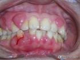
牙医说我的牙有牙周炎,是晚期,我该注意什么?
全部 1026
牙医说我的牙有牙周炎,是晚期,我该注意什么?
-
牙周炎发展到晚期时,由于炎症的扩展,可导致牙周膜被破坏,同时牙槽骨也会慢慢的被吸收,从而可导致牙龈与牙根分离,这样就会导致龈沟加深而形成牙周袋。

首先要去正规的医院进行整治、治疗、口腔卫生方面的指导。其次,在日常生活中要注意口腔卫生,注意刷牙以及科学的刷牙方法。认真刷牙,养成餐后漱口的良好习惯,学会用牙线、牙签剔除嵌塞食物。

第三、.饮食宜清淡,多食新鲜蔬菜和瓜果,忌食辛辣刺激性食物,比如烟,酒,可乐,柠檬汽水等,要均衡饮食,平时不要挑食,多吃一些粗纤维的食物和要养成一个良好的饮食习惯,不要咀嚼过硬食物,避免造成牙周组织创伤,加重牙周炎病情发展,不要嚼槟榔、吸烟,少吃含糖量高的食品。
2019-07-13 17:27:42