椎间盘突出,各椎间盘内见气体密度影是什么意思?
全部 1021
椎间盘突出,各椎间盘内见气体密度影是什么意思?
-
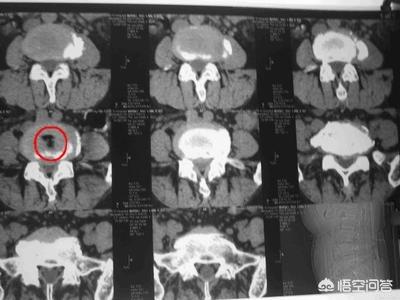
如果我猜的没错的话,你应该是做的腰椎间盘CT,在报告中这么写的,一般描述是椎间盘内可见气体密度影,在影像学上也叫椎间盘内真空征。

这是由于椎间盘内髓核脱水和变性,使髓核内积气的真空现象。椎间盘内气体的存在是一种变性征象,不表示出现这个就一定会发生腰椎间盘突出,当然也是可以同时发生腰椎间盘突出的!

一般来讲出现椎间盘内的积气,多数发生在年龄较大的人身上,或者长期从事重体力劳动的人,或者腰椎间盘突出较大的人,这是主要好发人群。
这个现象一般是不造成症状的,也就是即便腰椎间盘突出合并椎间盘内真空征,造成症状的主要因素要考虑腰椎间盘突出,而不是真空征。

不过出现这个影像,应该讲脊柱的退变是比较严重的,椎间盘的功能要变差,随之可能会出现椎间隙变窄,关节突关节退变等问题。
结语
总的来说,不必过于在意这个报告,如果有腰腿痛症状,也不考虑是它引起的,要考虑是否为腰椎间盘突出症,这个积气不必处理,也没什么好办法处理!
2018-09-01 16:53:18