我母亲牙齿已经掉了3颗,想去做种植牙,有什么需要准备的吗?现在还不影响吃东西?
全部 1014
我母亲牙齿已经掉了3颗,想去做种植牙,有什么需要准备的吗?现在还不影响吃东西?
-
牙齿脱落多久了?大部分牙齿脱落3个月后才能做种植。种植之前需要测血压、血糖、查血化验、拍cbct。有没有家族史,甲亢、心脏方面的疾病等需要向医生说清楚。有高血压 高血糖等控制在正常值再去医院。
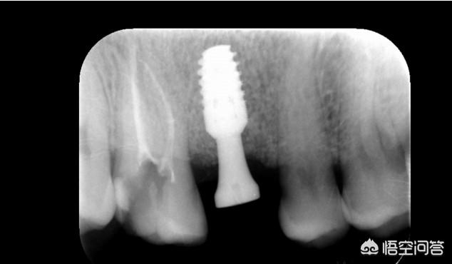
种植牙前期先给牙槽骨植入一颗植体,等植体和牙槽骨愈合后(大概3-6个月)再安装调试基台和牙冠。就算完成。期间可佩戴临时牙冠方便吃东西。

2019-04-03 17:07:40 -
术前应检查口腔,没有疾病炎症,清洁牙齿。牙齿应及早种植,是因为牙齿脱落导致好牙没有并排牙齿容易左右松动,加速其他牙齿的掉落,应尽快种植,Adin品牌的种植体术后恢复快,亲水性种植体,骨结合快。
2019-04-03 13:57:43 -
种植需要做8项检查,身体要过关的
2019-04-03 11:03:18