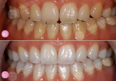
洗牙是骗局吗?
洗牙是骗局吗?
-
洗过一次,确实洗出了不少结石,牙医洗前告诉我会有一点酸,洗完后要恢复几天,我信了。
洗完的几天里,牙龈经常出血,牙神经总是特别敏感,十几天后我发现牙病来了,就是牙神经疼,凉的不敢吃了,坚持使用好牙膏,终于缓过来了,我觉得洗牙和治疗所谓的牙髓炎都是骗局。再说一下牙髓炎,几年前牙疼,疼了好几天,腮帮子都肿了,终于休息去了趟诊所,人家给出的方案就是要在牙上打孔至牙床,灌进消炎药先消炎,反复几次后牙神经死了,炎症消除后再打胶修补,我的感觉就是把一棵活树整死,然后拿出支架把树立起来保护,牙没了神经当然就不疼了,但它就是一颗死牙了,然后我吃了一段时间药,牙疼反复了一次,再没出现问题。
2023-02-03 10:15:57 -
我感觉洗牙就是骗局!我从未洗过牙,也不敢去洗牙一一担心让他们给弄坏了!我就相信自己刷牙漱口认真负责弄好了就能保证牙齿的健康!我也看到了许多人因洗牙而弄坏了牙齿,我感觉洗牙就是多余有害的!
2023-02-02 16:45:54 -
我前年洗过一次牙,第一次洗确实洗出了很多也结石,洗完牙很酸酸凉凉的,口气变淡了。医生建议半年洗一次。我当时还答应了。
可是洗完之后吃东西发现特别容易夹牙,肉啊、蔬菜啊,都夹在牙缝里很难受。特别是吃肉的时候,刚吃就夹在牙缝里面了,又不能及时清理,特别影响吃东西的心情,我又是个特别喜欢吃肉的人。现在已经两年了,再也没有洗过,吃完饭还要及时用牙线清理牙齿,真的特别闹心。有点后悔洗牙,我真的不适合做个精致的人。[捂脸][捂脸][捂脸]
2023-02-05 23:41:43 -
洗牙是健康的,我一个牙医朋友告诉我(正经牙医)洗牙好比人洗澡,如果你从来洗过牙,你还抽烟、喝酒、喝茶,可以尝试洗一次试试,当清出来的牙渍和结石,会让你惊讶的,因为单凭刷牙是根本刷不掉的,即使你一天刷三次。所以为了幸福快乐的生活,定期洗牙,保持牙齿健康是非常有必要的。



2023-02-02 12:01:23 -
我也洗过一次牙,结果让我吃了一惊。我洗牙的目标不是美白牙齿,只是去掉牙结石。洗过牙后,牙有点酸,不能咬硬物,等到过几天能刷牙的时候,发现了一个奇怪的现象,就是刷牙不出血了,这让我很惊讶。以前每次刷牙,牙龈都有出血现象,现在牙膏泡沫是白白的,我都感觉有点不可思议了,原来洗牙还有这个作用,竟然让我有点小惊喜。
2023-02-17 22:53:22 -
如果你从20岁开始,每年坚持洗牙,早晚刷牙,那么洗牙真的可以帮助你。
但如果你到四五十岁才第一次洗牙,那么接下来你大概率会经历\"补牙-拔牙-种牙”的经典流程,而你口中每颗烂掉的牙齿,都需要花费上千甚至上万块钱,那么你绝对会认为,这就是牙医杜撰的骗局。
那么事实的真相到底是什么呢?让我们从洗牙最基本的操作说起。
洗牙的步骤
一个标准的洗牙流程,从你躺到牙椅,牙医姐姐对你微笑开始。当你露出牙齿后,依稀可以判断出午餐刚刚吃了什么。不过担心,很快你的牙齿就会变得”干净如初”。
把残余的菜叶子挑掉后,牙医姐姐会拿出一个金属钩子,给你的牙齿来个表层清洁。
大致清理一遍后,你的牙齿看上去干干净净的。当然,这只是表象,那些难以去除的牙结石,往往堆积在牙齿内侧。
这时就轮到超声波洗牙器上场了,利用超声波高频率的震荡,水波可以轻易击碎牙结石。
这一步结束后,你的口腔里都是掉落的陈年老垢,漱口后你就可以看到它们了。
有人可能会觉得,有牙结石也没什么影响,反而是洗牙会让牙缝越来越大。但其实,牙结石对牙齿的伤害值很高,当它还是牙菌斑的时候,就可以导致龋齿及各种牙周病;等它长成牙结石了,更是容易吸收大量细菌,导致牙齿炎症、牙龈萎缩。
