儿童为什么会出现双层牙?
全部 1010
儿童为什么会出现双层牙?
-
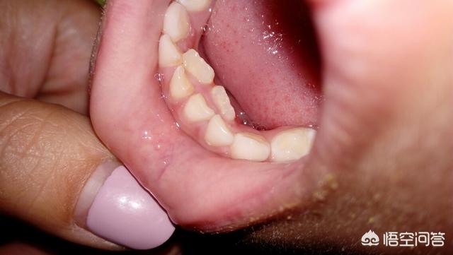
我家老大最近也是这种情况。

这个情况还是被当护士的妹妹发现的,我们都没有注意,当天带去看牙医,牙医说“必须把外面两颗牙给拔了”
我二货老大不仅不哭反过来安慰我们,没事,我还有两颗备用真牙!
抜完以后是这样的。
我发现像儿子这样,一打听乳牙迟掉的还真不少,有的统计是十分之一,就我儿子班上的统计,差不多十分之三了。
有的说是因为吃的太精细。孩子们都在学校吃,学校还是蛮注意荤素搭配的,而且我家老大喜欢吃素菜,肉类反而吃的少。

我理解的还是因为孩子的个体差异加上普遍的发育提前。过去说八岁八换狗牙!现在哪还等到八岁?我老大还不到六岁。我自我安慰的说。老大四个月长乳牙,所以现在换牙也早。
2018-05-11 08:01:51 -
身为口腔医生看到双排牙是家常便饭,为了孩子牙齿整齐好看,也拔了很多滞留的乳牙。

乳牙脱落是乳牙牙根吸收,与牙周组织失去联系的结果。由于颌骨内恒牙胚的发育和恒牙合向移动,恒牙胚与乳牙根之间的结締组织压力升高局部血管充血,转化为肉芽组织,并分化出破骨细胞,引起牙根和牙槽骨双重吸收。待乳牙根吸收后,牙髓转化为肉芽,也参与乳牙根吸收过程。
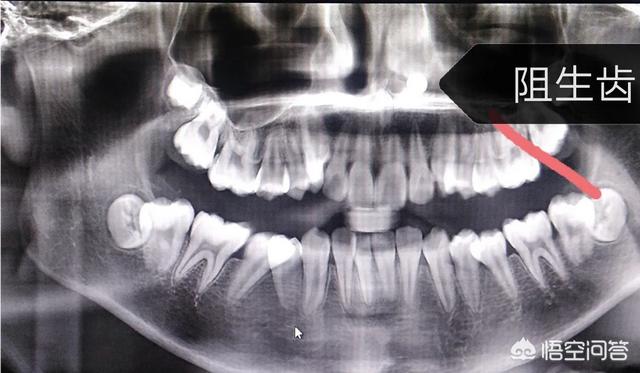
恒牙牙胚的位置异常

位置异常,乳牙牙根生理性吸收减少,脱落推迟,而恒压牙牙根在不断变长,一旦牙根到一定长度,就会动力不足,位置异常。遇到恒牙长出乳牙未脱落这样情况,根据乳牙松动情况决定采用表麻,还是浸润麻醉拔乳牙。
饮食因素——食物过于精细
从人类发展史料看:人类饮食习惯由生食到熟食;食物由粗犷到精细。

过软的饮食导致牙齿发育与颌骨发育不协调智齿阻生普遍。
随着经济的发展、生活条件变好,人不再是什么都吃,仅需填饱肚子的时代。食物追求外形、口感,孩子粗粮吃得少、细粮吃得多;硬的吃的少、软的吃的多。咀嚼次数变少,牙根吸收变慢,继而出现乳牙滞留。
危害及预防处理
乳牙滞留会导致邻牙患龋、影响正确咬合关系建立。
处理: 滞留乳牙应及时拔除,定期到口腔科检查,出现异常情况选择合适时机处理。
预防: 换牙期建议多吃较硬食物如:花生、苹果、脆梨、粗粮饼干等。
2019-02-20 11:00:38