踝关节容易扭伤,这是因为什么?

新农商网 全部 1008

踝关节容易扭伤,这是因为什么?

回复

共9条回复 我来回复
  • 扶镜手杰克
    扶镜手杰克
    这个人很懒,什么都没有留下~
    评论

    在各式运动伤害中,脚踝扭伤是相当常见的,尤其是篮球、足球选手。而肥胖、爱美穿高跟鞋的女性也容易发生脚踝扭伤……

    前两天,我在急诊收治的一例患者:

    患者性别:女
    患者年龄:19
    简要病史:患者自述高中毕业聚会上,初次穿上高跟鞋走路时,不慎扭伤右踝,伤后右踝疼痛畸形,麻木。
    体格检查:右踝肿胀畸形,右足背感觉减退,右足背动脉搏动可扪及,右足各趾活动尚可。
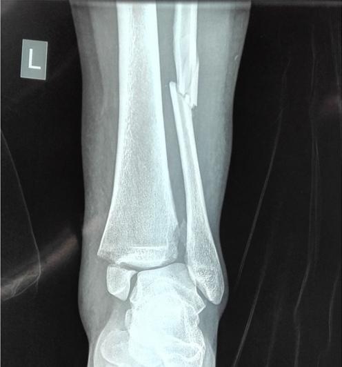
    辅助检查:X光提示右踝骨折伴后脱位。
    临床诊断:右侧踝关节骨折脱位

    右踝骨折伴后脱位

    为什么受伤总是我?

    踝关节扭伤是骨科最常见的一种损伤 , 一般是在关节和韧带中发病率最高的一 种疾病 , 踝关节是人体离地面最近的负重关节 , 也就是说 , 踝关节是人体全身承受重 量最多的一个关节。在生活中 , 可能会因为走路不小心 , 就出现脚踝扭伤的现象。

    脚踝扭伤在急性期要如何处理?

    如同其他急性运动伤害的处理,发生脚踝扭伤时,应立即休息,停止运动、比赛。此外,亦可考虑暂时使用腋下拐杖,以免走路时足部不当用力,影响复原或再次扭伤。

    冰敷是第一要务,可直接用塑料袋装冰块或用冰敷袋放置疼痛处,以降低发炎反应,并可有效止痛。冰敷可每两小时做10至15分钟,直至肿胀不再继续增加为止。亦可使用弹性绷带自脚趾近端往上逐渐压迫包扎,以防出血及肿胀。

    冰敷是第一要务

    如早期治疗不当,韧带过度松弛,可造成踝关节不稳,易引起反复扭伤,甚至关节软骨损伤,发生创伤性关节炎,严重影响行走功能。

    切记不要施予不当的推拿和按摩,因为此种作法反而会加重病情。休息时尽可能把脚抬高,以促进静脉、淋巴回流,降低脚踝肿胀。

    2020-08-19 02:31:15 0条评论
  • 王菇娘
    王菇娘
    这个人很懒,什么都没有留下~
    评论

     实际上跟踝关节的韧带有很大的关系,就是距腓前韧带在做内翻的时候,它是维持一定的稳定性的,主要是跟一个韧带的恢复,没有到位是有一定的关系。  踝关节扭伤在我们平时的日常生活当中也是很常见的,每个门诊我们都会碰到踝关节的人,扭伤的患者,但是为什么会复发呢? 实际上跟我们踝关节的一个韧带有一个很大的关系,就是我们的距腓前韧带,距腓前韧带是在我们踝关节的在做内翻的时候,它是维持一定的稳定性的。  如果说扭伤以后,这个韧带没有修复好,没有长好,就有可能会出现反复的扭伤,在你不小心的时候或者上下楼梯的时候,走台阶的时候,它就出现这种情况会扭伤的,这主要是跟一个韧带的恢复,没有到位是有一定的关系。

    2020-08-13 13:54:07 0条评论
  • 小猪想吃肉
    小猪想吃肉
    这个人很懒,什么都没有留下~
    评论

    因为关节的“保护神”受伤了,人体所有的关节都是几块骨头的对接点,为了让骨头连接稳定,周围会有很多韧带保护,韧带就是啃猪蹄时吃的脚筋,当韧带的过松或者损伤时,就会发生扭伤。那韧带是怎么损伤的,比如上一次扭伤时受伤还没有好,比如总是做剧烈运动(这一点退伍兵哥哥的膝关节就是榜样)等等

    2020-08-27 11:39:16 0条评论
  • 速豹名师
    速豹名师
    这个人很懒,什么都没有留下~
    评论

    在生活中,可能很多人都听说过崴脚这一情况,崴脚在医学上被称为踝关节扭伤。踝关节容易扭伤,这是因为什么?

    踝关节容易扭伤,这是因为什么?

