为什么整牙有的店需要拔牙,而别的店不需要拔牙?
全部 1012
为什么整牙有的店需要拔牙,而别的店不需要拔牙?
-
首先感谢你的信任!
关于正畸不管你用传统方法还是最新的隐形矫正,想要达到矫正目的首先是要获取间隙(牙齿本身稀疏除外)。

而获取间隙的方法无外乎是减数(拔牙)、减径(片切牙缝)、扩弓(扩展狭窄的牙弓)此外还有推磨牙向后。

具体采用何种方式获取间隙则需要正畸医生通过X光片测量诊断后才能制定方案。
正畸是一个专业而复杂的过程,一个正确的治疗方案需要综合考虑多种因素,诸如畸形分类、正畸方法、患者年龄等等。

临床常有不拔牙正畸的病例,结果把一类畸形矫治成另一类畸形。

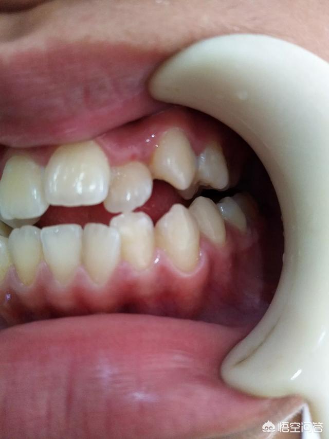
因为没有经过诊断,很抱歉这个问题无法给你提供建议和意见。如果描述能再详尽一些,并且附上牙齿咬合的照片也许才能帮到你。

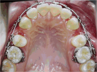
(图片来源于网络)
这里是执业牙医头条号:医界虫子 欢迎关注!
2018-08-29 23:03:38