孩子六岁多,牙齿上出现了双排牙,怎么办?
孩子六岁多,牙齿上出现了双排牙,怎么办?
-
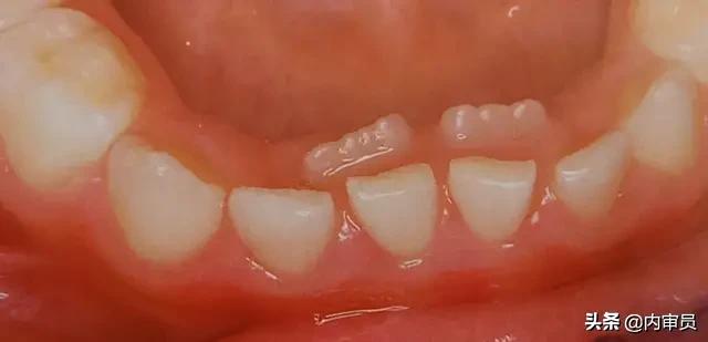
孩子六岁左右正处于替牙期,出现所谓的“双排牙”其实是恒压已经长出而乳牙尚未脱落形成的。

这种情况近年来非常普遍,或许是人类颌骨退化的一种表现。这跟我们人类所吃的食物进一步精细化,颌骨和牙齿缺乏功能锻炼有关。
我们发现类人猿和猩猩的颌骨特别发达,这就是最好的例证。

替牙期的孩子临床常常有两种极端的表现:一种是恒牙已经长出乳牙却未脱落。另一种却是乳牙因龋坏或过早拔除使乳牙早失。无论哪一种情况都会对恒牙的生长造成影响。

常有家长带孩子到医院拔牙,总是抱怨孩子没有及时摇动乳牙使其自然脱落。事实上如果颌骨发育跟不上即便及时拔除了乳牙,缺牙空隙容不下恒牙胚该长偏的还是会长偏。要知道恒牙的体积比乳牙要大得多。

说到这大家应该明白了出现“双层牙”是因为恒牙长偏了,而“长偏”的原因则是牙槽的骨量不够,或者说是“牙龄”和“骨龄”不合拍。(我其它答题文章都有详解,敬请关注。)
对于已经形成的“双层牙”怎么办?当然是要及时把对应的乳牙拔掉,避免造成乳牙滞留。

值得提醒的是:替牙期间恒牙有轻度的扭转、歪斜、牙缝过大等暂时性的错合现象请不要着急,只要牙槽位置足够,大部分是能自己调正过来的。

手机码字一气呵成,无偿奉献!不像某些专家,直接从外文杂志把答案翻译过来复制粘贴一下就成了原创。
如果您有收获请不吝点赞!
(图片来源于网络)
2018-08-17 02:22:38 -
为了避免遭受"拔牙之苦", 大家都想预防"双排牙”。 要预防“双排牙",我们首先要知道其病因。造成"双排牙”的原因是乳牙的牙根不能充分地吸收,恒牙萌出时乳牙就不能自行脱落。造成乳牙牙根不能彻底吸收的原因可分为先天因素和后天因素。先天因素多是因为颌骨相对狭小, 乳牙间没有缝隙甚至拥挤不齐, 由于恒牙比乳牙大( 特 别是前牙区), 恒牙牙胚在狭小的颌骨排列不下, 没有位于要替换的 乳牙下方, 常偏舌侧, 会造成乳牙牙根吸收不全, 乳牙不能自然脱落。先天因素造成的“双排牙"很难预防, 只能在发现后尽快带孩子到医院就诊, 由医生判断治疗方案。另一种是后天因素,现在孩子的饮食结构多数都过于精细,缺乏足够的咀嚼刺激,甚至在替牙初期牙齿松动时不敢碰这颗牙,造成乳牙牙根不能及时吸收,导致“双排牙”的局面。这种后天因素造成的“双排牙"是可以预防的。方法很简单,家长要注意给孩子的饮食不要过于精细, 不要将食物炖得过烂, 不要把水果都切成小块, 而是让孩子直接咀嚼进食, 要鼓励孩子使用牙齿进食坚果等较硬的食物。 这样做可以促进乳牙牙根的吸收, 促成其自然脱落。。
2019-07-24 22:26:00