牙龈萎缩其实就是导致牙缝变大的根本原因,洗牙之后牙结石被去除,发炎的牙肉不再松胀,自然牙缝问题也就暴露出来了。
而且在洗牙的过程中,也可以发现一些已经存在的口腔问题,这也是为什么很多人在洗牙后,会经历”补牙-拔牙-种牙“等一系列流程,究其根本,其实是牙齿问题早已存在,只不过是洗牙的时候被发现罢了。
这时候不解决,等到牙疼发作时,已经是无可挽回的地步了。
洗牙可以美白牙齿吗
很多人认为,洗牙可以让牙齿变白,这其实是个误区。
正常的牙齿颜色是白
里偏黄,因为牙本质是淡黄色的,而牙齿表层的牙釉质偏白色,所以牙釉质的厚度不同,牙齿的颜色也就不同。
除此之外,色素沉积、口腔卫生等多种因素,也会影响牙齿的颜色,比如喜欢抽烟喝酒的人,牙齿就容易变黄变灰。
但洗牙并不会影响牙釉质,因此也就无法帮助牙齿美白。如果你想要通过洗牙来让牙齿变白,可能要失望了。
2023-04-14 16:25:39 -
我亲身经历,现在非常后悔!好几年前,我也是听人说要每年去洗牙,第一次洗完,感觉牙齿真的白了好多,干净舒坦,我就听医生的,每半年洗一次,第三次开始就会经常牙龈出血,后面也就是第四次医生说有牙垢,平时刷牙不干净,又给我洗了还开了药,接下来我我不知道什么时候开始,每天早上起来满口都是血水,久了之后嘴巴里都是一股的血腥味,轻轻刷牙血就出来了,咬一口香蕉也留下血印
2023-02-11 21:50:58 -
我洗过,作为女人,有牙结石确实挺丢人的,但我还是要告诉大家,洗牙不是坏事。
我没洗牙齿之前,牙齿也有发黄发黑的牙结石,鼓起勇气去大医院的牙科,花了300多元自费洗过一次。
洗牙过程并不美好,但是去洗牙是对的,从那次洗过以后,我的牙齿到现在都没有牙结石了。
说来也奇怪,我没洗牙之前也天天刷牙,但还是有牙结石,我并没有抽烟的习惯,只是青春期的时候,晚上没有刷牙的习惯。
我是一直到了出社会工作几年后,才有晚上也刷牙的习惯,但那时候已经有一点牙结石了,可能是我刷牙不勤快才会有牙结石的。
我去洗牙的时候,医生说我是不是从来不刷牙的,我无语了,我告诉他,我每天都刷牙的,医生说我这么大个人连牙都不会刷。
他告诉我,只有常年爱抽烟的男人才会像我的牙结石这么多,当时被他说的我觉得好丢脸,好想找个地洞钻进去。
洗牙时会出少量的血,可能是牙结石深入牙龈了,洗的时候多多少少会出血的,一点点痛,还能接受吧。
我洗时是两个年轻的医生互相合作一起帮我洗,洗得很快,大概20分钟以内就帮我洗完了。
洗完后感觉口气都清新了好多,医生要我得重新学习正确的刷牙姿势,我直应说好的。
其实我知道,应该不是我不会刷牙的问题,而是我之前晚上没刷牙才会有牙洁石的,我哪里有空和他们解释那么多。
洗牙还是很好的,之前没洗之前,我久了不说话会有口气,经常在包里放瓶喷雾才行,洗完以后,感觉口腔特别舒服。
回到家后,我特意拿镜子360°的照我的牙齿,特别干净整洁,那天别提有多高兴了。
现在洗牙过去有差不多5年了吧,牙齿没有了牙结石,也不用去洗,感觉洗牙是我做过最正确的决定。
很多人说洗牙不好,洗了牙,牙齿松动,牙缝变大了,敏感,这个和个人的牙齿有关系吧,我反正觉得挺好的。
如果你们有很重的牙结石建议去洗掉,不要留着以为是保护牙齿,不然牙结石会越积越多,对牙齿的健康伤害性很大。
不要说洗牙是骗局,其实洗掉牙齿一些黑乎乎的牙结石,是为牙齿的健康着想。
我觉得美牙才像骗局,说一个真实的例子。
我在美容院做合作美甲师时期,美容院和美牙有合作,美牙师有顾客就会到我们美容院来。
美牙真的不便宜,随便补个牙缝、牙齿、美白,这些项目中,最便宜的是补牙缝,起步价800元。
美白牙齿安颗算,一颗几百元,太贵了,美牙师是真的挣钱啊!
