肺癌早期能治愈吗?
肺癌早期能治愈吗?
-
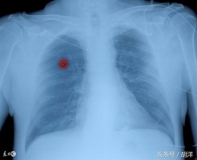
早期肺癌是可以根治的,将肺癌小结节切除就可以了,关键在于早期肺癌的发现比较困难,基本上早期肺癌没有症状,一般人不会想到要去医院检查一下。以下是一些需要去医院及时检查一下的症状体征。
这些小结节可以通过手术根治,再长大一些就是不能根治的肺癌
原创 胡洋·上海市肺科医院早期肺癌现在还没有一个明确的定义,一般来说只要能够通过手术根治的肺癌都是早期的,通常早期肺癌特别是其直径小于1cm的时候很少有特异性的表现,但如果有以下表现最好手术治疗。

肺上发现孤立的纯磨玻璃小结节
不管什么情况下比如体检或者检查其他疾病时做胸部CT发现肺部有孤立的磨玻璃小结节时要当心,这个小结节越大越危险,这时候可以不考虑年龄,性别,是否抽烟等情况,特别是发生于下肺,恶性的可能性很大。

咯了一口血
这种咯血不管量多少都应该当心,虽然早期肺癌基本上没有症状,但突然出现的痰中带血无论如何都应该做一下胸部CT,事实上我就曾经遇到过一个患者很年轻,晨起骑行时吐了一口血痰,检查发现肺部小肿块,目前手术已经3年多,没有任何异常。

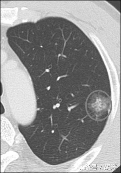
肺部发现内实外虚的小肿块
肿瘤的生长一般是一个点或者多个点先恶变然后向外生长,因此早期肺癌一般中间密度高,周围密度略低,或者说中间是点状的密实影子,周围是磨玻璃影,这种情况要当心,周围磨玻璃影越大,越有可能是恶性。

肺部有小太阳一样的结节影
肺癌一般来说呈渗透性生长,总有一些癌细胞会很快的长到正常细胞之间,并向前延伸,就像老巢周围有无数的触须,又像周围有很多霞光的太阳,另外肿瘤会分泌一些物质让周围血管自动长入肿块,也会形成这个表现,这种表现一般来说是肺癌的表现,需要特别当心。

有一些小结节不需要担心
钙化的小结节:带有钙化的小结节,复查后好久没有变化的一般不用担心,大部分是疤痕。
支气管扩张病灶周围散在的小结节:这种大部分是支气管扩张合并感染后导致的,是炎性小结节。
两肺多发但局限的小结节:两肺多发特别是双上肺,伴有纤维条索影的结节,一般不会是肺癌。
随访多年不变化的小结节:复查胸部CT多年不变化的小结节,一般不用担心,恶变的可能性比较小。
早期肺癌大部分没有特别特异性的表现,由于空气污染加重,现在肺癌和吸烟的关系越来越不明显,因此超过50岁的人群不管是否吸烟,最好每年做一次体检,而且要做胸部CT,普通的胸片一般很难发现早期肺癌。
2017-12-17 15:03:10 -
Health Talk特邀专家:
杨跃 北京胸外科学分会副主任委员、北京大学胸外儿科主任、党委副书记
早期的病人 他没有播散转移 就是病变在原发 在肺组织之内的话 我们做完手术以后 到目前为止 不管是国际还是我们国内 总体的情况早期的病人我们手术以后 五年以上的生存率能够达到91% 是相当高的
当然还有一部分 说为什么不能达到百分之百 是因为有些的疾病 它还是有它的特殊的因素 也就是它自身的一些遗传了 基因学等等 生物 这个细胞生物学的一些特性 所导致的这种细胞 它的顽固性 在他身体里头 仍然在复制着 仍然在复发着
还有一部分也就是我们现在 科学能够越来越发展向前的 能够知道有些疾病不是它 我们早诊了以后 早治了以后 它又复发转移了吗 不是 是它因为又另起了一个 因为咱们不能说这个人体没有肺组织了 那是不可能的 所以在其他的正常的肺组织 我们不太清楚 还没有发现它的原因 治这个病的时候 它在其他的肺组织 正常肺组织又逐渐地形成了新的肿瘤 也就是讲我们医学临床上说就叫第二原发性的肺癌
所以说到目前为止 还是以早期的发现疾病 一个手术 两个小时左右 就这一个治疗 可能我们去花一次这样的一个医疗费用以后 能够让病人长期地生存 同时 避免了这样那样一些副作用大的药物 或者物理性的治疗的 这样对病人的这样的一个全程的治疗了 所以早诊早治最重要
二十四年的 十八年 十六年 十二年的 都不同程度的 这样的病人应该讲 在我们这些已经做胸科手术三十多年的 这些老医生手里头比比皆是 所以说真正活得时间长的 确确实实早诊 早去接受肺癌的手术 一个治疗使病人长期的生存 同时改变他自己生活的一个习惯 让他有一个 培养他一个很好的良好一个生活习惯 和对待生活的一个乐观的这样的一个心情和氛围 所以避免了他再次二次得肺癌 或者再复发 再转移
2018-01-20 17:35:16 -
病灶直径小于2厘米的早IA期肺癌通过微创肺外科手术,术后五年生存率在90以上。如果是纯磨玻璃GGO病变,手术切除病理证实没有肺门和纵隔淋巴结转移,五年生存率则接近100%。所以强调中老年朋友要重视年度健康体检,肺癌高危人群至少要做一次胸部低剂量螺旋,有助于早期发现早期肺癌。而早I期肺癌通过外科手术可以达到临床治愈.
