现逐渐加重的呼吸困难,此时患者多已发生慢阻肺。
(4)喘息和胸闷:部分病人特别是重度病人或急性加重时出现喘息。
(5)其他:晚期病人有体重下降,食欲减退等。
体征
(1)视诊:胸廓前后径增大,肋间隙增宽,剑突下胸骨下角增宽,称为桶状胸。部分病人呼吸变浅,频率增快,严重者可有缩唇呼吸等。
(2)触诊:双侧语颤减弱。
(3)叩诊:肺部过清音,心浊音界缩小,肺下界和肝浊音界下降。
(4)听诊:两肺呼吸音减弱,呼气期延长,部分病人可闻及湿啰音和(或)干啰音。
并发症
慢性呼吸衰竭
常在慢阻肺急性加重时发生,其症状明显加重,发生低氧血症和(或)高碳酸血症,出现缺氧和二氧化碳潴留的临床表现。
自发性气胸
如有突然加重的呼吸困难,并伴有明显发绀,患侧肺部叩诊为鼓音,听诊呼吸音减弱或消失,应考虑并发自发性气胸,通过X线检查可以确诊。
慢性肺源性心脏病
由于慢阻肺引起肺血管床减少及缺氧致肺动脉收缩和血管重塑,导致肺动脉高压,右心室肥厚扩大,最终发生右心功能不全。
检查诊断
诊断原则
阻塞性肺气肿的诊断要根据病史、临床症状、体征、实验室检查等综合分析。要重视体格检查在肺气肿诊断中的价值。肺功能检查和胸部X线检查(特别是胸部CT检查)对肺气肿诊断有重要意义。
检查项目
肺功能检查
肺功能检查是判断气道阻塞和气流受限的主要客观指标,对慢阻肺诊断、严重程度评价、疾病进展状况、预后及治疗反应判断等都有重要意义。肺总量(TLC)、功能残气量(FRC)、残气量(RV)和 RV/TLC 增高,肺活量(VC)减低,均为阻塞性肺气肿的特征性变化。临床上常以 RV/TLC作为判断指标,正常情况下RV/TLC 小于或等于35%,超过40%提示肺气肿。根据RV/TLC%结合肺泡氮浓度的测定,还可对阻塞性肺气肿的程度作出判断。
阻塞性肺气肿程度判断 | RV/TLC(%) | 平均肺泡氮浓度(%) |
无肺气肿 | ≤35 | 2.47 |
轻度肺气肿 | 36~45 | 4.43 |
中度肺气肿 | 46~55 | 6.15 |
重度肺气肿 | ≥56 | 8.40 |
参考资料 |
若吸入支气管扩张剂,第一秒用力呼气容积(FEV1)/用力肺活量(FVC)<70%,表明存在持续的气流受限,这是慢阻肺诊断的必备条件。
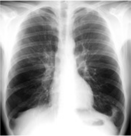
胸部X线
在正位胸片上,局限性阻塞性肺气肿表现为肺野局限性透明度增加,其范围取决于阻塞的部位。一侧肺或一个肺叶的肺气肿表现为一侧肺或一叶肺的透明度增加,肺纹理稀疏,纵隔移向健侧,病侧横膈下降。弥漫性阻塞性肺气肿表现为两肺野透明度普遍性增加,常有肺大疱出现,肺纹理稀疏。疾病晚期,肺纹理进一步变细减少、肺野透明度明显增加,胸廓前后径及横径均增大,肋间隙增宽,横膈低平且活动度减弱。心影狭长呈垂位心型,中心肺动脉可以增粗、外围肺血管纹理变细,严重者出现肺动脉高压及肺心病。

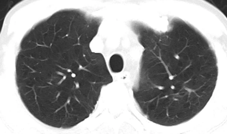
胸部CT
局限性阻塞性肺气肿在CT上表现为局限性肺透明度增加,肺纹理稀少。CT对局限性肺气肿的检出比X线检查更加敏感,可显示阻塞的部位甚至阻塞的原因。弥漫性阻塞性肺气肿表现为两肺纹理普遍稀疏、变细、变直,其余表现同X线胸片所见。

血气分析
对确定发生低氧血症、高碳酸血症、酸碱平衡失调以及判断呼吸衰竭的类型有重要价值。血气分析早期可无变化。随着病情发展至慢阻肺后,可见动脉血氧分压降低,进一步发展出现动脉血二氧化碳分压升高,并可出现呼吸性酸中毒,pH降低。