有一位常年在店里开卡做美容的工厂老板娘,她做了美白牙齿,当天是挺好的,第二天就裂了一小块。
因为价格也不便宜,她来店里就有点闹腾了,美牙师看了后说,她肯定回去吃硬的东西了,顾客说,刚做的,回家就敢吃了个汤粉而已。
美牙师给顾客重新弄了,补好了后和顾客说,下一次再坏就得花钱补了,顾客听了气得不轻,说早知道这样就不做了,花这么多钱连吃东西都不能吃了,感觉自己被骗了。
我感觉美牙真的有点像整容一样,要一直花钱护理才能安然无恙,女人爱美都是要付出代价的。
相比美牙,我觉得洗牙就像是护理,挺正常的,有需求的人真的可以去洗洗,但洗牙真的不能洗多了,洗勤了。
洗过牙后,一定要好好护理了,重视牙齿的健康问题,现在去看一次牙比生一次病花费还要高很多,而且牙疼不是病,疼起来要命。
祝大家都能有一口健康的好牙,美不美都不是最重要的,牙齿健康才是最重要的。
2023-02-09 19:58:02 -
我没洗过牙,我好几个同事洗过。
前几年一个爱美的同事洗过一次牙,回来给我们安利洗牙有多好,说洗过牙后吃饭不塞牙了,口气清新了,牙白了。说的我们都很心动。但是当时因为疫情,其他同事也没敢去洗。今年面前那个洗牙的牙科诊所搞活动,洗一次不到一百块钱,我几个同事心动了,约着我去。我因为牙受过伤,冷风一吹受伤的那颗牙就隐隐的疼,我就不想冬天洗。我同事就自己去了。
洗完牙后,她悄悄告诉我,让我不要去了。说洗牙的时候可难受了,她是冲一下吐一口,洗了好几个小时。洗完后感觉牙就跟漏风是的,整个嘴里都冷飕飕的,还酸痛,一咀嚼就疼。现在都一个月了,还是不舒服。该塞牙还是塞牙,牙也没想象的那么白。口气到是比以前清新点了,但比起牙酸痛来,这点好处不值一提。
因为我俩关系好,她还悄悄告诉我,洗了牙只有在朋友圈宣传才会有优惠。如果能再推荐去洗牙达到一定的量,会免费去保养一次牙齿。
2023-02-03 08:32:13 -
我觉得洗牙不是骗局,主要还是根据自己牙齿的情况来看。
我洗过5次牙,一般医生会建议半年洗一次,我没有洗那么勤,基本上是两年一次吧。
尤其是第一次洗牙,感觉还是很奇特的,效果还是很明显的。可以感受到设备一点点触碰到牙龈的位置,发出呲呲呲的声音,可以感受到牙齿上的牙垢掉下来,因为喷着水,洗一会就漱一次口,可以看到吐出来的结石和血水,还是很带感的。
在洗牙的过程中最大的感觉就是酸爽,个别敏感的牙齿会有酸酸的感觉,并伴有牙龈出血,虽然过程略微难受,但是洗完牙之后,牙结石清理干净之后,会有明显的牙齿变白。当时还没有抛光的步骤,所以洗完牙之后,舔牙齿会有明显涩涩的感觉,个别牙齿也会有酸感,大概过几天之后,这种感觉就会消失,没有其他不适感。
除却第一次洗牙,之后的洗牙只会有少量的牙结石,而且随着年龄的增长,洗牙不会让牙齿有明显的变白了。
2023-03-20 12:38:52 -
不是骗局。洗牙是一种常见的口腔卫生保健行为,旨在清除牙齿表面和牙龈边缘的牙菌斑和牙石,预防口腔疾病的发生和进一步发展。
经常进行洗牙可以有效地减少龋齿、牙周炎和牙龈出血等问题的发生率,而且还能帮助保持口气清新和美观。
虽然洗牙的费用可能因地区和医生而异,但它是一项值得投资的健康支出。如果您有任何疑虑或担忧,建议咨询您的牙科医生并了解更多相关信息。
2023-04-11 08:34:01 -
妹妹和妹夫都是牙医,经常普及牙齿知识,也了解一点,洗牙不是骗局,一般人半年到一年洗牙一次,可以去除牙石,预防牙龈萎缩,还可以在洗牙过程中顺便检查一下牙齿问题。小问题可以及时得到处理。不会等到牙疼得不行才去找牙医看。智齿没什么用,尽量早点拔,有些智齿长歪了,还会影响前面的牙齿。
推荐使用牙线,我在京东购买的小鹿妈妈的牙线,每天吃完饭用牙线再漱口刷牙,可以清除牙缝残渣,不要用牙签。不是打广告,自己一直在用。
2023-02-05 11:47:55 -
不是。洗牙通俗的讲跟自己的水杯一样,光洁如新,清澈透亮。还是口腔疾病的检查。
2023-02-02 14:33:15 -
我觉得不是骗局,洗牙对牙齿的保健很有作用,如果长期不洗牙齿,会产生很多牙垢,光靠刷牙是去不掉的。但是洗牙后,有时会产生好多副作用,轻的表现为几天内牙齿酸软,不能咬硬东西;重的好长时间都会疼痛,个别的还会有神经疼。但是我个人的经验是洗牙后出现的一些问题都与洗牙医生的水平关系很大。
2017年前后由于牙疼、种植牙齿时总共洗过3次。第一次看牙病,是一个年龄40多岁的副主任医师顺手给我洗的,手法熟练,而且很轻,没有感觉到疼痛,洗完后也没有不适。第二次是种植牙齿前半年洗的,当时是一个女护士洗的,洗完后两三天内都有酸軟的感觉。第三次是种植牙齿时有一个刚刚参加工作的男护士洗的,洗的时候就特别不舒服,甚至还很疼,我给他说轻一点,我感觉很疼,他当时还嘲笑我,说洗的个牙有多疼?坚持一下!我就硬坚持着洗完了。
可是,洗完后好长时间牙齿酸软,疼痛,不能吃东西,不能咬硬东西,受不住还去医院找了牙医治疗。牙医说伤了神经。
自此后我再也不敢洗牙了,以至于后来种植牙齿必须要洗牙时,我只洗了种植的这半边的牙。现在已经过去了6年了,想起来我还是心有余悸,也许我这辈子都不敢洗牙了。
2023-02-04 17:53:18 -
刷牙不够,还要洗牙?洗牙一次不行,还要定期?一年一次?半年一次?三个月一次?我这一口纯天然无污染的大白牙有这个必要吗?牙缝越洗越大,还让我来?!既然大家心里都有这样的疑惑,那么今天……今天就来跟大家好好唠一唠,口腔医生建议大家定期洗牙的背后,到底隐藏了什么见不得人的秘密。
为什么要洗牙?
