分型
咽炎根据疾病病程可分为急性咽炎和慢性咽炎两类。
急性咽炎
急性咽炎是由病毒感染、细菌感染以及过敏原刺激等环境因素所引发的咽部急性炎症。急性咽炎可单独发病,也可继发于急性扁桃体炎、急性鼻炎。
慢性咽炎
慢性咽炎常为上呼吸道慢性炎症的其中一部分,可由急性咽炎反复发作所致,也可由呼吸道炎症、环境刺激以及贫血、消化不良、维生素缺乏等全身因素所引起。一般病程较长,且较难彻底治愈。慢性咽炎又可根据病理类型分为慢性单纯性咽炎、慢性肥厚性咽炎、慢性变应性咽炎以及萎缩性咽炎与干燥性咽炎。
病因
急性咽炎
致病原因
病毒感染:多由感染柯萨奇病毒、腺病毒以及副流感病毒所致,其次为鼻病毒及流感病毒感染而致病。
细菌感染:多由感染链球菌、葡萄球菌以及肺炎链球菌所致,其中感染A组乙型链球菌者症状较为严重,可造成远处器官化脓性病变,其称为急性脓毒性咽炎。
环境及其他因素:如高温、刺激性气体等不良环境以及过敏原刺激、身体疲劳、受凉、过量饮酒、全身抵抗力下降等因素也可引起急性咽炎。
高危人群
急性咽炎无特发人群,成人和儿童都较常见。秋、冬季及冬、春季之交时是急性咽炎的高发时间。
慢性咽炎
致病原因
高危人群
慢性咽炎多见于成年人。
病理生理学
急性咽炎
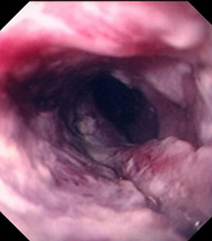
咽部黏膜充血,出现血管扩张、浆液渗出,导致黏膜肿胀增厚,同时可有白细胞浸润。病情严重者,可出现咽后壁淋巴滤泡增生、隆起,且有黄白色点状渗出物。常伴有颈部淋巴结肿大的情况。
慢性咽炎
从病理观点看,可将慢性咽炎分为4类进行分析:
咽部黏膜慢性充血,黏膜及黏膜下结缔组织增生,周围有淋巴细胞浸润,黏液腺肥大,分泌亢进,黏液分泌增多。
咽部黏膜充血增厚,其下部有广泛的结缔组织及淋巴组织增生,在黏液腺周围的淋巴组织增生,在咽后壁上形为多个颗粒状隆起,有时可融合成一片。慢性肥厚性咽炎可累及咽侧索淋巴组织,导致增生肥厚,而呈现条索状。
较为少见,病因尚不明确。患者常伴有萎缩性鼻炎,其主要病理变化为腺体分泌减少,黏膜萎缩变薄、干燥。
变应原刺激咽部黏膜,使其处于致敏状态。当机体再次接触相同变应原后,此变应原与介质细胞表面的IgE结合,释放组胺等炎性介质,从而引起毛细血管扩张、血管通透性增加、腺体分泌增多,引发过敏反应。
传播机制
主要传染源
患有急性咽炎的患者。
传播途径
病毒感染导致的咽炎可通过空气中的飞沫、密切接触等方式传播。
临床表现
主要症状
急性咽炎
以急性发病多见,初始感觉咽部干燥、灼热、粗糙感,继而出现明显咽痛,吞咽时尤为严重,有时疼痛可放射至耳部。
慢性咽炎
主要表现为咽部干燥、发痒、异物感、灼热感以及微痛感。
其它症状
急性咽炎
可出现全身症状,但一般较轻,可因年龄、免疫力以及病毒、细菌毒力不同,而导致症状程度不一,可伴有发热、头痛、口渴、便秘、食欲减退和四肢酸痛等。
慢性咽炎
一般无明显全身症状,以局部症状为主。可因黏稠分泌物附着于咽后壁,导致晨起时出现频繁的刺激性咳嗽,并伴有恶心症状。严重者可能导致咽部粘膜出血,口咽部分泌物中出现血丝。
并发症
急性咽炎
可引起鼻窦炎、中耳炎以及呼吸道的急性炎症。急性脓毒性咽炎还可能并发急性肾炎、风湿热及败血症等情况。
慢性咽炎
炎症可向上蔓延波及咽鼓管,引发耳鸣或听力减退症状;同时可向下累及喉部可出现声嘶等症状。
诊断
咽炎一般根据临床表现和相关检查不难诊断。常会详细询问病史、症状等信息,并进行鼻、咽、喉、气管、耳部等部位的检查。然后可开具血常规、咽拭子培养以及抗体测定等检查项目,以帮助确定病因。通过具体症状和检查结果进行明确诊断。
检查项目
体格检查
主要观察咽部黏膜是否有充血、水肿、分泌物附着等异常情况。此外,还可能会触摸颈部,以了解有无淋巴结肿大的情况。
实验室检查
血常规检查可以帮助确定是否有感染情况。若白细胞总数、中性粒细胞数增高,提示有细菌感染;而白细胞总数正常、淋巴细胞数增高,则可能存在病毒感染。
取咽喉部的分泌物,并放到显微镜下进行检查。咽拭子检查可帮助明确致病菌,找到具体病因。
通过对血清中的特异性IgE水平进行测定,可判断机体是否处于过敏状态并找到过敏原。
鉴别诊断
急性咽炎
