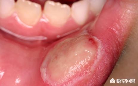
“口腔溃疡”是什么原因引起的?常年复发不得好,有什么办法治好溃疡吗?
“口腔溃疡”是什么原因引起的?常年复发不得好,有什么办法治好溃疡吗?
-
感谢邀请~由傲娇少女大鱼为你解答!!!
口腔溃疡是什么原因引起的如呢?
其实,引起口腔溃疡的原因有很多,如维生素匮乏、排便不畅、过渡疲劳、火大、口腔细菌、不注意口腔卫生等等,都是造成口腔溃疡的基本成因。

而导致口腔溃疡最直接的原因,跟这3个方面有关:
1、激素上升导致的上火 ;
2、身体抵抗力差,口腔细菌较多腐蚀牙龈(经常生小病的人,也更多的长口腔溃疡,身体缺少维他命)
3、熬夜缺少睡眠,内分泌失调,导致的口腔溃疡。

一旦口腔溃疡,基本就要忍受长达2周的折磨,又不想碰到创口,吃东西也影响食欲,刷牙不小心扯到简直是要了老命!

有什么办法治好溃疡吗?
1、用绿茶水刷牙
每天早上刷牙的时候,用的刷牙水改成了绿茶水,上火也是导致口腔溃疡的因素,所以漱口水选择败火的绿茶水或者是菊花茶水,刷牙前在嘴里含2分钟,之后再进行刷牙,特别是浓一些的茶水,可以很好的降火。

2、用杀菌的鼠尾草牙膏
得了口腔溃疡久久不好,还跟口腔细菌腐蚀有关,最好换用鼠尾草牙膏刷牙,植物成分,触碰伤口没有刺痛感,而且,鼠尾草植物还有杀菌的效果,帮助杀灭口腔细菌,减少腐蚀创口,刺激溃疡久久不好。

3、在创口涂抹蜂蜜
也可以用棉签将蜂蜜涂於溃疡面上,15分钟左右后,可咽下蜂蜜,再继续涂拭,一天可重复涂拭数遍。涂上去的时候有点酸爽,需要先忍一忍哈哈哈!

4、多吃猕猴桃
大家都知道,猕猴桃可是有着“水果之王”的称号,正含有大量的维生素C,能促进胶原蛋白和细胞间质合成,每天可以多吃几个,保证溃疡不找你!
2019-09-18 16:59:36 -
感谢邀请~下面由我来为大家解答这个问题。

“口腔溃疡”是什么原因引起的?
1、不爱喝水
我们的唾液之中有抑制细菌繁殖的酶,但是很多人由于紧张、压力大或者是不经常喝水,口腔比较的干燥,导致口腔内部的细菌滋生。

2、不爱刷牙
如果刷牙的次数比较比较少,尤其是在睡前不刷牙之后绝对是大忌,或许会导致食物残渣不能及时的去除,导致口腔之内的细菌进行繁殖,非常容易引起口腔的发炎,如果这种情况下不慎的咬破了口腔,患病的风险或许就会更大。

3、缺乏维生素或者是微量元素
如果人体缺乏维生素B12,很有可能会引起口腔溃疡反复发生的这一情况。同样,微量元素的铁和锌的含量不足其实也会导致这种情况的发生。

口腔溃疡常年复发不得好,有什么办法治好溃疡吗?
1、刷牙时要注意,牙刷要选择软毛的,牙膏尽量选择刺激性小温和的【鼠尾草碱性牙膏】,这类牙膏比较温和,没有化学成分刺激,可以减少口腔黏膜被刺激,溃疡也就会少复发。另外它含有植物杀菌消炎成分,溃疡快速愈合,也可以预防和控制口腔细菌滋生。

2、每天坚持用少许白糖涂抹在溃疡面2-3天,每天1—2次,这一方法可以起到消炎的作用,虽然效果不是非常明显,但什么事情都是需要坚持的嘛。

3、学会自我进行减压、缓解焦虑紧张等不良的情绪;均衡的饮食,可以保证我们身体的营养所需;加强自身的体育锻炼,提高自身的免疫力,保证身体可以有足够的能量去抵御病菌的侵害。
2019-09-18 20:14:03 -
感谢邀请~
引起口腔溃疡的原因主要是这4个,那个都别小瞧:
1、食物过敏
现在的生活对食物的选择越来越多,眼花缭乱,有时候吃了某种以前没有吃过的食物,饮料后会出现口腔溃疡,那么很有可能是这种食物导致的。

2、吸烟
吸烟者如果嘴里有小伤口,那么烟碱就会附着在破损处,影响口腔黏膜的修复,导致细菌繁殖加重口腔溃疡。
3、上火
上火造成口腔溃疡相信我们大多数人都知道。口腔溃疡总是会发生在我们吃一些辛辣刺激食物之后。所以说口腔溃疡就是由于我们饮食不注意一手造成的。

4、食用过多润喉片
天气干燥时,很多人会吃润喉片来缓解喉咙干痒。如果食用过多润喉片也会引起口腔溃疡,因为润喉片含有薄荷或碘等成分,它们对口腔黏膜有直接的刺激作用,就像硫酸对皮肤的化学刺激一样。
口腔溃疡平常该如何去预防?
在日常生活中,要多注意口腔卫生清洁,早晚用鼠尾草植物牙膏,鼠尾草又叫洋苏草,
通常用于处理口腔毛病,因为具有抑菌、消炎、凉血的作用。所富含的单宁酸等成分对口腔溃疡具有良好的效果,在印度等国家和地区把鼠尾草用于刷牙。

早期一些印度国家还将鼠尾草制成漱口水来漱口,不仅能减轻疼痛,还有清洁牙齿、舒解喉咙发炎和口腔溃疡等功效,日常坚持使用这类牙膏刷牙温和清洁保持口腔卫生,有效预防缓解口腔溃疡,预防口腔溃疡二次复发。

此外:一定要注意不能吃油炸的食物也不能吃巧克力喝咖啡等等,要注意的是饮食要均衡,要多吃些易消化的食物,这样才能让口腔溃疡好得更快。
以上就是我的经验分享,希望能帮助到你~
2019-09-12 11:09:37