其他检查
(1)血常规:合并细菌感染时,外周血白细胞计数增高,核左移。
(2)痰培养:合并细菌感染时可能查出病原菌。
鉴别诊断
支气管哮喘
常在早年发病(通常在儿童期),每日症状差异大,夜间和清晨症状明显。常有过敏史、鼻炎和(或)湿疹,有支气管哮喘家族史,可伴有肥胖。大多数哮喘病人的气流受限有显著的可逆性,合理吸入糖皮质激素等药物常常能有效控制病情,是与肺气肿鉴别的一个重要特征。
充血性心力衰竭
X线胸片可见心脏扩大、肺水肿,肺功能检查提示有限制性通气障碍而非气流受限。
支气管扩张症
表现为反复咳大量脓痰或咯血,可有杵状指。常伴有细菌感染,听诊可闻及粗湿啰音。X线胸片或胸部CT可见支气管扩张、管壁增厚。
肺结核
所有年龄均可发病,X线胸片示肺浸润性病灶或结节状、空洞样改变,微生物检查可确诊,在流行地区高发。
闭塞性细支气管炎
发病年龄常常较轻,无吸烟史,可有类风湿关节炎病史或急性烟雾暴露史,呼气相CT可见低密度区。
弥漫性泛细支气管炎
主要发生在亚洲人群,几乎均有慢性鼻窦炎,X线胸片和肺高分辨率CT可见弥漫性小叶中央结节影和过度充气征。
治疗
治疗原则
对于已经形成的肺气肿病变尚无治疗方法可以使其其逆转,各种治疗的目的在于延缓肺气肿病变的发展,改善呼吸功能,提高患者工作、生活能力。对于阻塞性肺气肿早期无明显症状者,治疗重点在于避免致病因素(如戒烟、改善厨房通风),并注意适当锻炼,增强体质。对于有慢支症状者按慢支治疗。对于已经出现不完全可逆性气道阻塞而诊断慢阻肺者按慢阻肺治疗。
稳定期的治疗
教育与管理
其中最重要的是劝导吸烟的病人戒烟,这是减慢肺功能损害最有效的措施。因职业或环境粉尘、刺激性气体致病的患者,应该脱离污染环境。
支气管扩张剂
是现有控制症状的主要措施,可依据病人病情严重程度、用药后病人的反应等因素来选用(如下方表格所示)。支气管扩张剂包括β2肾上腺素受体激动剂(包括短效制剂如沙丁胺醇和长效制剂如沙美特罗、福莫特罗等)、抗胆碱药(包括短效制剂如异丙托溴铵和长效制剂如噻托溴铵)、茶碱类药。
稳定期病人病情严重程度的综合性评估及其主要治疗药物病人综合评估分组 | 特征 | 上一年急性加重次数 | mMRC分级或 CAT评分 | 首选治疗药物 |
A组 | 低风险,症状少 | ≤1次 | 0~1级或<10 | SAMA 或 SABA,必要时 |
B组 | 低风险,症状多 | ≤1次 | ≥2级或≥10 | LAMA或(和)LABA |
C组 | 高风险,症状少 | ≥2次或因急性加重住院≥1次 | 0~1级或<10 | LAMA,或 LAMA 加LABA 或ICS加 LABA |
D组 | 高风险,症状多 | ≥2次或因急性加重住院≥1次 | ≥2级或≥10 | LAMA 加 LABA,或加ICS |
参考资料 |
注:SABA:短效β2受体激动剂;SAMA:短效抗胆碱能药物;LABA:长效β2受体激动剂;LAMA:长效抗胆碱能药物;ICS:吸入糖皮质激素。
糖皮质激素
对高风险病人(C 组和 D 组病人),长期吸人糖皮质激素与长效β2肾上腺素受体激动剂的联合制剂可增加运动耐量、减少急性加重频率、提高生活质量。常用剂型有沙美特罗加氟替卡松、福莫特罗加布地奈德。
祛痰药
对痰不易咳出者可应用,常用药物有盐酸氨溴索、N-乙酰半胱氨酸和羧甲司坦。后两种药物可以降低部分病人急性加重的风险。
其他药物
磷酸二酯酶-4抑制剂罗氟司特用于具有频繁急性加重病史的患者,可降低急性加重的风险。大环内酯类药物(红霉素或阿奇霉素)应用1年可以减少某些频繁急性加重的慢阻肺病人的急性加重率,但有可能导致细菌耐药及听力受损。
