有什么不是很明显的牙套吗?
有什么不是很明显的牙套吗?
-
此牙套非彼牙套,平时我们所说的牙套指修复牙套(就是牙齿磨小套上的)实际叫牙冠,一般烤瓷牙套、全瓷牙套美观性都不错。而还有些人将正畸矫治器也叫“牙套”。

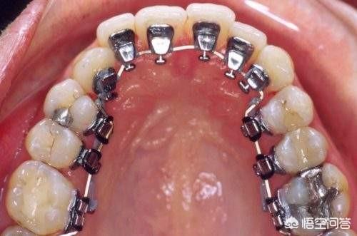
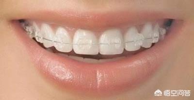
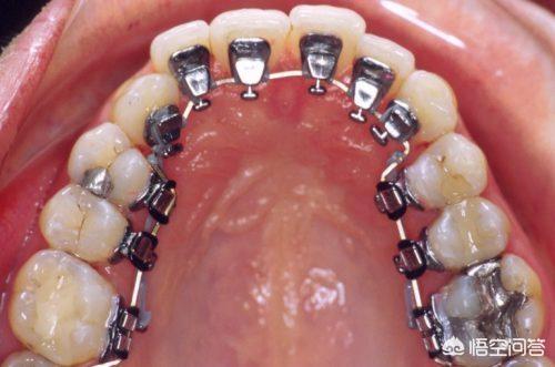
相对美观性较好的:1.唇侧固定矫治器-陶瓷托槽或冰晶托槽。 正畸矫治器最常见的是唇侧固定矫治器,即在牙齿上粘托槽,托槽一般是金属材质,呈金属颜色,所以一般比较明显。不过因为顾及到有些人对美观的要求,一些厂家(3m,ormco等)生产了陶瓷和冰晶托槽,陶瓷托槽美观是因其接近牙齿颜色,冰晶托槽美观在于其透明。但在矫治过程中,其主弓丝还是能看到!
2.隐形矫治器。隐形矫治器分两大类:a.舌侧矫治器 。与唇侧矫治不同的是它是将矫治器全部安装于牙齿的舌侧面进行正畸治疗,外观上看不到任何正畸治疗装置。 演员胡杏儿在那日花开月正圆中用的舌侧矫治,你们能发现吗?

b 无托槽隐形矫治,现在比较流行的“隐适美”就是属于此类。它是借助当今先进的3D扫描技术将患者牙齿颌骨的信息在计算机上重建,结合可视化三维图象处理及三维激光快速成形技术,可以模拟临床矫治设计和牙齿的移动方式与步骤,生产每个阶段的透明隐形矫治器(中间先进技术太多,太专业,不再详述),反正是在无托槽无公司的状态下矫治,真正属于隐形。奥运冠军孙杨用的就是这类矫治器。
点击右上角,欢迎关注小邱牙医,做您身边的口腔健康咨询师。
2018-02-04 12:45:26 -
谢邀,我作为一个过来人的身份告诉你, 带牙套 吧,你长大以后会觉得很值得的, 带牙套 要2年,没有那么快的,但如果你现在小,在上学其实是 带牙套 最好的时期,像我现在在 带牙套 ,工作什么的,特别不方便,根本没发弄,所以你现在是 带牙套 的最好时期,越早弄越好,现在不好看是一时的,以后会很漂亮,所以你现在在学校接触的人相对固定,有父母照顾,也不牵扯竞争,找工作,谈恋爱等问题,整吧,你不会后悔的。
2018-02-22 17:34:47 -
想通过戴牙套矫正牙齿,让牙齿变得更齐,改善咬合关系。但是又觉得戴传统那种钢牙套不好看?现在的确是有看起来不那么明显的牙套。
1、舌侧矫正


可以将矫治器安装在牙齿的舌侧面进行正畸治疗,外观上看不到牙套。舌侧矫正技术在欧美国家和日本等国家相当成熟,舌侧矫正对正畸医生的技术要求较高,费用也较高。
2、陶瓷牙套

