牙周病为何不能自愈呢?
牙周病为何不能自愈呢?
-
牙周病为何不能自愈呢?
这个问题提得好!
牙周病可以说是我国人群中普遍存在的一种口腔疾病。牙周病是个世界性的难题,病因复杂,有遗传因素、环境因素和后天因素(如吸烟等)没有一个单一的因素能引起牙周病。

临床以微生物感染造成牙周炎症性出血,进而引起结缔组织和骨破坏为主要表现。牙周病造成的组织损害是不可逆的,如果不经过专业、系统的治疗非但不能自愈反而会愈发严重导致最后牙齿丧失支持松动脱落。

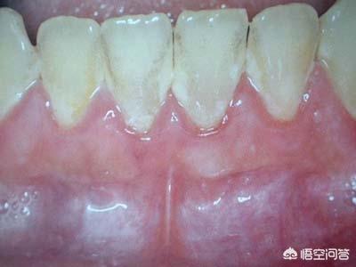
牙菌斑是牙周病的使动因子。对口腔卫生不重视,不正确的刷牙方法,不良的修复体等易造成牙菌斑堆积、钙化形成牙石长期刺激牙周组织引发牙周病。同时牙周病还是一些慢性消耗性疾病的并发症(如糖尿病)之一。

治疗牙周病从消除病因和减轻症状两方面入手。治疗手段分为
1,基础治疗:包括洁治、刮治、根面平整等。洁治是清洁牙齿的一种方法,用于去除牙面、龈缘和牙周袋内的牙石和菌斑;刮治是使用专业器具刮除牙周袋壁上的炎性肉芽组织;根面平整用于光滑根面,使得支持组织能够重新附着于根面。

2,手术治疗:顽固的牙周问题需要进行牙周手术治疗(牙周翻瓣手术)并配合药物治疗。经过上述治疗后,大多数患者的牙周炎症可得到消除,松动牙齿得以稳固。

3,修复治疗:牙周病的修复治疗主要包括调整创伤合、正畸疗法和牙周夹板固定等。是牙周病综合治疗的重要组成部分,牙周炎的修复治疗是在牙周基础治疗的基础上,通过修复学的方法来改善患牙的松动、移位及咀嚼无力等症状。其根本目的,就是要分散牙合力、消除创伤,建立协调的牙合关系;固定松动牙,修复缺失牙,控制病理性的松动移位,促进牙周病变组织的愈合,恢复咀嚼功能,改善全身健康。

关注头条号:医界虫子 新农商网里有许多相关的专业知识,无偿为你答疑解惑,欢迎私信咨询。
2018-06-25 11:58:54 -
牙周病目前只能控制住炎症,治疗时间可能要长达一至两年才能逐渐愈合,更别提什么自愈了,吃药最多能消炎止痛,但是致病菌依然存在,还会继续感染牙周组织,特别是牙槽骨吸收较为严重,想要更快治愈就得到口腔科做牙周手术,而且定期复查。

牙周病具体怎么治疗?
1、清除致病菌第一步牙周基础治疗,先超声波洗牙清除牙龈上的牙结石,如果牙齿松动就得牙周夹板固定,第二步再用刮治器刮除牙龈下的牙结石,最后清洗上药消毒。
2、像慢性牙周病还得测量牙周袋深度,可能得切掉部分受感染的肉芽组织,再将牙龈进行缝补,促进牙周组织愈合,另外得控制病理性牙齿松动移位,牙龈恢复一段时间后多按摩,增强牙龈组织抗病能力。

怎么辨别自己有牙周病?
1、牙齿明显松动甚至移位,而且牙缝会越来越大,很容易长牙结石,最直观嘴里呼出气体有难闻的口臭,或者咀嚼食物时没有什么力气,不敢咬太大力。
2、牙龈红肿程度比较严重,如果是牙龈炎,牙龈最多红红的,有时候刷牙可能会出血,但是牙周炎的话,肿胀可以看得出来,尤其是牙龈乳头经常有不适感,简单来说牙龈萎缩,牙根暴露强烈酸痛。

通过牙周手术切断致病源,并且定期去医院检查牙周,长期治疗直至牙周恢复健康。
欢迎关注【烧哥口腔社】,烧哥医生来回答你的牙周病问题!
2018-06-25 15:03:18