为什么蛀牙表面看只有很小的问题,钻开后却发现问题很大?
全部 1011
为什么蛀牙表面看只有很小的问题,钻开后却发现问题很大?
-
口腔健康是一块偏冷的领域,阅读量太低。几千的点击量已经算高的了,关键是阅读的人连举手点个赞都不愿意,要知道我这也是无偿付出啊,(头条连几毛钱的收入都给我取消了)。

实在不忍心看它零落下去,还是我来填补这个空白吧。(发些牢骚看能不能蒙过机器?)
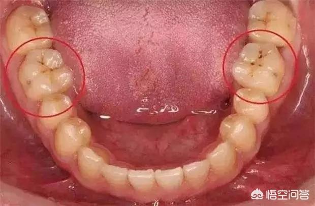
首先我们要了解牙齿的哪些部位容易产生蛀牙。容易产生蛀牙的地方按概率高低排列分别是牙齿的合面――邻接面――牙颈部――后牙的颊面沟以及前牙的舌面窝。

有时候我们看到一颗牙齿表面仅有一个黑点。平时只感觉冷、热、甜食刺激稍有些不适,并没有特别地疼痛过。可当牙医检查后告诉你这颗牙齿已经坏掉了之后你可千万别觉得诧异。往往外观只有一个小黑点而牙齿的内部已经腐坏不堪。

为什么会这样呢?很简单,外层牙釉质密度高呗!内层的牙本质密度相对较低更容易被侵蚀,因此蛀牙往往是外观看起来只有一点小问题,一个黑点或者一个小洞而内部却“豁然开朗”充满着腐败物质。

因为内部龋坏了,外层的釉质呈悬空状态,牙医必须把悬空部分以及内层腐质去除掉,然后才进行治疗和修补。许多人甚至会误以为是牙医为了赚钱把一颗好牙给钻坏了。这个误会一点都不美丽。因为治疗牙齿并不是按蛀牙牙洞的大小来收费的。

一句话就能说清楚的问题,搞了那么长,主要是想测试机器的性能。惭愧啊!
2018-05-23 22:40:24