老百姓所说的洗牙,在口腔领域也叫龈上洁治术,就是利用专业的器械通过一系列操作清除牙齿上的结石、菌斑和色素等等。即便是洗牙,也不能够一劳永逸!所以,如果你不想一张嘴就口气惊人,不想你的牙齿英年早掉,还是要坚持每年至少洗一次牙!至于洗完牙,牙缝变大……这无疑是个世纪大误会!洗完牙之所以会让你感觉牙缝变大,那是因为一直沉积在你牙齿周围、试图与你牙齿共存亡的牙结石被咱们的牙医干掉了!说到底,牙医能有什么坏心思呢?他只是想让你的牙齿更健康一点,能跟你走的更长远一点!毕竟咱们还希望各位到80岁嘴里还有20颗能正常咀嚼食物的牙呢!
最后再敲一次重点
定期洗牙不仅洗掉牙面上的菌斑和色素,让你的牙齿更美观,更重要是能够去除牙结石、延缓新的牙结石生成速度、预防牙周病,让你的牙齿更加健康!定期洗牙还能够顺便做一回口腔检查哦~
2023-02-06 09:23:45 -
洗牙是最辛苦和最不赚钱的,我牙医朋友告诉我最不愿意做的就是洗牙,特别是那种不讲究卫生的,牙结石非常多,又臭又难洗,洗完了腰酸背痛的。但是定期洗牙可以预防牙周病,也可以及时发现牙病。说洗了牙牙缝大的和反应大的是洗晚了,牙结石太多把牙缝撑大了,牙龈萎缩了,牙根暴露在外面肯定反应大。如果不洗的话,牙缝会越来越大,牙龈萎缩得更多,然后牙就慢慢摇晃啦!
2023-02-10 23:41:13 -
我从2015年开始基本上每年洗牙一次 ,每次300元,多数是在医院进行的,很多医院业务不熟练,牙的露出部位基本洗干净,但根部基本没有洗,洗的时候发酸。去年我去了一个私人诊所,洗牙医生的技术很好,把根部洗干净了,还便宜,只要120元,但没有刷医保,为保护牙齿,定期洗牙很有必要。
保护牙齿需要做到:餐后漱口,清理口腔,这个很重要;刷牙时间要够,手动刷牙,会存在刷牙时间短,如果用电动牙刷,就克服了这个问题,同时电动牙刷的振动频次高,一分钟高达6500次,刷牙的效果就比手动刷牙高多了。
2023-02-06 09:30:59 -
肯定不是骗局啊!我年轻的时候不好好刷牙后来刷牙就流血,甚至吃苹果或馒头之类的都流血。关键还有异味,自己在胳膊上舔一下就臭味难闻。洗牙后就真的不流血了,也没有异味了,但是因为牙龈被牙垢挤兑的没有生长好,造成了牙缝大,而且牙齿有点松动。现在每天坚持正确刷牙,两年没洗也没有异味。所以你要是坚持每天正确刷牙应该不用洗。如果不好好刷牙还是定期洗牙好一些。
2023-02-06 12:13:15 -
如果不伤到牙龈和牙质,应该没问题。
2023-04-11 06:39:39 -
看到这个问答,想起我又该去洗牙了,牙齿的问题几乎都是不可逆的,所以想要维持口腔健康,重在自我防御,日常的健康维护必不可少,认真刷牙是最基本的。但是大部分人日常刷牙并不能做到很规范,所以难免会有各种色素沉着,牙结石沉结。
洗牙(超声波洁治)重点是通过超声波的振动使牙结石崩解脱落,从而改善牙周状况。通过超声波洁治、打磨抛光、喷砂等方法,也可以让沉积在牙面上无法通过刷牙刷掉的色素脱落。
部分网友觉得洗牙会让牙缝变宽,其实是颠倒因果了,牙缝变宽是因为牙结石堆积,导致的牙龈萎缩后退,这个也基本是不可逆的,所以洁牙清除了牙结石后,原本牙结石占据的位置就变空了,牙龈很难再长上来。所以,让你牙缝变大的原因不是洁牙,是牙结石!
