白细胞高是白血病的特征吗?
白细胞高是白血病的特征吗?
-
知麻糖来啦!首先给出结论:白细胞高并不是白血病的“特征”!
白细胞的正常范围大致是(4~10)*10^9,而引起白细胞高的因素太多啦,增高的白细胞并没有很强的特异性,所以单纯白细胞增高对于白血病来说并不是“特征性”的诊断依据。 生理性的增高原因一般包括剧烈运动;体力劳动;冬季长时间暴露于冷空气后;低血糖;紧张;饥饿等,女性的月经期,排卵期也会使得白细胞增高。 病理性增高的原因就更多啦,众所周知,白细胞是体内的“卫士”,主要负责“防御外来入侵”还有介导免疫反应,所以白血病数值偏高一般是因为体内出现了各种感染,或者非感染性炎症、组织坏死,急性失血、恶性肿瘤等等。当然,某些类型的白血病也会导致白细胞异常增多。
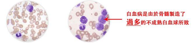
白血病(Leukemia),俗称血癌,是一种造血干祖细胞异常大量增生累积的疾病,会干扰正常造血并浸润其他器官和组织。一般分为急性和慢性两大类,最早的表现主要以贫血为主,还可能有发热等症状,大多数患者白细胞都会增加到10*10^9以上,不过诊断白血病的“特征性”诊断主要是骨髓穿刺,通过观察骨髓中造血细胞的形态状态来确定是否罹患白血病并对白血病分型。
不过如果出现了异常的白细胞增高症状,或者怀疑发生了白血病,请马上前往最近的正规医院进行检查!以上就是小糖关于白血病增高和白血病的解答啦~希望能够帮到您!
顾小花
Suin
Apple·苹
2018-07-15 08:24:30 -
白细胞高,无限制繁殖,以致白细胞过多,又称之为白血病,或败血症。或贫血或流血,体重减轻,脾脏,淋巴腺等肿大,胸部下骨常有压痛感,持续高烧,达六星期之久,结果引致全身血液蒸干而死。
2018-01-15 12:21:02 -
白细胞异常增高是白血病特征,除此之外还有其他特征。
白细胞是人体清除外来感染物的“军队”,能够杀死外来的细菌,移植的器官,还有“小蝌蚪”。

一般情况,是因为细菌感染,会触发白细胞升高,用来快速控制细菌在身体内的繁殖。
而白血病是“无外来感染”式的白细胞升高,很高,白细胞大量出现,还会有些“残次品”白细胞,形态不正常,幼稚白细胞……
因为白细胞比例太高,红细胞变少(贫血)。

官话:白血病是一类造血干细胞恶性克隆性疾病。克隆性白血病细胞因为增殖失控、分化障碍、凋亡受阻等机制在骨髓和其他造血组织中大量增殖累积,并浸润其他非造血组织和器官,同时抑制正常造血功能。
具体如何区分这两者,医生会第一时间下诊断的,如果医生说“没事”,咱就别吓自己了。
心灵扶助者[成云社]~初心✔
2017-12-25 06:45:05 -
白细胞和白血病没有特异性关系,一般的感染都会引起白细胞数量的增多,是可以说是感染引起炎症的特异性表现。但并不是所有的感染都白细胞升高也有一部分感染会引起白细胞数量的急剧下降。
2017-12-08 08:07:16 -
你这张报告看起来就是孩子有感染,打打针就好了,白细胞都2万6了,挺严重,但是白细胞比例还算正常,细菌还是病毒合并细菌感染不好说,一般大人的话,白细胞1万2,3就会觉得很不舒服了,儿科这种病号也是比比皆是,孩子难受说不出来,所以别拖了,赶紧打针去,白血病你想多了,白血病病人通常白细胞无法分类、重度贫血,血小板重度减低并且有比如说骨关节痛,皮疹,肝脾淋巴结肿大,牙周病,反复高烧抗生素无效,外周血可见幼稚细胞才会考虑,而且原则就是,初诊病人首先不考虑恶性病
2017-12-08 08:51:51 -
谢谢邀我。白细胞高是不是白血病?这个问题回答是只能从平常检查结果的单椐看,一种血常规,二种尿常规,三种肝功能检查。血常规计数(MBC),结果6,75,单位10,9/I,参考范围4,0一10,o,尿常规,未见,白细胞,阴性。全是正常比例。那些白细胞高是不是白血病,本人不是专家。只好在资料上阅读知识供大家一齐学习。
白细胞减少了。应是比较好治疗方面。如果说白细胞高了病情转化,转移了的话题。所谓白细胞减少,就是指外周血常规中白细胞计数低于4000/毫升,粒细胞百分比正常或轻度下降病症者,其主要症状表现为全身乏力,倦怠,腿脚酸软,头昏,食欲不振,睡眠欠佳等。
中医认为此病是脾虚武肾虚所致,所以,对于白细胞减少患者的治疗,除了使用药物之外,在饮食上进行调理。需要食用具有补肾,补脾或补肾作用的食品。而要忌食生冷性寒及损伤脾肾的食物。
宜食用。患有白细胞减少症状的人适宜能够提升白细胞的食品。1,人参,大补元气,强壮身体,对白细胞减少患者为气虚及阳气不足,体虚气短,患者最适合。2,羊肉。牛肉,属于温补食物,补血虚,尤其是对白细胞减少患者最适宜食品。
此外,还适宜核挑仁,牛肚,阿胶。鸡蛋,鸡肉。大子参等方面。杞子,银耳,方面。谢谢。
2017-12-08 13:34:10 -
炎症反应和血液病都会造成白细胞高。
白血病的诊断一方面是临床经验,还要结合进一步的细胞形态学分子学筛查和基因学定论。
总之没啥难度。
2018-07-15 10:13:26