为什么只有淀粉酶的测试结果才能判断是否患有胰腺炎?
为什么只有淀粉酶的测试结果才能判断是否患有胰腺炎?
-
胰腺是一个具有内分泌和外分泌双重功能的器官。胰腺的外分泌物种称为胰液,是一种无色、无臭的碱性液体,主要成分为水,其中含有丰富的消化酶和碳酸氢盐等。

碳酸盐的主要作用是中和胃酸和激活消化酶。消化酶有淀粉酶、脂肪酶和蛋白酶;蛋白酶又包括胰蛋白酶、糜蛋白酶、弹性蛋白酶等。这些酶主要消化分解碳水化合物、脂肪和蛋白类物质。当胰液分泌缺乏时,可使食物的消化、吸收,尤其是脂肪和蛋白质的消化和吸收发生障碍,而导致营养性消化、吸收不良。

正常时,胰液所分泌的酶几乎全部进入十二指肠,只有很少一部分进入血液,但血液中相应的这些酶则不仅来源于胰腺,也来源于其他组织。某些胰腺疾病可以使这些酶进入血液循环,导致血液中酶活性升高。因此,检查血液中这些酶活性的高低对于胰腺疾病的诊断具有重要意义。
血清淀粉酶、尿淀粉酶、淀粉酶同工酶、胰脂肪酶、胰蛋白酶等测定,这些检验可以对急性胰腺炎、慢性胰腺炎及其他胰腺疾病的诊断,吸收不良原因的鉴别等提供帮助。实际临床应用最多的还是血清酶和尿酶检查。

参考值:血清淀粉酶220U/L(37℃)
尿淀粉酶 1200U/L(37℃)
P—同工酶:血清115U/L、尿800U/L
此外,由于胰腺也有很大的储备、代偿能力,往往需要病变严重到一定程度时,胰功能试验才能显出异常,此点应加以注意。
2018-02-22 16:01:33 -
作为一个消化内科的大夫 胰腺炎见得还是比较多
1.首先胰腺这个器官的定位是啥 胰腺分为内分泌功能及外分泌功能 急慢性胰腺炎指的是外分泌功能出现问题 胰腺分泌消化酶来帮助消化 这些酶的作用非常强 不需要深讲 通俗讲胰腺炎其实就是胰腺消化酶自身消化的疾病 这也是为什么重症胰腺炎会引起多器官衰竭 死亡率很高的原因


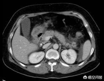
2.关于胰腺炎的诊断 其实临床慢性胰腺炎很少见 慢性胰腺炎非常痛苦 这里就不赘述了 主要说一说急性胰腺炎的诊断 临床大夫都知道淀粉酶 脂肪酶 其实这是严重错误的 绝不能单单依靠这个来诊断 胰腺炎真多需要:临床腹痛症状 影像学(腹部ct下胰腺周围渗出) 血淀粉酶(注意是血淀粉酶不是尿淀粉酶)三倍以上 这三个条件三个有两个符合方可诊断 单单依靠淀粉酶是非常不严谨有时候会耽误病情 因为淀粉酶升高下降是有时间波峰的 曾经收治过一个很重的胰腺炎患者 刚住院时查腹部ct 淀粉酶 血常规都正常 结果腹痛持续性加重 过了六小时复查 胰腺周围渗出 淀粉酶 血象全都上来了 另一方面说有时候淀粉酶升高也不一定就是胰腺炎 有的时候肠道梗阻 溃疡病 胆囊炎等也会升高 所以不能单单依靠淀粉酶来判断病情 要综合分析 还有尿淀粉酶这个就更没有很大的参考意义了 最新的教科书已经不提尿淀粉酶了 这里就不赘述了

希望能对你有所帮助
2018-03-06 00:54:30