后背长满痘痘是怎么了?怎样做才能恢恢复光滑美背?
全部 1013
后背长满痘痘是怎么了?怎样做才能恢恢复光滑美背?
-
去泡火山温泉,硫磺高的
2019-11-15 14:51:41 -
感谢邀请~下面由我来为大家解答这个问题。

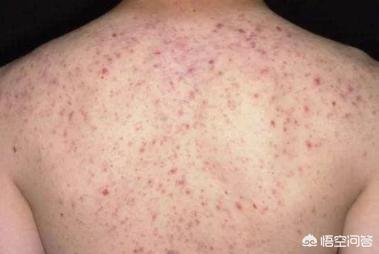
后背长满痘痘是怎么了?
背部本身就皮脂分泌非常旺盛的地方,角质层又非常厚,新陈代谢比较缓慢,所以就很容易出现毛孔堵塞的现象。若是比较湿热的天气,体内就容易有湿毒堆积,后背上就容易冒出痘痘。加上背部若是总是被衣服包裹着,就容易滋生细菌,痘痘就会疯长。

另外,还有一个情况就是螨虫的破坏。螨虫是潜伏在我们身边的一种细菌,它会存在于毛孔当中,大量的繁殖,就会造成毛孔堵塞,还会导致油脂难以排出。

后背长痘痘应该怎么办?怎样做才能恢恢复光滑美背?
1、注意背部清洁
背部清洁干净,才是有效祛痘的关键,建议在洗澡时,使用可可籽脂海盐皂清洁背部,天然可可籽脂和海盐不同于普通的可可豆和精制盐,它们不仅可以治疗疾病和清洁毛孔,而且还具有特别好的控油除螨效果。在清洗后背的时候,可以抑制螨虫的活动,杀死螨类细菌,并去除毛孔内的垃圾,减少油脂,软化角质,提高皮肤的抑制力,避免痘痘的二次发炎。

2、注意睡眠充足
经常性的熬夜,就会导致长痘痘,不仅仅是脸部,后背也容易有痘痘,因此这时候就需要改善不良的习惯,来改善内分泌。体内的内分泌分泌平衡,就能够很好的缓解后背长痘痘的情况,所以当看到自己的后背有很多痘痘时,那么就要避免熬夜,保持充足的睡眠,也能有利于身体的健康。

3、注意饮食
少吃一些辛辣刺激的食物,这些食物会对身体造成刺激,会导致痘痘蔓延。所以为了改善痘痘,就要多吃一些新鲜的蔬菜和水果,多补充维生素,这样才能提高身体的免疫力,提高抵抗力。
2019-11-13 16:14:09 -
管住嘴迈开腿别熬夜
2019-11-14 15:50:23