青春痘各类时期的症状是什么?
青春痘各类时期的症状是什么?
-
痘痘让许多人烦恼,不论年龄或性别。痘痘究竟是怎么产生的,其实痘痘不是简单的东西,这是各种因素复杂交织在一起时出现的症状。但是,每种类型都有一个“这些原因很容易引起”的特征。 为了适当的治疗和预防,让我们先了解关于痘痘的基本知识!

治疗痘痘的机制和方法
痘痘的产生是毛孔中分泌的皮脂,在营养上滋生细菌,导致炎症。 痘痘的主要原因有三件事:皮肤新陈代谢不佳,皮脂分泌过多,毛孔中的天然细菌(=痤疮细菌)生长。随着痘痘的进展,颜色逐渐变化,最终炎症恶化,脓液积聚在痘痘中。
为了治愈痘痘,有必要去除旧的角质,以免积累毛孔中的皮脂,或者通过用药物来抑制细菌抑制炎症或鼓励皮肤转化为新的皮肤。但是,如果痘痘的症状正在发展,应尽早进行治疗,因为即使治愈后它也会变成痘印。

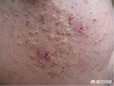
【类型(进展程度)】痘痘的原因
根据其进展程度,痘痘呈现各种颜色。我们来看看将痘痘分类为各个进度的原因。
[1]白色痘痘
痘痘刚开始形成的状态中,最早的皮脂和老角质毛把毛孔堵塞的状态称为“白色痘痘”。之所以被称为白痘痘,是因为它看起来是白色的,几乎没有症状,如疼痛和肿胀。但是,如果放任不管的话,症状会越来越严重,所以您一旦发现白色痘痘就需要小心。

【2】黑色痘痘
白痘痘的进一步发展,毛孔堵塞的皮脂因接触空气而被氧化变黑,变成“黑色粉刺”。请注意,黑色痘痘会因护肤错误,饮食习惯偏差,生活方式不规律而变得更糟。

【3】红色痘痘
通常被称为所谓的痘痘“痘痘肿胀状态”是“红色痘痘”。随着痘痘细菌滋生,渗透到毛孔中的营养物质,炎症发展,皮肤也膨胀成红色。如果变成这种状态的话,痘痘痊愈之后会有痘印。

【4】黄色痘痘(囊肿痘痘)
如果红色都偶读的炎症进一步发展,如果它发展成脓,它将是“黄色痘痘”。在这种状态下,炎症在皮肤中达到很远,所以愈合后痘印的可能性很高,但也有像陨石坑那样在皮肤上形成不均匀的痘印的风险。

【按类型】痘痘的原因
痘痘的原因根据年龄和性别而有所不同。
【1】成人
20岁以上的人的“成人痘痘”,其特征是容易形成在下巴和嘴周围的所谓“u区”、脖子、胸前等。主要原因是压力,生活无序,不平衡的饮食习惯,错误的皮肤护理和皮肤干燥。和青春期的痘痘相比,难以治疗,而且容易复发,因此,烦恼的成人痘痘的人不仅仅是皮肤护理,也有必要重新审视整个生活。

【2】青春期
青春期痘痘,其特征是容易发生在皮脂腺较多的t区和额头上。主要原因是在成长期的荷尔蒙平衡紊乱导致皮脂分泌过剩,达到20岁以上的时候就会处于停滞状态。只是,进入青春期后的痘痘容易发炎,容易变成红痘痘和黄痘痘,所以需要好好保养身体,防止痘印。

【3】女性
有些女性在月经期间和怀孕期间有痘痘。这主要是因为体内雌性激素的平衡受到干扰。其中,女性荷尔蒙中,“孕酮”有分泌皮脂的作用,荷尔蒙越多,皮脂就会分泌过多而引发痘痘。

