分类
球菌是一种细菌。细菌可分为球菌、杆菌和螺旋菌三大类。球菌呈球形或近似球形,其大小以细胞直径来表示,一般为0.5~1.0μm。由于球菌分裂面的不同,根据繁殖以后的状态,可分为以下几种:
1)单球菌 细胞沿一个平面进行分裂,子细胞分散而单独存在,如尿素微球菌(Micrococcus ureae);
2)双球菌 细胞沿一个平面分裂,子细胞成双排列,如:肺炎双球菌(Diplococcus pneumoniae),也称肺炎链球菌(Streptococcus pneumoniae),因为其有时呈短链状;
3)链球菌 细胞沿一个平面分裂而第二次细胞分裂与第一次分裂面平行,子细胞呈链状排列,如乳链球菌(Streptococcus lactic),无乳链球菌(Streptococcus agalactiae)则由多个细胞形成长链;
4)四联球菌(Micrococcus tetragenus)细胞按两个互相垂直的平面分裂,子细胞呈田字形排列,如四联小球菌(Micrococcus tetragenus);
5)八叠球菌 细胞按三个互相垂直平面进行分裂,子细胞t特征性叠在一起呈立方体排列,如甲烷八叠球菌(Sarcina methanica)和尿素八叠球菌(Sarcina ureae);
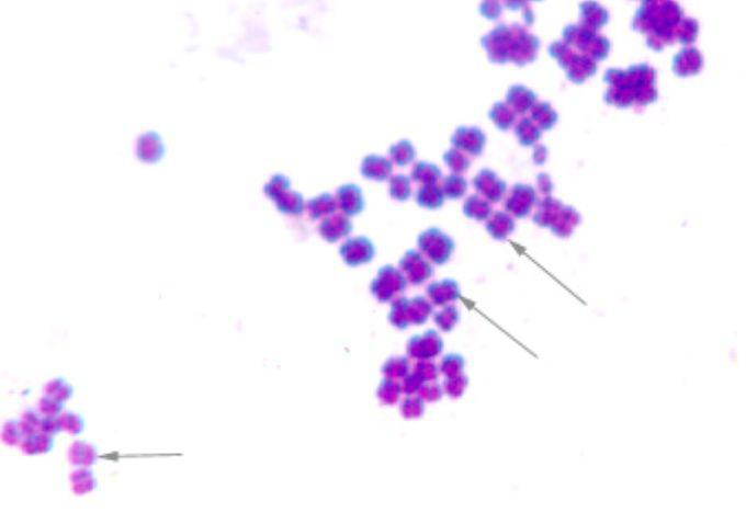
6)葡萄球菌 细胞分裂无定向,子细胞呈葡萄状排列,如金黄色葡萄球菌(Stephylococcus aureus)一种分布广泛和常见致病菌。

形态与染色
球形,直径0.5-1.2μm。典型的葡萄球菌排列呈葡萄串状,在脓汁或液体培养基中生长者,常呈双球或短链状。无鞭毛,无芽胞,幼龄菌可见荚膜。革兰染色呈阳性,当衰老、死亡或被中性粒细胞吞噬后常转为阴性。
培养特效
营养要求不高,在普通培养基上生长良好,兼性厌氧或需氧。最适生长温度为37℃。最适pH值为7.4。耐盐性强,能在含10%~15%的NaCl培养基上生长。在肉汤培养基中,呈均匀混浊生长。在普通琼脂平板上形成圆形、隆起、表面光滑、边缘整齐、不透明的菌落,直径1-2mm。在血琼脂平板上,多数致病性葡萄球菌可产生溶血毒素,使菌落周围产生透明的溶血环。
抗原构造
已发现的抗原构造在30种以上,主要有磷壁酸、A蛋白、荚膜多糖等抗原,对其化学组成和生物学活性了解的仅为少数。其中葡萄球菌A蛋白(staphylococcal protein A,SPA)在医学上意义较为重要。它是存在于细胞壁的一种表面蛋白。90%以上的金黄色葡萄球菌株有此抗原。SPA可与和多种哺乳动物血清中IgG的Fc段非特异性结合。SPA与IgG分子的Fc段结合后,IgG分子的Fab段仍能同相应抗原分子特异性结合。这种简易快速的协同凝集试验已广泛应用于多种细菌抗原的检出。SPA与IgG的结合还具有抗吞噬、促细胞分裂、引起变态反应等多种生物学活性。
抵抗力
葡萄球菌对外界因素的抵抗力强于其他无芽胞菌。干燥脓汁、痰液中存活2-3个月;加热60℃1h或80℃30 min才被杀死;在5%石炭酸、0.1%升汞中10-15min死亡;对龙胆紫很敏感,1:(100 000 -200 000)倍稀释液能抑制其生长。由于广泛应用抗生素,耐药菌株逐年增多,金黄色葡萄球菌对青霉素G的耐药菌株高达90%以上。