长期家庭氧疗(LTOT)
长期家庭氧疗对慢阻肺并发慢性呼吸衰竭者可提高生活质量和生存率,对血流动力学、运动能力和精神状态均会产生有益的影响。LTOT 的使用指征为:①PaO2<55mmHg或SaO2<88%,伴或不伴高碳酸血症。②PaO2为55 ~60mmHg,或SaOz<89%,合并有肺动脉高压、右心衰竭或红细胞增多症(血细胞比容>0.55)。一般用鼻导管吸氧,氧流量为1.0~2.0L/min,吸氧时间>15h/d。目的是使病人在海平面、静息状态下,达到 PaO2=60mmHg和(或)使SaO2升至90%以上。
康复治疗
康复治疗可使因进行性气流受限、严重呼吸困难而很少活动的病人改善活动能力、提高生活质量,是稳定期病人的重要治疗手段。具体包括呼吸生理治疗、肌肉训练、营养支持、精神治疗与教育等多方面措施。
急性加重期治疗
支气管扩张剂
药物同稳定期,有严重喘息症状者可给予较大剂量雾化吸入治疗。
低流量吸氧
发生低氧血症者可用鼻导管吸氧,或通过文丘里面罩吸氧。鼻导管给氧时,吸人的氧浓度为28%~30%,应避免吸入氧浓度过高引起二氧化碳潴留。
抗生素
当病人呼吸困难加重,咳嗽伴痰量增加、有脓性痰时,应依据病人所在地常见病原菌及其药物敏感情况积极选用抗生素治疗。门诊可用阿莫西林/克拉维酸、头孢唑肟、头孢呋辛、左氧氟沙星、莫西沙星口服治疗,较重者可应用第三代头孢菌素。住院病人应根据预计的病原菌及当地细菌耐药情况选用抗生素,一般多静脉滴注给药。如果找到确切的病原菌,应根据药敏结果选用抗生素。
糖皮质激素
对需要住院治疗的急性加重期病人可考虑泼尼松龙,也可静脉给予甲泼尼龙。
机械通气
对于并发较严重呼吸衰竭的病人可使用机械通气治疗。
其他治疗
(1)合理补充液体和电解质以保持身体水电解质平衡。
(2)注意补充营养,根据病人胃肠功能状况调节饮食,保证热量和蛋白质、维生素等营养素的摄入,必要时可以选用肠外营养治疗。
(3)积极排痰治疗:最有效的措施是保持机体有足够体液,使痰液变稀薄。其他排痰措施包括刺激咳嗽、叩击胸部、体位引流等方法。
(4)积极处理伴随疾病及并发症。
外科治疗
外科方法仅适用于少数有特殊指征的病人,选择适当病例可以取得一定疗效,使病人肺功能有所改善,呼吸困难有所减轻。鉴于较高的手术风险及昂贵的手术费用,选择手术治疗应十分谨慎。术前必须进行动脉血气分析、肺功能测定和胸部CT检查,全面评估呼吸功能。手术方式包括肺大疱切除术和肺减容手术。肺移植术为终末期慢阻肺病人提供了一种新的治疗选择,但存在着技术要求高、供体资源有限、手术费用昂贵等诸多问题。
肺大疱的治疗
肺大疱是一种不可逆转的肺部病损,无有效的药物治疗。检查发现的无症状的肺大疱一般无需治疗。
肺大疱手术治疗的适应证为:
肺大疱破裂引起自发性气胸或血气胸者。
肺大疱体积大、压迫邻近肺组织,症状明显者。
肺大疱反复感染者。
肺大疱手术治疗的方法:
绝大多数的肺大疱均可在胸腔镜下通过肺楔形切除,完整切除肺大疱。
难以完整切除的肺大疱,可切开大疱,仔细缝合漏气部位,部分切除多余的大疱壁,缝合切缘。
位于深部肺组织内的肺大疱,除非巨大或合并感染,否则可不用处理。
较小的或靠近肺门的肺大疱,难以楔形切除,可行结扎或缝扎等处理。
如受累肺叶除肺大疱外几无正常肺组织,也可行肺叶切除。
肺减容术(LVRS)
肺减容术是指通过手术切除部分气肿的肺组织来治疗慢阻肺的手段。
LVRS手术的适应征包括:
年龄<75岁,戒烟超过6个月,经过最佳的内科药物治疗和康复治疗后仍有严重的呼吸困难。