牙齿健康还是挺重要的,平时多注意保养,不然看牙医费时费钱
2023-04-09 21:35:40 -
就是骗局,洗牙后牙齿会动得厉害,然后脱落!最保险的办法是淡盐水漱口
2023-03-10 14:02:39 -
不是,我洗过,牙菌斑和牙结石确实洗掉了,口气清新好多,一开始有点不适应,但慢慢就习惯了。洗完后好几年没牙疼过,我两门牙中间有缝,还补了一下,好几年了也还好好的,一点看不出来,去体检医生都说我牙齿很干净,没有牙结石,现在都7年多了,洗牙一次保很久,也挺合算的,我五十四岁了!
2023-02-06 20:38:04 -
洗牙怎么是骗局呢?作为口腔专业毕业曾经做过牙医的我最了解内幕!
洗牙有两种方式:超声波洗牙和喷砂洗牙!超声波洗牙主要是通过超声震动把口腔内的牙结石清除掉,用于预防和治疗牙龈炎和牙周炎。喷砂洗牙比较适合经常喝浓茶抽烟引起牙齿有黑牙渍的情况!当然如果你二十多岁或三十多岁从没洗过牙,口腔内牙结石比较多,清洗过后你可能感觉会有牙缝变大,牙齿不舒服的情况!牙缝是变大了么?不是的,是因为把你牙缝里的结石给你清除了你会感觉空空的仿佛是牙缝变大了!过几天就适应了!牙齿不舒服的情况过几天适应就好了!一般经济比较好的人会注意口腔卫生的,他们会有定期洗牙检查牙齿的情况,张口说话的时候都会注意到他们的牙龈很健康!
2023-02-04 17:59:16 -
洗了两次之后就没有再洗,两次的感受天差地别,难怪网上对洗牙的槽点那么多,且褒贬不一!
第一次洗牙确实也是因为碰巧,之前就通过很多次洗牙,一方面没有勇气去尝试,另一方面主要还是舍不得钱。这次也是陪我妈去看呀!反正闲着也是闲着就寻思洗一次试试,毕竟每次照镜子牙齿上非常显眼的牙结石真的要命。关键最近一不小心还给抠掉了一块牙结石,老实说我以为是牙齿,但后来被牙医告知这就是牙结石,建议我洗牙!
那就洗呗,不洗不要紧,随着洗牙的机器在嘴巴里一顿操作,嘴巴里满嘴都是那种像从墙上捣下来的碎块一样感觉,吐出来的时候才感觉到自己的牙齿竟然能如此藏污纳垢,接着就是清洗牙缝,为什么要体洗牙缝,因为洗牙缝是真的疼,感觉就是把严丝合缝的牙齿洗出个间隙来,或者说本来是有缝隙的,但是被多少年的日积月累给填充满了一样。一下把它们清理掉,一下子就感觉自己的牙齿缝隙之间在漏风。
洗了好一会,终于结束了,老实说我照镜子并没有觉得牙齿变白,如果你是想要把牙齿洗白,那么奉劝你还是醒醒吧!不过那些累积的厚厚的牙结石倒确实给清理干净了。除此外还有几个感受,一个就是牙齿酸,另一个就是感觉牙齿漏风,吃东西的时候还会觉得牙齿敏感,太冷或者太热都会觉得牙齿不舒服。很多人都会在这段时间里后悔洗牙,甚至觉得洗牙把自己的牙齿给洗坏了。但是这样的时间一般只会持续几天,几天后会慢慢恢复。
就这样我觉得洗牙还是蛮好的,因为给我清除了牙结石,所以我觉得洗牙是值得的,我也不想反驳那些说牙结石不能洗,它是帮助你稳定牙齿,说自己的牙齿稳定就靠牙结石在撑着的,还有说牙结石洗后牙龈漏出来,牙龈容易出血的我也不想过多反驳。反正我觉得没有了牙结石,牙齿清爽很多,没有了牙结石对牙龈的影响,牙龈出血的问题也有改善。
此后满一年我又进行了第二次洗牙!这一次没有太多的牙结石,而且洗牙的感受明显比第一次要好很多,洗牙的疼痛远没有第一的十分之一。其实我也不知道是上一次洗得太狠还是这一次洗得太温柔,又或者说是因为上一次是第一次,牙结石多之类的所以才会比较疼。我问这一次给我洗牙的医生,他给我的回答是洗牙呀讲究手法和技巧,不要让洗牙的仪器冲到牙龈或者敏感的地方就不会那么疼了。这一次洗完之后牙齿的敏感期明显没有上次那么长,但是两次洗牙后出现了一个新的问题,我感觉我的牙齿更容易变脏,就是吃完东西后牙齿表面是会又黄黄的脏东西附着,刷牙也不能被清理干净。猜想可能是因为洗牙后牙齿就没有以前光滑了,一些污垢就更容易附着,所以如果不注意口腔卫生清洁牙齿的话,就更容易附着牙垢。
此后很长一段时间了我忘记了去洗牙!