【4】男性
男性的情况是,防止皮肤护理的堵塞引起的毛孔堵塞,并且男性荷尔蒙的平衡被破坏,皮脂过度分泌是痘痘的主要原因。

当心! 什么是易导致痘痘的行为/习惯?
有没有人有以下行为/习惯?
也许,平常休闲生活的“癖好”可能是导致痘痘的原因。了解可能导致痘痘的行为和习惯,并让我们预防日常生活中的痘痘。
[1]睡眠不足
缺乏睡眠是皮肤的敌人。睡眠由生长激素分泌并具有促进皮肤新陈代谢的功能。
特别是从22点到2点,被称为“皮肤的黄金时间”,它是保持皮肤健康的重要时区。为了鼓励皮肤再生和轮回,让我们每天保证足够的睡眠时间。
【2】偏食的饮食习惯
如果你吃了大量富含油分的食物,糖,过量的香料和咖啡,你会得到不全面的营养,皮肤状况会变得更糟。积极服用维生素B群等营养素,调节皮脂分泌,维生素A促进新陈代谢,抗氧化活性,维生素C,维生素E,膳食纤维。
【3】不采取防紫外线的措施
不仅仅是为了防晒,对于痘痘的预防也要对紫外线进行对抗。因为痘痘被紫外线照射,不仅导致痘痘的恶化,还会导致痘印(色素沉淀)。
【4】给肌肤带来不必要刺激的发型
特别是青春期痘痘的情况下,如果把刘海的头发留下来,会给额头带来不必要的刺激,从而导致痘痘的恶化。脸颊上的发型也是一样的。意识到“刺激感弱的皮肤”的人,要注意尽量不要把头发弄到皮肤上。
【5】压力过大
压力引起荷尔蒙平衡的紊乱,不仅会对皮肤造成不适,而且还会对身体造成不适。让我们找到自己的方式来缓解压力。
【6】强壮的皮肤护理
有人使用过度清洁面部护理或刺激洗面奶,认为“我必须清洁我的皮肤来治疗痘痘”,但这会起反作用。当然,要保持皮肤清洁是很重要的,但是,皮肤干燥会导致皮脂分泌过多,清洁力强大的洗面奶也加剧了炎症,损伤皮肤,对皮肤产生刺激,痘痘皮肤的护理请尽量减少皮肤的负担。
[7] 使用的化妆品不符合自己的皮肤
每个人都有各自的肤质,皮肤干燥的人,皮肤油腻的人。无论多么昂贵的化妆品,如果它不符合你的皮肤质量,皮肤的健康就会受到损害。所以只要有一点不适应的感觉,请立即停止使用。

兰兰今天就分享到这里了,如果你还有更多问题可以在评论区进行留言来告诉兰兰吧!如果你喜欢这篇文章就给兰兰点个赞吧~图片来源于网络
著作权归作者所有。商业转载请联系作者获得授权,非商业转载请注明出处。
2018-05-17 15:33:51 -
青春痘各类时期的症状是什么?青春痘属于一种慢性疾病,易复发,而且发病的程度有轻有重。很多朋友想知道自己现在是处于什么时期的青春痘,严不严重。那么今天来告诉大家青春痘各类时期的症状是什么。

1、根据痤疮皮损性质来区分青春痘的严重程度,第一级表现为较轻微的症状,仅有粉刺发生,无过多炎症。
2、稍微严重一点时,发生粉刺还会有一些炎性丘疹。
3、随着病情加重炎性丘疹会越来越多,甚至出现脓疱。
4、除有粉刺、炎性丘疹及脓疱外,还有结节、囊肿或瘢痕。
2018-05-17 09:39:30 -
痘痘说白了 就是皮脂腺炎症
而人体皮脂腺 就是主要是分布在 脸部 背部 和 头皮
人体摄入蛋白——转为磷酸
摄入脂肪——转为酮酸
摄入糖——转为焦葡萄糖酸乳酸
熬夜——产生乳酸
这些酸 进入皮脂腺 於堵和腐蚀 毛囊 就是痘痘 如果扩展到真皮层 就是痤疮或者局部发红
由于人体皮脂腺 主要分布在面部 头皮 背部
所以我们长痘痘都是这些部位。
痘痘有六类,分别是:
激素痘痘--一般是青春痘 、雄激素紊乱 经期痘痘加重
脂溢性痘痘--头发脸面 油腻
粘膜炎症痘痘--容易上火 其实是这类人 粘膜长期有炎症
酸性痘痘--喜欢熬夜 吃大鱼大肉 体内产生大量酸性代谢物 如 氨氮 乳酸
消化不良型痘痘--胃消化不良 就是中医说的胃火上蒸型痘痘
心源型痘痘--心脏泵血能力差 气血循环差 导致身体消炎能力差
如果你被痘痘困扰的话,可以关注我头条号或者加我微信dao991,只要用对方法,消灭痘痘只是时间问题
2018-08-05 22:24:05