    首先,踝关节扭伤多由运动时候或负重持重时候,因为姿势不当,不慎跌扑导致的过度牵拉,过度扭转造成的肌肉拉伤。比如女性爱美喜欢穿过高的高跟鞋,这样走路容易不慎扭伤。

    一般认为,急性踝关节扭伤这一情况的发生,是由于机体的足内翻或足外翻,进而使得其副韧带受到过度的牵拉而造成的。根据研究发现,由于足内翻而导致外侧副韧带拉伤的情况较为多见,而由于机体的足内翻导致的内侧副韧带拉伤则是比较少见的。

    再者,患者进行的准备运动不足。众所周知,踝关节扭伤是运动损伤中发生率最高的。在进行运动的过程中,如果存在思想大意、准备活动不当、运动者之间摩擦撞击、以及身体状态不佳等情况,都有可能会成为导致运动损伤发生的原因。

    踝关节扭伤后怎么办?

    如果是踝关节扭伤后引起了严重的淤血渗出水肿,没有充分的休息制动保护关节,可以引起韧带拉伤不能完全恢复的,如果长时间没有完全恢复可以引起慢性的筋膜炎等后遗症。容易引起扭伤及关节不稳定的。建议检查一下关节的稳定性,如果关节不稳定,一般是韧带过度的松弛或有断裂的,必要时应该做磁共振检查才能确定,确定后有可能需要做韧带的修复固定手术治疗的。专家提醒,踝关节对人体来说起到至关重要的作用,一定要多加保护,受伤后应及时有效的进行治疗。

    建议调养期间适量食用补充蛋白质作用比较好的食物,花生的主要成分有蛋白质、脂肪、糖类、多种维生素,以及矿物质钙、磷、铁等成分,此外,它还含有8种人体所需的氨基酸及不饱和脂肪酸,花生中的脂肪酸构成,可以吃一些。以前扭伤没有好好治疗,留下了后遗症,导致习惯性扭伤,这个没有什么特殊的办法,平时一定要注意保护脚踝,不要激烈运动,至少保证一年以内不要再次扭伤。

    值得注意的是,如果在损伤情况发生后,没有予以足够的重视,没有及时地正确治疗,就会容易出现有关节本体感觉减退的情况。这样一来,可能会使踝关节不稳定状态得到进一步的加重,最终导致再次扭伤情况的发生。情况严重的,还可能会引起其他关节发生损伤的情况,带来更多不利的影响。

    结语:脚踝扭伤不能轻视,一旦出现此症状的时候,一定要及时就医,以免发生更严重的问题,而且最好是根治,这样的话,以后的发病率就大大降低了。还有就是一定要多补充钙物质。

    2020-08-14 13:26:18 0条评论
  • 花下道人
    花下道人
    这个人很懒,什么都没有留下~
    评论

    关节易扭伤是筋弱,血不养筋导致的。一般来说,养血疏肝就能解决问题。

    2020-08-11 22:47:59 0条评论
  • 花下道人
    花下道人
    这个人很懒,什么都没有留下~
    评论

    关节易扭伤是筋弱,血不养筋导致的。一般来说,养血疏肝就能解决问题。

    2020-08-11 22:47:59 0条评论
  • 王若一TCM
    王若一TCM
    这个人很懒,什么都没有留下~
    评论

    可能是关节周围韧带松弛,每天做50个踮脚,每个上踮之间足跟不落地,做上半个月以上

    2020-08-19 00:20:08 0条评论
  • 健康小管家
    健康小管家
    这个人很懒,什么都没有留下~
    评论

    可能是因为劳动量过大,不注意扭伤的

    2020-08-14 14:13:43 0条评论
  • 碰撞的艺术
    碰撞的艺术
    这个人很懒,什么都没有留下~
    评论

    踝关节扭伤就是我们日常说的崴脚,它属于运动中一种很常见的运动性损伤。由于在你运动过程中落地时脚间重心不稳,身体失去平衡,导致踝关节压迫产生扭伤,它扭伤的瞬间皮肤表面会出现红肿疼痛等现象。接下来来看看在日常中容易导致踝关节扭伤的三个原因吧。

      (1)路面不平稳湿滑,现在天气不稳定,昨天好端端的大太阳,今天就狂风暴雨了,当我们在这些湿滑不平坦的道路上行走,跑跳和从高处意外跌落,而没有稳定落地时,可能会导致脚踝扭伤,因此,你应该穿高摩擦力的鞋子,以避免扭伤我们的脚。

      (2)游泳引发的扭伤,在游泳过程中,踝关节也容易受伤和韧带损伤,这有可能和你有过韧带松弛,或是踝穴受损的情况有关,所以应注意在专业游泳教练的培训下学习游泳。

    (3)运动前准备不充分。常见的有事前热身准备不周、过度锻炼、身体状况差等。此外,不完善的运动场地及其设施,或不符合运动标注的鞋子都可能是运动损伤的原因。因此,每个人在锻炼时都必须做好充分的准备,不要粗心大意,感觉不舒服时立即停止锻炼。

    事实上,脚踝扭伤有很多原因。在日常生活中,无论是散步还是锻炼,我们都应该提高自我保护意识,选择合适的运动场地,尽量穿上适合锻炼的舒适鞋。如果脚踝受伤,我们应该立即停止锻炼,并及时处理。如果情况严重,我们应该及时去看医生,以便更好地控制伤势。

    2020-08-18 08:56:33 0条评论