为什么没有去洗?
两次洗牙的感受让我知道洗牙,洗牙业务行业里的人洗牙技术参差不齐。不可否认有的洗的好,也有的人技术不过关可能会对牙齿造成损害可能。再者我并不是不再去洗,只是想要间隔的时间长一些,目前牙齿的清洁做的尚可,没有太多的牙结石,我觉得还可以再等等。
是否建议你去洗呢?
我觉得人因人而异,有需要的人还是得去洗一洗,有口腔问题的人真的建议去洗洗一洗,然后把一些口腔问题一并处理一下,特别是有牙结石的人,我觉得洗洗还是很有必要的,能够避免很多牙齿健康问题。而对于那些牙齿健康的人洗牙的必要性可能不大,更没有必要频繁的洗牙。
还是那句话,没有必要跟风洗牙!确实有需要洗牙的也不要太过纠结洗牙对牙齿的损害,相对洗牙可能会让牙齿一段时间内变得敏感,保证牙齿的长久健康更为重要!一般认为:
1.牙周不健康者,刷牙出血、牙床肿胀等症状都属于牙周问题,有这些问题的人应该去找专业的牙医看诊;
2.矫正牙齿者,会戴上矫正牙齿的牙套,如果刷牙不仔细就会让牙菌斑滋生,更容易长出牙结石;
3.需要假牙镶复前需要进行洗牙及其他牙周治疗,健康的牙周情况可以保证假牙在镶复后正常使用。
4牙齿有色素沉着者,但发现自己的牙齿有黑点、牙结石以及色斑、色素沉着等,需要及时去医院进行洗牙治疗。
一般建议普通人每年洗一次,有牙周疾病的人3~6个月洗一次,也可以根据自身情况适当延长洗牙间隔时间。
2023-04-12 16:09:59 -
昨天去洗牙了,洗以前有不少结石,因为上一次洗牙是25年前,那时候洗牙还是小刀刮,现在都是超声波水枪了,有一点酸,但总体还是不难受的,价钱400块,比以前贵不少。确实干净很多。牙面有点茶垢也都洗掉了。很开心牙齿白白的,舌头接触牙齿有一点怪的感觉,相信几天以后就习惯了。洗牙很重要,差不多时间就要洗,刷牙是刷不掉牙结石的,照样会长。我抠下来过一片牙结石,很臭,这东西必须清除
2023-02-13 11:14:18 -
说是骗局倒不至于,但是不建议没洗过牙的人去洗牙,因为洗完牙确实有一堆不舒服的问题。
首先洗牙能让你的牙齿更干净,这点没错。但是为了这点干净,可能需要你做出点牺牲。
以自己的洗牙经历来说吧,大家自己评判。
18年底我在一个牙科诊所洗了我人生的第一次牙,当时出了不少血,也清理了许多牙垢,把牙的没在都清理的很干净,之后就出现了各种问题。
第一、因为把从小到大的牙垢都清理了,牙齿之间的缝隙就出来了,从此每次吃完饭,都需要剔牙,要不然非常难受,到目前为止,我依然在坚持剔牙。
第二、洗完牙后经常出现牙龈出血,每天刷牙基本都会出现,甚至有次自己咬是时,苹果上就有我的血色牙齿印。
第三、感觉自己会经常出现牙根疼,偶尔牙齿过敏。
以上是自己洗牙后的症状和各项麻烦,供各位打算洗牙的朋友参考。
2023-02-04 17:54:44 -
随着年龄的增长,时间长了,牙齿周围有很多残余的饭渣,会很硬刷牙都无法刷掉,久而久之就会形成牙结石,造成伤害,还会引起很多疾病,我当时吃苹果,咬一口苹果上面都会有血,牙龈出血,并且还会有牙根凹陷,有时候吃苹果都很尴尬(︶︿︶)=凸!不过洗牙要去正规的牙科,建议不要被忽悠了。
2023-02-02 16:03:38 -
洗过,就去年洗的。
前年体检,检查到口腔科时,医生仔细地看了我的牙齿,说道:\"你牙齿牙垢很厉害,最好去洗一下。\"我听了答应声\"好\",但未引起重视,检查后并未去洗。去年体检,检查牙齿时医生又说道:\"你的牙垢存积太多,去洗一下吧,时间长了会引得牙龈出血,牙齿松动!\"
一听会引起牙龈出血牙齿松动,我就重视起来了。因为我已去世的父亲原来牙齿不好,就是因为牙齿松动、经常疼痛而安了假牙。安了假牙之后好麻烦,吃饭之前要戴上,饭后要取下清洗,用开水浸泡好,吃东西也只能慢慢咀嚼,稍硬的不能吃,而且吃东西也感觉不到香。我怕以后也像我父亲那样要安假牙,于是体检不久便去社区医院洗了牙。
洗牙大概花了半个小时,医生从我牙齿里果然清理出很多牙垢,花了120元钱。洗后开始还有点不适应,牙齿有点酸疼,吃东西牙龈也有点疼。牙缝也变宽了,牙签可以伸进去。不过,随着时间的推移,这些症状都慢慢消失了,我现在感觉一切都正常。
至于洗牙是不是骗人的,我想应该不是。我体检的医院是市里的三甲医院,是单位定的大医院,医生都是有正规资质的,不会因为要骗我而两个医生都让我去洗牙。而且他们又没指定让我去哪里洗,我洗牙的社区医院在河东,与他们在河西的体检中心相隔十多里,与他们不可能有关联。所以我认为医生让洗牙是正常的对牙齿保养行为,不要多想了。
2023-02-06 16:14:00 -
我曾经洗过2次牙,感觉还可以。洗牙后的几天口腔很清爽,洗牙后给人感官上干净。
我觉得还可以吧!!!