这种矫治器是半隐形的,也是不容易被发觉。通过控制陶瓷的组成成分和加工工艺生产出白色、牙色及半透明的陶瓷托槽,若再加上由玻璃纤维制成的弓丝则外观更为理想。
3、隐形矫治器
还有一种目前隐形矫正器,它既能满足矫正牙齿的需要,又同时避免了传统托槽矫正能看到“钢牙”的缺点。患者只需要一幅幅透明牙套的佩戴,就能逐渐将不整齐的牙齿排列整齐。和传统的钢丝+托槽的矫治器相比,这种隐形正畸有许多优势。

1、美观。隐形牙套是透明的,戴上之后几乎完全看不出来,不会影响你的社交形象。 2、不影响吃东西和刷牙。隐形牙套是可以摘下来的,吃饭和刷牙都能摘掉。
3、省事儿。传统的正畸一般需要每个月复诊,而这种隐形牙套可以两个月复诊一次,大大减少你往返医院的时间;
4、矫正效果可预知。在治疗开始之前就可以看到治疗完成之后的效果,会以3d动画的形式呈现。矫正需要的时间,矫正之后牙齿的位置,一目了然。
2018-05-09 18:30:16 -
每天与您分享实用的口腔健康知识!只需点击右上角【关注】
很多明星谈到自己为什么变美,都说是因为矫正了牙齿。像小S、杨颖、杨幂和高圆圆,在矫正牙齿后,外貌和气质都有提升。这也是近十几年来整牙风潮盛行的原因之一,许多在意自己外表的人,开始积极地矫正牙齿。
但是一想到那“Bling Bling的钢牙套”,就不想矫正了!因为害怕一露齿微笑,闪瞎了别人的双眼。
那么现在除了这样的“铁齿铜牙”,还有哪些矫正牙齿的技术呢?
牙套有哪些种类?
1、钢牙妹这是我们矫正时最常见的“钢牙”。主要是在牙齿上粘结成为托槽的小片,然后再用一根弓丝(钢丝)把所有的托槽给串联起来。不好的地方,就是难看,金属粒闪闪发光,时不时的还夹杂着菜叶的痛苦。不过唇侧金属托槽比较坚固不易损坏,而且价格也比较实惠。
2、舌侧托槽
舌侧托槽是装在牙齿背面,十分隐形。从舒适度来讲,唇侧托槽刮嘴巴,舌侧托槽不会刮嘴巴但会刮舌头,也需要一段时间去适应。
3、隐形牙套近年越发流行隐形牙套,几乎看不见,可以想笑就笑;而且由于这是自主摘戴的,可以在一些特殊的场合暂时取下,非常符合现代人的审美需要和舒适要求。
隐形牙套是以崭新的3D立体电脑技术,量身定制一系列近乎无法察觉的透明牙托来完成整个矫正疗程。隐形牙套是以崭新的3D立体电脑技术,量身定制一系列近乎无法察觉的透明牙托来完成整个矫正疗程。

那么,哪种牙套最好呢?
没有最好的牙套,每个人的牙齿在矫正医生的眼里都是不一样的。有这么多选择,还是要结合你自身的牙齿特点、审美需要、经济预算,能让你的牙齿达到最终的目标,就是最好的牙套啦!
另外需要注意的是每次吃完东西都要做好口腔清洁,避免因托槽周围囤积食物残渣而引起蛀牙或者牙周疾病哦!
以上就是小博总结的,若有其他问题请在评论区给我留言,我会一一回复您,记得要点赞哦~#了不起的医生#
2018-02-22 14:38:59 -
hello,正在矫正的过来答一下
目前有隐形牙套,你可以考虑戴那个,我的就是,不过价格比钢丝的要贵的多
叫隐形牙套并不是说它真的隐形,只不过透明,由高分子材料制成的,能在无钢丝、无托槽的状态下完成牙齿矫正
隐形牙套美观度好,可自行摘带,比较方便
不过,要采用隐形牙套一定要用很强的自制力,摘下吃完东西,一定要及时的戴上
时间戴的不够长是会影响矫正效果的哟
2018-02-03 19:47:54