2017-07-14 11:03:13 -
肺癌早期可以完全治愈吗?
大众和医生对治愈的理解不一样;肺癌早期“完全”治愈很难,但可以做到临床治愈。
肺癌手术分为完全性切除、不完全性切除和不确定性切除。应力争完全性切除,以期达到完整地切除肿瘤,减少肿瘤转移和复发,并且进行精准的病理TNM分期,力争分子病理分型,指导术后综合治疗。一般来说,经过规范治疗,绝大部分早期肺癌患者经过手术完全切除是可以达到临床治愈的。 临床上,通常用五年生存率来判断治疗效果。0期肺癌是原位癌,经过手术切除,五年生存率可达100%。其中,五年生存率即代表生存五年以上的比例,也可以代表接近治愈的比例。Ⅰ期肺癌,肿瘤长径小于3cm,无淋巴结转移,无远处转移,为早期肺癌。目前资料显示,经过规范化治疗,ⅠA1期肺癌五年生存率为90%;ⅠA2期肺癌五年生存率为85%;ⅠA3期肺癌五年生存率为80%;ⅠB期肺癌五年生存率为73%。越早期的肺癌,其治疗效果越好,治愈可能性越大。因此,肺癌筛查显得尤为重要,在早期发现肺癌并进行规范化治疗,将可以得到更好的生存获益。
本内容由重庆大学附属肿瘤医院 肿瘤内科 主任医师 李代蓉审核
点这里,查看医生回答详情
2021-06-10 16:30:08 -
就目前而言没看到哪家医院宣布x癌得到了治愈。本患者对此是很关心的但得了控制确是很多的。其码不是谈癌色变的年代了,见到很多患者被确诊后情绪都是较平淡的,因为身边的人们患此病愈发多了起来,也亲厉患癌者与其一起工作生活,得了癌得到了控制就说明你前期治疗是有效的,剩余就要看自己如何针对自身的管控和积极的态度了,己经好了大多半就不要背上包袱去虐自心,坦荡大方乐观向上比药都好用
2017-07-31 22:06:30 -
肺癌早期可以完全治愈吗?
大众和医生对治愈的理解不一样;肺癌早期“完全”治愈很难,但可以做到临床治愈。
肺癌手术分为完全性切除、不完全性切除和不确定性切除。应力争完全性切除,以期达到完整地切除肿瘤,减少肿瘤转移和复发,并且进行精准的病理TNM分期,力争分子病理分型,指导术后综合治疗。一般来说,经过规范治疗,绝大部分早期肺癌患者经过手术完全切除是可以达到临床治愈的。 临床上,通常用五年生存率来判断治疗效果。0期肺癌是原位癌,经过手术切除,五年生存率可达100%。其中,五年生存率即代表生存五年以上的比例,也可以代表接近治愈的比例。Ⅰ期肺癌,肿瘤长径小于3cm,无淋巴结转移,无远处转移,为早期肺癌。目前资料显示,经过规范化治疗,ⅠA1期肺癌五年生存率为90%;ⅠA2期肺癌五年生存率为85%;ⅠA3期肺癌五年生存率为80%;ⅠB期肺癌五年生存率为73%。越早期的肺癌,其治疗效果越好,治愈可能性越大。因此,肺癌筛查显得尤为重要,在早期发现肺癌并进行规范化治疗,将可以得到更好的生存获益。
本内容由重庆大学附属肿瘤医院 肿瘤内科 主任医师 李代蓉审核
2021-06-10 16:30:08 -
哎呀呀,这个问题,笔者想比较自信的告诉你,早期肺癌可以治愈。然后顺便丢给你1篇文献作为举例,请接好。
这篇文中提到:成功的手术治疗是治愈的关键,小细胞未分化癌对化疗最敏感。手术前后的化疗, 对延长患者生存期极为重要, 本例患者在术后接受了 6 次化疗, 方案正确、剂量合理、疗效显著, 患者术后未发现新发或转移瘤灶 , 提示化疗对小细胞肺癌潜在转移病灶起到了有效的杀灭或抑制作用, 使其能成为休眠灶而被机体完全清除。
肺癌在临床上分成小细胞肺癌和非小细胞肺癌。肺癌治疗前一定要先诊断清楚疾病的分期,根据肿瘤的大小,有没有肺门、纵膈淋巴结转移,有没有肺外转移(比如脑转移、骨转移等),将肺癌分成Ⅰ期、Ⅱ期、Ⅲ期、Ⅳ期。ⅢA以前的非小细胞肺癌属于外科手术适应症,我们称为“临床可治愈的”肺癌。