肺功能检查提示有明显的阻塞性通气功能障碍(FEV1占预计值<45%),肺弥散功能占预计值>20%。
肺容量检查有气体潴留的证据,包括残气量(RV)占预计值%>150%,肺总量(TLC )占预计值>120%,RV/TLC>60%。
胸部CT提示存在过度通气的区域和相对正常的肺组织。
经过康复锻炼后 6 min步行距离>140 m 。
LVRS的禁忌证包括:
远期效果来看,合理选择的患者,经过LVRS可以改善患者氧合及呼吸困难症状,提高生活质量。上叶病变为主和术前活动耐量差的患者获益更加明显。
肺移植
慢阻肺患者经过积极充分的内科治疗(包括戒烟、充分的支气管舒张剂及激素吸入、康复锻炼、长期氧疗等)无法阻止疾病进展,不适合肺减容术或肺减容术后疾病进展时,可考虑行肺移植手术。慢阻肺肺移植3个月围手术期病死率为8%~9%,平均生存时间7.1年。常用的病例入选标准如下:
BODE指数>7。
FEV 1占预计值<15%~20%。
每年病情加重3次或3次以上。
1次严重的急性呼吸衰竭伴高碳酸血症。
中至重度的肺动脉高压。
预防
主要措施包括戒烟,加强耐寒锻炼,增强体质,提高抗病能力。在气候骤变时及寒冷季节,应注意保暖,避免受凉,预防感冒。改善环境卫生,做好防尘、防大气污染工作。加强个人劳动保护,避免烟雾、粉尘及刺激性气体对呼吸道的影响。
预后
肺气肿进一步发展可能会形成慢阻肺,慢阻肺是不可逆的肺损伤。长期肺气肿能导致肺心病、气胸、呼衰、肺性脑病等。该病的预后与病情的程度及合理治疗有关,个体间生存年限的差异相当大。
历史
肺气肿的描述
发现史
1698年,John Floyer在他的《论哮喘》的附言里描述了大疱型肺气肿,以及肺过度充气和弹性回缩力丧失。这些发现来自于他对一匹衰弱的气喘母马的尸体解剖。
在MatthewBaillie 1793年出版的《病理解剖学》一书中,他阐述了因组织破坏导致气道扩张的人类肺气肿的形态学。
1819年,Rene Laennec的经典论文《论胸腔疾病》首次问世,并于 1826年在后续版本中得以充实,那一年他正好去世。在里面,Laennec第一个阐述了肺气肿及其破坏性,以及它与慢性支气管肺炎的联系。
James Jackson,Jr.收集了一系列肺气肿病例,并指出该病具有家族遗传性,于1837年由他的导师 Pierre Louis在一篇论文里发表。直到1963年,遗传决定的叫抗胰蛋白酶缺乏与肺气肿的关系才被揭示。
外科治疗进展
公共卫生
(1)慢性阻塞性肺病已被列入世卫组织《预防和控制非传染性疾病全球行动计划》和联合国《2030年可持续发展议程》。
(2)世卫组织制定了一系列非传染性疾病基本干预措施,以帮助改善资源匮乏环境中初级卫生保健人员对非传染性疾病的管理工作。这些措施包括慢性呼吸系统疾病(哮喘和慢性阻塞性肺病)评估、诊断和管理规程以及健康生活方式咨询课程(包括戒烟和自我护理等)。
(3)“康复2030”是一项新的战略方针,旨在优先考虑和加强卫生系统中的康复服务。作为世卫组织该项倡议的一部分,正在制定一系列康复干预措施,其中就包含了慢性阻塞性肺病的肺部康复。
(4)减少接触烟草烟雾对慢性阻塞性肺病的初级预防和疾病管理至关重要。《烟草控制框架公约》以及世卫组织推出的MPOWER措施和手机戒烟应用程序等推动了这一领域的进展。
(5)进一步的预防活动包括世卫组织清洁家庭能源解决方案工具包,其目的在于促进家中的清洁和安全干预措施,并为制定政策提供便利,促进在地方、规划和国家一级采用清洁家庭能源。