有没有做过烤瓷牙矫正牙齿的朋友?价格如何?现在后悔吗?
有没有做过烤瓷牙矫正牙齿的朋友?价格如何?现在后悔吗?
-
我有很多的客户都是做过烤瓷牙,然后又要做牙齿矫正的,她们真正后悔的是:为什么以前没有及时去矫正牙齿
不可否认每个人心中都会有一个让自己变得更漂亮更美丽的梦想,但是由于种种原因,一部分人在年轻的时候没有得到及时的正畸治疗,当条件成熟的时候,这种想法一定会冒出来。很多人会马上付诸行动。
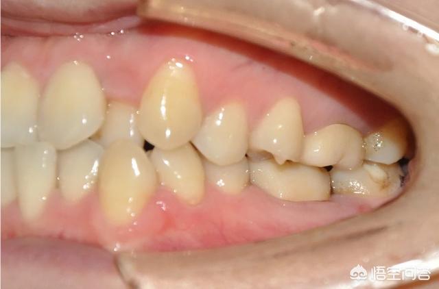
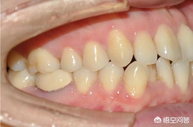
成年的正畸患者,口腔的环境往往比较复杂,镶有假牙就是其中的一种。
烤瓷假牙不容易粘上托槽,所以大部分有假牙尤其是那些连住几个一起镶的假牙,往往需要在正畸治疗之前把它拆掉,换上树脂做的临时牙。
有一部分患者因为前牙比较乱,在以前做了美容冠修复,后来发现美观效果不是很好的。往往也需要拆掉以前做的烤瓷牙,通过正畸的方式是排齐以后,再镶上烤瓷,这样美观度会极大地提升
隐形矫治器的出现,也可以让一部分烤瓷牙不用拆掉,甚至一些连体的烤瓷冠桥也可以不拆,在设计的时候只需要设计这些牙齿不做任何移动就可以了。
还有一部分很特殊的情况:缺了牙齿以后,镶牙的条件不够好,勉强镶上牙齿以后还是不好用,这一类患者也需要通过正畸治疗把条件变好了再镶牙



2019-04-01 20:24:32 -
牙齿矫正是佩戴我们俗称的“牙套”通过物理加力的方式排齐牙齿,虽然时间相对烤瓷牙长,需要定期复诊,但是不磨牙,不伤牙,有的牙齿畸形烤瓷牙不能做,做出来效果不理想等等,但是矫正可以做。牙齿矫正有金属的、有陶瓷半隐形、隐形矫治器。有的牙齿不美观也可采用烤瓷牙修复牙齿,相对速度快,没有戴牙套的烦恼,不用经常复诊,但是需要磨牙。烤瓷牙有金属烤瓷和全瓷牙。不论选择哪种都根据自身情况,建议到正规大型医院处理



2019-03-30 18:12:47 -
您好,到正规医院进行矫正一般不会出现问题,烤瓷牙指的是牙套,包括金属内冠的烤瓷牙和陶瓷内冠的全瓷牙;矫正的牙套包括传统金属托槽、半隐形陶瓷托槽、金属自锁托槽、隐形托槽等;希望能帮助您!
2019-03-31 16:26:11