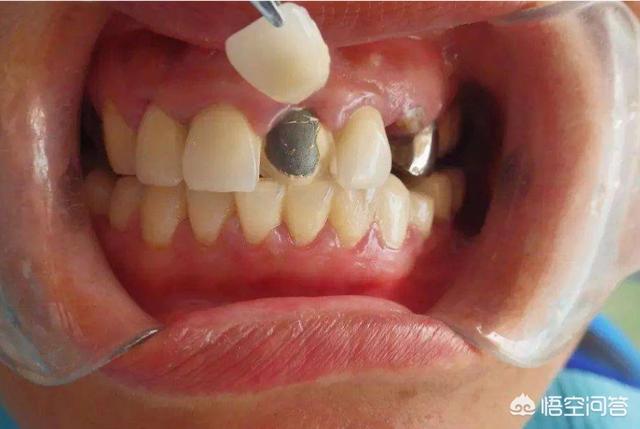
烤瓷牙上的瓷脱落了,牙龈有点红肿,该怎么缓解呢?

新农商网 全部 1014

烤瓷牙上的瓷脱落了,牙龈有点红肿,该怎么缓解呢?

回复

共1条回复 我来回复
  • 在线心理剖析
    在线心理剖析
    这个人很懒,什么都没有留下~
    评论

    烤瓷牙又叫金属烤瓷牙。是由内层的金属冠和瓷粉烧结而成。


    造成烤瓷牙崩瓷的原因很多,其中包括不合理的设计,烤瓷牙本身的质量,医生备牙规范与否以及牙齿是否受到暴力撞击等等。

    烤瓷牙瓷层一旦崩裂就无法在口内进行修补,只有拆除重新制作。


    装上烤瓷牙后要尽量避免咬太硬的食物,有时不小心咬到太硬的骨头、砂粒之类的东西很容易造成烤瓷牙损坏,同时有可能伤及牙龈。



    建议题主到口腔科把崩瓷的烤瓷牙拆除重新制作,也可以选择更高档次更耐用的二氧化锆系列假牙。

    (图片来源于网络)

    2018-08-08 19:17:10 0条评论