2023-02-08 10:43:27 -
外国人很多从小就洗牙了,都没人说是骗局,你洗了一次就认为骗局了?你找的黑诊所吧?
2023-02-10 02:30:40 -
我洗过一次呀,因为有牙结石,牙医给我洗了,大约用了半个小时的时间。洗过的牙确实比以前白了,好看了。
牙医告诉我洗牙后的一两天有的患者会发生牙本质敏感症状,不能吃辛辣刺激性食物。不能吃太热或者太凉的食物,不用担心,一周左右就会好的。
洗牙后2周内,要避免进食颜色较重的食物,比如咖啡、酱油、可乐等,因为刚洗完的牙齿,很容易产生外源性着色。
我洗完牙,第一天有点酸酸的感觉。第三天就感觉两个牙缝之间有点漏风,感觉凉嗖嗖的。我又打电话咨询了给我洗牙的医生。她说我的牙有点敏感。就好像我原来穿了一件外套,现在把外套脱下来了,要适用一段时间。大约一个星期就会好的。如果到时候还不好,就让我再回去看看。一般问题不大。
一个星期以后,症状越来越轻。第十天的时候基本没有感觉了。
半个月以后那个医生又打电话回访了我,问我的牙齿怎么样了。要保持口腔卫生。洗牙可以一年洗一次。我挺感动的。那个牙医告诉我,她们的工作就是服务好每一个客户,并且为每一个客户做了详细的档案。关于牙齿的问题随时都可以咨询她。
2023-02-07 05:58:58 -
我洗过牙,真的是白遭罪!洗牙的时候,医生拿着一个电钻式的工具,在你的牙齿上或者牙缝隙间不停的打磨,把牙齿表面的结石打磨剔除掉。
这个过程牙齿除了有点酸,嘴巴张的有点累外,没有太大的不适。
不适来自洗牙后,吃饭牙齿酸的难受,喝凉的东西也会又酸又疼,这种情况持续了一个多月。
如果你以为,洗过的牙齿可以洁白漂亮几年的,那就大错特错了,我是每餐饭后都要漱口,早晚刷牙的人,结果,半年左右,我的牙齿就又恢复到洗牙之前的状态了,更过分的是,居然患上了牙菌斑,我以前是没有牙菌斑的,我现在照镜子就很烦恼,不知道怎么消除掉这个难看的牙菌斑!
所以,我觉得洗牙真的是智商税!完全没必要!
