牙齿有缝隙,吃饭总是塞牙缝,怎么办?
牙齿有缝隙,吃饭总是塞牙缝,怎么办?
-
谢谢邀请!
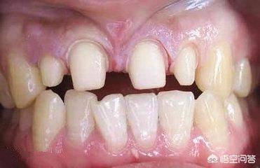
牙齿有缝隙,吃饭老塞牙确实很烦恼,随身总得带上牙线或牙签,严重的甚至吃饭到一半就得停下来剔牙。

塞牙分为横向嵌塞和垂直嵌塞。
横向嵌塞是指食物残渣受到挤压后横向进入两牙之间靠近龈端的夹缝里。容易横向嵌塞的牙齿基本都存在牙龈乳头萎缩现象。(相邻牙齿之间牙龈的突起部分叫牙龈乳头)牙龈乳头的萎缩往往由龈乳头炎或慢性牙周炎造成。牙龈的损伤是不可逆的,经常使用牙签也会使牙龈乳头创伤萎缩。

垂直嵌塞是食物(特别是粗纤维类食物)受到对合牙的冲击力直接楔入牙缝中。造成牙齿垂直嵌塞的原因较多,相对横向嵌塞垂直嵌塞更令人胀痛难忍。有时候两颗牙排列得很紧密几乎没有缝隙,却仍然会塞牙,这是为什么呢?具体可以关注医界虫子,我有一篇文章专门讨论了这个问题。

我们都认为塞牙是因为牙齿有缝隙,实际上自然稀疏的牙齿反而不容易塞牙。大部分塞牙是因为有病态的牙缝存在。病态的牙缝包括前文提到的龈乳头萎缩,不良修复体,邻面龋坏,牙齿移位等等。只有消除这类病态的牙缝才能解决食物嵌塞的问题。


牙龈乳头萎缩造成的牙缝无法逆转,如果嵌塞严重可以在控制好牙龈牙周炎症的情况下采用套冠修复;不良修复体造成的食物嵌塞必须拆除重新制作;有牙齿缺失及时修复以免造成牙齿移位;龋齿也要及时修补;同时注意口腔卫生,剔牙使用牙线尽量不使用牙签。
以上希望对您有所帮助!
2018-05-21 17:14:50 -
老于说口腔,听真人真事,学真知真招!
牙齿有缝隙,您要先弄清楚,牙缝是怎么形成的,才能“对症下药”。
造成牙齿出现缝隙的原因有很多,接下来,我将针对每个原因,提出对应措施。可对号入座:

首先,生理性牙缝过大。多见于门牙,门牙牙缝过大部分是因为唇系带附离太低造成的,可以通过牙齿矫正,是牙齿慢慢移动到正常整齐的位置,来缩小牙缝。
其次,牙齿排列畸形成缝。如果是因为牙齿排列畸形形成的缝隙,建议可以做烤瓷牙冠或者选用正畸治疗。

再次,牙签剔出的牙缝。很多人在饭后习惯性用牙签剔牙,这种方式很容易把牙缝掏松,使牙缝越来越大。建议用牙线代替牙签,牙线比较柔软刚好通过牙齿的生理缝隙,不会对牙齿有伤害,清洁也比较彻底。

最后,牙龈萎缩造成的牙缝增大。牙缝间充满了牙龈组织,医学上又称牙龈乳头,牙龈乳头很容易发炎出血。每次的发炎出血都会降低牙龈乳头的高度,次数越来越多,牙缝就越来越大。建议增强口腔卫生清洁,通过洗牙和局部上药来改善症状。
其中,最后一种情况是比较常见,也是中老年人塞牙的最主要原因。

牙缝变大会造成食物嵌塞,二者还是相互影响的关系。食物嵌塞反向对牙齿还有这很多潜在的危害。
第一、食物嵌塞是导致牙周组织被破坏和发炎的常见原因之一。首先,塞在牙缝里的食物会刺激牙龈乳头;其次,食物表面容易有细菌聚集,并在局部繁殖,形成菌斑,加重牙龈组织的炎症。
第二、食物嵌塞会引起牙周炎。主要表现为牙龈退缩、脓肿、口臭,最终引起牙齿松动,甚至脱落。还会加重牙齿局部龋坏,使食物更容易嵌塞,形成恶性循环。
老于提醒:明确牙缝是怎么形成的,了解塞牙的危害有多大。之后,在遇到这种情况一定要先辨别原因,做到对症下药!
关注口腔老于,听诊室故事,学护牙真知,让更多人关注中老年口腔!
2018-05-21 15:42:02 -
牙缝隙过大有两种方法可行
1.仿生牙冠
仿生牙冠采用数码口内空间设计,精准定制贴合牙齿的仿生牙冠,可快速矫正龅牙,牙列不齐,牙缝隙等畸形牙。
2.正畸
通过佩戴矫正器,在矫治器上施加合适的力度作用在牙齿上,让牙齿慢慢得移动到理想位置固定一段时间的一个过程。矫牙所需要的时间较长,但是也是解决畸形牙的最好方式。
2018-05-21 10:56:27 -
食物长期嵌塞于牙缝之中,牙齿在不知不觉中可能会出各种问题:
①邻面龋
牙齿邻面距离牙髓较近,病变进展较为迅速。发现的时候很多已经变成了深龋甚至是牙髓炎。
有些不严重的龋坏尚且能直接充填,补补牙就好了。但如果到牙髓炎的话,可能就得杀神经+做冠了,想想就疼。