目前的数据显示:病理证实的ⅠA期肺癌,通过外科手术切除肿瘤,其五年生存率将近100%。ⅠB期以后的生存率逐渐降低,Ⅱ期70-80%,ⅢA期40-50%。
对患者而言,笔者认为肺癌可以痊愈的关键是:
1:早期。多早呢?没有发生转移,肿瘤很集中。最好肿瘤即其他淋巴结能手术切除,其次是放疗能完全杀死所有肿瘤细胞。
2:手术做得好的医生。可以在术中清楚干净肿瘤和淋巴结。有些看起来没有转移的肺癌,手术看起来淋巴结没有转移,但是其实淋巴结中有癌细胞,就有复发的可能。
3:身体能经得起手术操作,没有其他影响手术成功的其他疾病或因素。
药事网权威解读,未经授权不得转载,抄袭必究。
2018-03-21 22:46:55 -
你好,谢邀。说到肺癌在这里借此机会向大家普及一下相关知识,肺癌是发生在支气管粘膜上皮的一种恶性疾病,在男女恶性疾病当中都是属于发病率较高的一种。因吸烟的习性其病男性患病率又多于女性。
该病早期在大多数患者身上都没有明显的症状或被某些症状掩盖错过检查,大多数患者在发现时就已经是中或中晚期患者了。
肺癌患者的症状与肿瘤的位置有关,如果肿瘤长在没有刺激性的地方早期的患者也就感觉不到什么不适。如正好长在影响到呼吸,咳嗽,吞咽,等相关神经血管传导处的地方,随着肿瘤的成长它对相关部位的压迫就会出现相关的非正常症状如咳嗽,气短,进食下咽不适等。
随着现代医学技术的发展有关治疗肺癌的方法和药物也有多种选择。但目前无论哪种选择那也是要根据患者的个人经济,体质的承受能力及肿瘤的大小等综合因素来决定。
要说早期性的肺癌治愈的希望还是蛮大的。癌症虽可怕但他也有一个缺点,那就是怕被早发现,早治疗。尤其是近几年有关治疗肺癌新研药物的上市,使肺癌患者治愈的希望更多更大。当然无论是治疗也好还是治愈也好,对大家来说这都属于被动性的。为了大家不因此而被动,大家还是应该去主动的做到每年做个相关方面的体检,和减少可能诱发此病发生的因素。那就是禁烟,限酒,保持所处环境空气新鲜,保持积极乐观的心态,适当的锻练身体,饮食有节荤素搭配,作息有律,劳逸结合。心情舒畅,身体健康。
2018-03-27 17:24:28 -
您好,早期肺癌,如果没有发生转移,患者身体本质能承受手术,积极配合治疗一般手术后的生存率在60%以上,手术后根据情况进行治疗,预防复发转移
2018-04-21 08:43:34 -
肺癌早期是能够治愈的。肺癌是一种肺部的恶性肿瘤。只要发现的早,肺部肿瘤的病灶还没有发生转移,而且病到还不是很大,那么是完全可以切除的。然后再进行相应的治疗,比如说放疗和化疗,还有中医治疗等等。
这些治疗手段,有可能一起发生作用,使患者不发生病灶转移。但也不是绝对的。
只要冰到不发生转移,患者一般能活好多年。所以说,每年都应该进行两次体检, 只有这样才能发现身体出现了什么问题。如果出现问题才能及时解决。
所以说肺癌早期是能够治愈的,但是治愈的几率并不是百分之百。
2018-03-11 15:12:19 -
肺癌早期可以治愈,越早发现治疗越有利,肺癌早期能活多久?早期手术5年生存率在70%以上,中医肿瘤专家张明表示,通过早期手术,肺癌早期患者的5年生存率在70%以上。
目前,肺癌患者发现肺癌主要通过两个途径:体检发现以及在呼吸科门诊就诊时发现。中医肿瘤专家张明遗憾地说,尽管肺癌的体检手段比以前有很大进步,但人们验出肺癌主要还是通过呼吸科门诊。据统计,北京地区大约只有20%的患者通过体检发现肺癌,仅两成患者经体检发现。
专家表示,对于肺癌的预防,关键在于早期发现。经过几十年的研究表明,很早期的肺癌可以没有任何症状,因此要早期发现,最好选择低剂量的螺旋CT,其有胸透和胸片无法比拟的高分辨率,可以发现4毫米的肺癌病灶。
