牙疼是怎么回事?应该怎么办?
全部 1011
牙疼是怎么回事?应该怎么办?
-
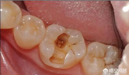
牙疼分为刺激性疼痛和自发性疼痛。

一、刺激性疼痛
刺激性疼痛是指牙齿受到物理或化学性刺激(如咬到硬物或遭遇酸甜冷热食物)而产生的一种过性疼痛。
一般情况下牙齿有龋齿、牙根暴露、牙齿磨耗、牙齿劈裂等等容易造成刺激性疼痛。
这类疼痛需要尽早找到病因对症治疗。

二、自发性疼痛。
自发性疼痛是牙齿或牙周有了炎症而产生的一种自发性持续性的疼痛。
典型的有牙髓炎、根尖周炎、牙槽脓肿、智齿冠周炎等。
根尖周炎和牙槽脓肿大多先经历牙髓炎阶段。牙髓炎症未及时治疗容易发展至根尖周炎形成牙槽脓肿。

牙髓炎是牙髓受细菌感染后产生变性、分解由固态液化,如果此时牙髓腔还处于封闭状态由于液体的体积要大于固体因此在髓腔内产生压力压迫神经产生局部或放射性疼痛。(下颌牙发射至耳根一带,上颌牙放射至颞部太阳穴一带)。

不明原因的牙齿疼痛需要到口腔科进行检查治疗,自行服用消炎止痛类药物只能暂时控制炎症,治标不治本,反而会延误治疗。

以上内容希望能帮到您!这里是执业牙医头条号:医界虫子 欢迎关注!
2018-08-28 14:59:22