②牙龈发炎
长期嵌塞在牙缝里面的食物,不去清理会成为口腔里各种细菌培养基。在你未留意的时光里,细菌们快速繁殖,一代又一代的,散发出迷之难闻的气味儿。
③牙周炎
牙龈发炎,还置之不理,不及时清理口腔卫生,慢慢的侵蚀到牙槽骨,
当牙槽骨不断地被吸收之后,你会悲剧地发现牙齿松动了,紧接着发现塞牙的症状更频繁,更严重了。这可是一个恶性循环啊!长此以往牙齿可能会提前下岗的哦。
如果是多颗牙齿缝隙大的情况可以考虑进行矫正治疗,如果是前面的牙齿有牙缝,牙齿相对来说比较整齐的情况可以考虑用贴面修复的方法关闭牙齿间隙哦。
2019-01-14 16:04:43 -
你好,主要是看那个地方,是智齿与第二磨牙之间,塞东西还是别的地方?如果是别的地方是因为牙齿有缺损,而导致塞东西还是因为牙周问题,导致塞东西。
标记的地方就是智齿去第二磨牙之间塞东西。这种问题可以选择直接拔出智齿从而彻底解决嵌塞食物问题!
牙周病导致嵌塞东西的问题,这个想要解决,第一如果年龄允许可以做正畸来解决,如果年纪稍微大点,可以通过做连冠修复解决。
像这种临面龋坏导致的问题,可以通过树脂修复或者是成人可选择做全冠修复解决 等
希望我的回答可以解决你的问题谢谢
2018-05-20 22:39:58 -
吃饭总塞牙缝,说明牙齿处在不健康的状态中,因为正常健康的牙齿排列整齐有序,不大可能出现经常塞牙的现象。
在回答这个问题之前,我们先看看牙缝大是什么原因:
缺牙
缺牙的位置不太可能塞牙,毕竟缺口比较大,但是,缺牙久了会造成两边的牙齿倾斜位移,就好比坐普通火车,本来是三个人连着的座位,结果有个人没来,相对来说两个人就能拥有三个人的位置,缝隙自然大了,牙齿也是一样,空间不变,牙变少了,牙缝越来越大,塞牙再所难免。
龋齿
也就是我们说的蛀牙。如果发生了邻面龋,也就是两个牙缝中间蛀了,那缝隙就会变大,也会导致塞牙。
智齿
大多数人的智齿位置都长不正,歪着长,斜着长,很容易就跟相邻的牙齿之间产生缝隙,还有就是智齿比较靠后,不容易清洁到,容易发生龋齿,这两种情况都会导致塞牙现象发生。
牙周炎
这可能是大多数人塞牙的主要原因了。
牙周炎往往会伴随着牙龈萎缩,牙齿之间由牙龈覆盖的间隙就会暴露,食物残渣很容易进去。
牙列不齐或天生牙齿稀疏
就是牙齿长得不整齐,或者天生牙齿比较小,牙缝比较大,容易卡主食物。
自己对照,看属于哪种问题,实在搞不清楚就去口腔医院让医生检查一下。
如果是缺牙造成的,尽快镶牙或者种牙,如果是智齿,果断拔掉就好,龋齿的话需要补牙,牙列不齐可能需要正畸医生帮你了,牙齿稀疏的话,正畸或者做牙齿贴面都是不错的选择。牙周炎除了平时做好口腔清洁工作,定期洗牙,看牙医之外,配合医生好好治疗吧!
2018-05-25 18:05:59 -
那就不要吃饭
2019-01-19 17:01:27 -
吃东西老是塞牙,说明牙齿之间缝隙比较大。
一种是天生的牙缝隙比较大。
一种是后天因为牙龈有问题造成的牙缝增大。比如牙龈炎牙周炎引起的牙龈退缩后就会造成牙缝变大。这种情况就需要及时去治疗控制。
塞牙的情况下,不要用牙签去剔牙。可以用牙线,饭后使用比较方便。有条件的可以用牙缝刷。
不要小看这个问题,因为临牙之间的地方很难刷干净,长久下去很容易造成龋齿。
一年去检查一次,然后洗一次牙,这个是很需要的。
2019-10-23 07:21:55 -
刷牙,牙线,洗牙
2019-05-27 21:40:04 -
1.把牙缝都塞满(没有地方可塞)
2.把牙都敲掉(没有牙缝)
3.少吃东西去,多喝水(没有塞得东西)
2019-10-22 14:40:15 -
牙缝过大,并不像很多朋友想象的那样,牙缝大就直接拿材料补上是不科学,不可取的。牙缝大,经常塞牙,一定要去医院进行口腔检查,看看是什么原因造成的,对症治疗,才能真正解决塞牙的问题。对于成人牙缝大的问题可采取隐形矫正和烤瓷牙的方式来修复牙缝过大的情况。平时尽量不要用牙签剔牙,这是对牙危害很大的,能不用就不用。
2017-11-27 13:48:54