2023-02-06 12:36:37 -
这么巧,正好这两天,我想写一下我自己的牙齿保护经历,就被邀回答这个问题。
洗牙是骗局吗?我的回答当然是否定的。
前天,2月11号按预约到牙诊所,这家牙诊所是今年新换的,第一次去。当天不给洗牙,只给牙做体检,洗牙约下次。
首先给我所有的牙齿照了x光片,应该是牙医助理或护士做的,然后告诉我等一会儿牙医过来给我看。很快牙医进来,第一句话和我说,你的牙还不错,我想他是看了x光片吧,然后开始检查我的每一颗牙齿,他说确实不错,只是有一颗牙齿有一点松动,不过没太大关系。约好洗牙的时间,今天看牙医就完事了。
我今年六十七岁了,我的牙齿都是我自己的,没有假牙。
对于牙齿的保护,我应该是十多年前开始特别重视的,所谓牙齿保护,我所做的也就是1.每次刷牙认真仔细,同时要用冲牙器和牙线,冲牙器近三年开始用,是牙医建议的,牙线一直用。2.每半年洗一次牙,洗牙同时也就对牙齿做一下体检,发现问题及时修补。我五六年前也补过牙,都是洗牙时发现的,医生及时给补了,没有任何痛苦。
对于洗牙是骗局吗?我自己的经历给出了很好的回答。
我觉得洗牙太重要了,让我的牙齿更结实、更健康,发现问题及时修补,没有什么痛苦。有些人不洗牙,问题发现的晚,牙疼的要命,治疗起来特别痛苦。
我之所以特别重视牙齿保护,还是受到儿子的传授。他刚出国留学,把国外的一些好的东西、好的理念,不断的传授给我们,还督促我们接受。其中就有定期洗牙,用电动牙刷、用牙线,网购好送给我们。
洗牙刚开始我也不太接受,当时我有两颗牙有点问题,遇到冷热的东西有些不舒服,还隐隐疼痛,我去看牙医,说是牙龈萎缩引起的,这是不可逆的。医生也建议我洗牙,我就答应了。第一次洗牙有些难受,过了一周,特别舒服了,原来有问题的牙也没事了。从那以后,我就一直定期洗牙,真的觉得牙齿越来越好了,结实了。
每次洗牙都被医生表扬,你的牙保护的不错,这样坚持就好。我知道我是得益于定期洗牙。
有些人说洗牙之后,牙就出问题了,实际不是因为洗牙,而是因为太久不洗,洗一次积累的问题出现了。这时候就要医治好,坚持以后定期洗牙,牙齿就会更健康。
2023-02-18 07:00:34 -
洗过一次,感受非常不好,我以为的洗牙是洗白,结果去了才知道是洗牙结石,洗的过程有点不舒服,虽然洗出一些牙结石,但有一颗牙被洗缺了一小块,当时没什么感觉,过了一段时间发现这颗牙非常敏感,仔细看才发现被洗缺了,刚洗过的那两天舌头不适应,说话有点大舌头,以后应该也不会再洗了,好好刷牙吧!
2023-02-08 14:18:24 -
一旦洗牙,后面就要不停补牙了,你细品
2023-04-19 21:22:59 -
《良医救人,骗子害人》
从古至今,牙医在江湖里面是最黑的行当之一,暴利!他心要多黑(很)有多黑(很),它坑死(你)人不带偿命的。
2023-03-08 23:06:25 -
洗过很多次,差不多半年一次的频率
第一次的时候确实洗出很多牙结石,但随着洗牙的次数变多,明显的感觉牙缝大了,吃东西都容易塞。
其实这并不算什么骗局吧
从个人卫生角度来看,口腔卫生也是很重要的一步,只不过大多数人忽略了而已
凡是都有两面,当我们只看到坏的一面的时候,何不问问自己,好的一面是什么,为什么自己看不到?
2023-02-05 23:56:59 -
经常洗牙真的好吗?我年轻时没有想那么多,但是每年会去洗牙做清理口腔,牙缝隙越来越宽松,吃点儿东西就塞牙特别难受,不到六十岁第一颗门牙就开始断了,牙根在牙齿从牙龈处断掉了,自己从镜子里边看就是洗牙做清理时靠近牙床处有一道很深的缝隙,牙医不知用啥东西又给补上了,平时根本就不会注意到,短短几年时间陆续都断掉了。现在开始大牙也陆续断掉。我不知道是自己的牙有问题,还是当初洗牙做清理时留下来的后遗症。
2023-02-04 15:58:13 -
洗牙不是骗局,本人亲身体验过,洗掉了很多平时刷牙不可能刷掉的牙垢,洗牙的牙医都是戴着口罩为顾客服务,因为洗牙过程中口腔内污垢脱落时散发出的恶臭实在是难闻,洗牙相当于给口腔牙齿来一次彻底的大扫除,洗完后感觉口腔很清爽!
2023-02-14 20:11:25 -
说起来都是泪,就因为一次洗牙,我整整后悔了十年,并且也许会一直后悔下去。
十年前我从老公的牙医同学那里洗了次牙,当时我是因为去补牙,被他忽悠的顺便也洗了牙。
也许是小诊所卫生不达标,我的牙龈很快肿了起来,我去找他咨询,他说没事,顺手递给我一管丁硼软膏,说用这个刷牙就能消肿。
我用了半个月没啥效果,然后牙龈又开始出血,去医院看了看,医生给开了甲硝唑,吃了几天有了效果。但因为吃了以后引起了胃疼,我就擅自把药停了。
这个错误的决定让我到如今想起来都后悔,就因为这样拖延没有彻底治好,我的牙龈从此有了毛病。一直肿着,但不痛,现在是哪怕吃香蕉,吃馒头牙龈也会出血,给我造成了极大的困扰。
这十年来,我也断断续续的治疗过,但沒起什么作用,一般医生就会给开点甲硝唑,或者抗生素,但只能缓解,沒有根治。
前段时间看网上有朋友说用青盐炮附子粉刷牙管用,我也买了两盒,用了一个月了,对我没什么作用。
现在我一直为这个问题烦恼,奉劝想洗牙的友友们慎重,要洗一定去正规诊所。
2023-04-04 21:06:31