据报道,日本是全世界肺癌早期检出率最高的国家,其运用低剂量的螺旋CT筛查肺癌,早期患者竟高达60%的比例。专家认为,如果能把此项检查作为肺癌的筛查手段,那将大大提高肺癌早期检出率。中医肿瘤专家张明说,如果肺部肿瘤在2厘米以下(最好是在1厘米以下)一般可以治愈。
专家们注意到一个严峻的事实———不抽烟的肺癌患者越来越多,特别是女性患者更为常见。与这个事实不谋而合的是,肺癌的类型也发生了较大变化。与吸烟有较大关系的肺鳞癌(发生在大气道上皮细胞)发生率下降了,而与吸烟关系不大的肺腺癌(发生于肺的分泌区)却上升了15%。
何建行认为,二手烟可能是不吸烟女性患肺癌的一个重要因素。另外,吸烟、接触汽车尾气、遭受大气污染以及接触氡气、石棉、滑石粉等致癌物质,其罹患肺癌的机会都要增高。
早期的肺癌能够用微创手术来治疗,据了解,北京胸外科去年胸腔镜手术大约是1200台左右,微创手术大概占了90%以上。在保证与传统开胸手术一样的效果的同时,微创手术使病人的伤口更小,出院更早,恢复更好(出院后可正常生活,衣食住行能自理)。
Tips:
高危人群要警惕
预防肺癌最简单的方法就是不吸烟或避免被动吸烟,正在吸烟也应尽早戒掉。这才是肺癌的一级预防。专家指出,以下四类人群是肺癌的高危人群,值得高度重视自己的“肺”。
(1) 重度吸烟者。医生们用“20年包”这个名词来定义重度吸烟者,20年包相当于每天吸烟一包并持续20年。
(2) 长期被二手烟侵袭的女性。
(3) 家族里有肺癌患者。
(4) 曾经患过肺结核病的患者。
2019-12-08 17:39:02 -
肺癌早期能治好吗?早期手术5年生存率在70%以上,专家表示,通过早期手术,肺癌早期患者的5年生存率在70%以上。早期肺癌我们一般来说可以说包括Ⅰ期和Ⅱ期,Ⅰ期也可以分为ⅠA期、ⅠB期,Ⅱ期也是分为ⅡA期和ⅡB期。
ⅠA期是最早期的肺癌,可以治愈,这个通过手术治疗以后,患者这个病就可以去根了,不会因为这个病导致他的生存时间的缩短,和健康人一样。
Ⅱ期大约五年生存率是在80%以上,换句话说就是80%的人有很大的概率被治好,有20%左右的人可能是在五年之内因为复发,或者是转移,他这个病又重新的威胁到生命,所以早期肺癌的预后还是不错的。
有很大的一部分患者能够通过积极的治疗,把这个病给它治好,去根,而有少部分的患者可能因为这个肿瘤它容易复发和转移,还需要做后续的巩固治疗,也能延长他的生存。目前,肺癌患者发现肺癌主要通过两个途径:体检发现以及在呼吸科门诊就诊时发现。中医肿瘤专家张明遗憾地说,尽管肺癌的体检手段比以前有很大进步,但人们验出肺癌主要还是通过呼吸科门诊。据统计,北京地区大约只有20%的患者通过体检发现肺癌。
专家表示,对于肺癌的预防,关键在于早期发现。经过几十年的研究表明,很早期的肺癌可以没有任何症状,因此要早期发现,最好选择低剂量的螺旋CT,其有胸透和胸片无法比拟的高分辨率,可以发现4毫米的肺癌病灶。
据报道,日本是全世界肺癌早期检出率最高的国家,其运用低剂量的螺旋CT筛查肺癌,早期患者竟高达60%的比例。专家认为,如果能把此项检查作为肺癌的筛查手段,那将大大提高肺癌早期检出率。中医肿瘤专家张明说,如果肺部肿瘤在2厘米以下(最好是在1厘米以下)一般可以治愈。
2019-12-08 17:38:25 -
如果能做到早检查、早诊断、早手术治疗,肺癌的5年无瘤生存率可达60%—90%。
2019-05-23 12:42:30 -
如果只是一个原发病灶,切了应该就没事了,具体还是要听医生的,前阵出过一个报道说是去日本治疗肺癌二十八万就可以,当时影响挺大的,你可以查查去。
2019-12-23 16:02:01 -
如果能做到早检查、早诊断、早手术治疗,肺癌的5年无瘤生存率可达60%—90%。
2019-05-23 12:42:30