牙齿冷光美白适合哪些人群,对牙齿有什么伤害?
全部 1011
牙齿冷光美白适合哪些人群,对牙齿有什么伤害?
-
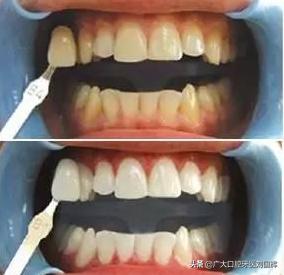
洁白的牙齿对人们的形象是加分项,所以大家都追求一口洁白的牙齿!
随着科技的发展,现在冷光美白技术能够美白各种内源性和外源性的异色牙齿,对于一些一般牙齿美白方法所无法处理的中重度四环素牙、氟斑牙也有明显的疗效。

以下这些人群,适合冷光美白技术:
1、外源性着色:日常饮食中带有色素的食物如:可乐、茶类、酱油等导致的牙齿着色。
2、内源性着色:轻中度的四环素牙、氟斑牙,或者其它因素引起的变色牙,遗传性黄黑齿等。
3、增龄性变色:随着年龄增长,牙齿会慢慢磨损,因此也会出现发黄的情况。(这是正常的现象)
冷光美白对牙齿会有伤害吗?
正规医院 & 流程下的牙齿美白是对牙齿没有伤害的。
牙齿美白前医生会先检查评估,没有问题就可以开始美白了,如果有牙结石、烟斑的先洗个牙、抛个光,美白效果会更好。
2020-07-15 10:16:01 -
洁白的牙齿对人们的形象是加分项,所以大家都追求一口洁白的牙齿!
随着科技的发展,现在冷光美白技术能够美白各种内源性和外源性的异色牙齿,对于一些一般牙齿美白方法所无法处理的中重度四环素牙、氟斑牙也有明显的疗效。
以下这些人群,适合冷光美白技术:
1、外源性着色:日常饮食中带有色素的食物如:可乐、茶类、酱油等导致的牙齿着色。
2、内源性着色:轻中度的四环素牙、氟斑牙,或者其它因素引起的变色牙,遗传性黄黑齿等。
3、增龄性变色:随着年龄增长,牙齿会慢慢磨损,因此也会出现发黄的情况。(这是正常的现象)
冷光美白对牙齿会有伤害吗?
正规医院 \u0026 流程下的牙齿美白是对牙齿没有伤害的。
牙齿美白前医生会先检查评估,没有问题就可以开始美白了,如果有牙结石、烟斑的先洗个牙、抛个光,美白效果会更好。
2020-07-15 10:16:01