麻疹潜伏期可出现类似上呼吸道感染症状,如咽痛、发热、咳嗽等,与急性咽炎症状相似,容易混淆。但麻疹是麻疹病毒感染引起的传染性疾病,还会出现皮疹等症状。
猩红热与急性咽炎都可出现发热、咽痛等症状,容易混淆。但是猩红热为全身感染性疾病,还可出现皮疹等表现。
慢性咽炎
食管癌早期常仅有咽部不适、胸骨后压迫感等症状,易与慢性咽炎混淆。但食管癌为食管恶性肿瘤,可出现逐渐出现吞咽困难等症状,可通过食管X线钡剂造影、食管镜检查等进行鉴别。

肺结核和慢性咽炎都可出现咽痛、发热、咳嗽等症状。与慢性咽炎不同的是肺结核为结核分枝杆菌感染引起的疾病,以肺部病变为主,还可出现午后潮热、咯血、乏力、消瘦等症状。可通过痰液结核分枝杆菌检查、胸部X线等检查进行鉴别。
治疗
一般治疗
应卧床休息,多饮水及进流质饮食。同时坚持户外活动,戒烟酒等不良嗜好,保持室内空气清新,避免接触刺激性的气体。
局部治疗
急性咽炎
主要采用局部治疗,常用药物有复方硼砂溶液等具有清洁、杀菌作用的含漱液、碘含片等各类含片以及喉痛解毒丸等中成药。此外,还可用1%~3%碘甘油、2%硝酸银涂抹咽后壁肿胀的淋巴滤泡,以帮助消炎。
除局部治疗之外,还应及时明确致病因素,选用适宜的抗病毒药和抗生素通过静脉途径给药进行治疗,常用药物包括阿昔洛韦注射液等。
慢性咽炎
常使用复方硼砂溶液、呋喃西林溶液等进行含漱,以帮助口咽部保持清洁。也可含服碘喉片、薄荷喉片帮助改善咽部不适症状。
除使用上述药物治疗外,若淋巴滤泡增生广泛,还可使用10%硝酸银溶液等化学药物对咽后壁淋巴滤泡进行处理。此外,还可采用激光、射频治疗仪等治疗增生的淋巴滤,治疗可分次进行。
除上述基础的药物治疗外,还可用2%碘甘油涂抹咽部,可促进腺体分泌,改善干燥症状。可同时服用维生素A、B、C、E,以促进黏膜上皮的生长。
需应用抗组胺药及肥大细胞稳定剂等,常用药物如西替利嗪等。同时需注意避免接触各种过敏原。
预防
咽炎的主要有效预防手段如下:
避免长期食用辛辣等刺激性食物,同时尽量戒烟戒酒,以免刺激咽部。
注意口腔卫生,以免因口腔部位的疾病而引起慢性咽炎。
歌手、教师、主持人等特殊职业的人群,应多注意发声技巧,以保护咽喉部。
预后
急性咽炎若不存在其他并发症,一般经过治疗后恢复效果较好,一周左右多可痊愈;慢性咽炎一般病程长,且症状顽固,较难彻底治愈。
历史
咽炎的有关历史
咽炎属于中医学“喉痹”的范畴,首次出现“喉痹”病名可追溯到帛书《五十二病方》,其后《黄帝内经》等古籍也多次出现相关记载,对其概念、病机、治疗等方面都做出论述。经历代医者不断的研究与探索,最终形成了对咽炎比较全面的认识。
咽炎的大流行
1997年12月,希腊一所寄宿学校内爆发罕见的A组链球菌咽炎,发现154例(64%)寄宿学生出现严重咽痛。患者发病特征为起病急,伴有疲劳、乏力、咽痛、高热,同时存在扁桃体和颈部淋巴结肿大。大多数患者接受青霉素和羟氨苄西林治疗。此次事件是较大规模的经食物传播的链球菌咽炎。
流行病学
现有对咽炎的相关研究主要集中在A组链球菌性咽炎上,尤其是A组乙型链球菌性咽炎,在美国,每年因咽炎门诊就医的人次达7000000至11000000。中国统计数据显示,在城镇居民中咽炎发病率占咽喉部疾病的10%~20%。相关专家张虹在2012年的报道显示,耳鼻喉科门诊日常就诊患者中慢性咽炎患者的比例接近三分之一。郭洁2016年的报道显示,在2014年某学校教职工体检中有1485名教师的咽喉部检查结果为慢性咽炎检出率为78.1%。史先蕊对120例健康体检的远洋船员调查分析发现,远洋船员慢性咽炎发病率明显高于普通人群,其中18~27岁年龄组中慢性咽炎的发病率高达80%。
研究进展
慢性咽炎的发病机制
慢性咽炎在发病机制方面不断出现新的研究成果,如A组链球菌属革兰阳性菌在抗生素、抗体等多种因素作用下可失去细胞壁而形成细菌细胞壁缺陷型,即细菌L型。该细菌在宿主细胞内生长繁殖并不断带来慢性损伤,同时它在抑制细菌细胞壁合成的因素去除后,恢复完整的细胞壁成为亲本菌株,故推测细菌L型侵入组织并在宿主细胞内生长的特性可能是慢性咽炎反复发作、迁延不愈的根本原因。慢性咽炎发病机制的深入研究将有助于发现更有效的治疗方案。